Go to main content

Protokoll for vurdering av modningsgrad hos oppdrettstorsk

Author(s): Maud Alix and Birgitta Norberg (IMR)

Sammendrag

Den gjeldende protokollen for vurdering av modningsnivået hos oppdrettstorsk skisserer distinkte modenhetsstadier hos både hann- og hunntorsk (Gadus morhua). Denne protokollen hjelper til med å evaluere graden av modenhet hos torsk i oppdrettsanlegg. Hvert stadium involverer en makroskopisk vurdering, som inkluderer bilder av gonadene både inne og utenfor fisken, detaljerte bilder, en generell beskrivelse av gonadene og fiskemålinger. I tillegg inkluderer det en mikroskopisk vurdering, med histologiske bilder og beskrivelser. Protokollen gir også retningslinjer for riktig innsamling av gonadeprøver fra hann- og hunntorsk for videre histologiske analyser.

1 - Ordliste

Atresi – Oocytter som tilbakedannes

Follikler etter ovulering – bevis på nylig egg gyting

Gonade – (Indre) kjønnsorgan som produserer kjønnsceller

GSI – Gonadosomatisk index. Blir beregnet ut fra formelen: (Gonadevekt/fiskens totale vekt) *100

Hydrert oocytt – Gjennomsiktig oocytt, siste stadiet av oocyttmodning

Ig – Somatisk GSI. Blir beregnet ut fra formelen: (Gonadevekt/somatisk vekt) *100 hvor somatisk vekt er vekten av fisken uten innvoller (lever, gonader og fordøyelsesorganer)

Kortikale alveoler Vesikler i utkanten av plommemassen som inneholder glykoproteiner. Disse bidrar til herding av egget etter at det er befruktet.

Melke – Sæd / modne spermier 

Oocytt – Eggcelle

Ovulering/ovulasjon – Eggløsning

Rognsekk – Hunngonade

Sædledere – Kanaler som transporterer sæd fra gonade til ytre miljøet under reproduksjon; efferentkanaler

Spermatide – Differensierte kjønnsceller som modnes til spermatozoer

Spermatocytt – Differensierte kjønnsceller som modnes til spermatider

Spermatogonium – Type stamcelle som er forløperne til sædceller

Spermatozoer – Hannfiskens spermier; moden sædcelle

Testes – Hanngonade

Vaskularisering – Dannelse av blodkar

Vitellogenese – Dannelse av plommemasse, ved at forløperen vitellogenin blir produsert i leveren, transportert i blodet og lagret i oocyttene. I denne fasen vokser oocyttene meget raskt

Vitellogenin – Forløpere til plommemateriale. Blir dannet i leveren og inneholder protein, fettstoffer, karbohydrater og sporstoffer som blir brukt i tidlig utvikling av fiskeembryo og -larver

2 - Innledning og metode

2.1 - Prøvetaking for vurdering av modningsgrad hos oppdrettstorsk

Denne malen/protokollen er utarbeidet for å hjelpe til med å vurdere modningsgraden hos oppdrettstorsk i oppdrettsanlegg. Vi anbefaler å samle inn prøver eller vurdere modningsstatusen på nylig avlivet oppdrettstorsk.

Modningsgraden hos oppdrettstorsk er delt inn i stadier i henhold til visuell estimering av gonader. Stadiene er bekreftet med histologiske analyser for begge kjønn. Modningsstadiene som beskrives nedenfor samsvarer med prosedyren som brukes i håndboken for prøvetaking av fisk, krepsdyr og andre evertebrater (SPD gruppen, 2023) og den foreløpige manualen for å bestemme gonademodningsgraden av Nordsjøtorsk, utviklet av deltakere i ICES Workshop på «Modenhetsstadium for torsk, hvitting, hyse og sei» (Bucholtz m.fl. 2007) og Tomkiewicz m.fl. (2003). Ytterligere beskrivelse og bilder av torskegonader finnes i Tomkiewicz m.fl. (2002) hos vill torsk.

Når modningsstadiet er vanskelig å vurdere (kan være tilfelle mellom stadium 1 og 4 - umoden og utgytt i hanner og hunner), er det mulig å ta en prøve for histologiske eller partikkelanalyser. I tillegg til gonadeprøver som er samplet for videre analyser, anbefaler vi å ta et bilde av fisken åpen med gonaden inni og et bilde av gonaden utenfor fisken (Figur 1A og B). Protokollen for å sample og fiksere vevet er beskrevet nedenfor.

I denne protokollen, ble gonadosomatisk index (GSI) beregnet ut ifra formelen: (Gonadevekt/fiskens totale vekt) *100. Somatisk GSI (Ig) ble beregnet ut ifra formelen: (Gonadevekt/somatisk vekt) *100 hvor somatisk vekt er vekten av fisken uten innvoller (lever, gonader og fordøyelsesorganer). GSI og Ig intervall for hvert modningsstadium er basert på et lite antall fisk (samplet for denne protokollen) og er her kun for å gi et foreløpig estimat av GSI for hvert modningsstadium. Ytterligere innsamling av fisk vil imidlertid være nødvendig for å gi en representativ verdi for hvert modningsstadium.

2.2 - Gonadeprøver for histologi og partikkelanalyse

  • Formalin er sterkt irriterende, giftig og kreftfremkallende. Formalin kan fremkalle allergi. Alt arbeid med formalin utføres i avtrekk. For mer informasjon se på sikkerhetsdatablad.

  • Bouins løsning inneholder formaldehyd og samme tiltak som for 4% nøytralt bufret formalin gjelder for Bouins. For mer informasjon se på sikkerhetsdatablad.

2.2.1 - Sampling og fiksering av gonadeprøve: hunnfisk

Bruk forhåndsfylte ferdig merkede scintillasjonsrør med 4% nøytralt bufret formalin. Prøven skal utgjøre cirka en halv teskje og tas ved å skjære ut en bit fra den høyre gonaden omtrent midt på (se Figur 1C og D, rød stiplet linje) med gonadeåpningen under/ned og lobene/lapper pekende bort fra deg (Figur 1C, D og E). Dette kan gjøres ved hjelp av en kniv eller skalpell. Ved svært store gonader kan det være utfordrende å skjære ut en bit, og i slike tilfeller kan en plastpipette eller teskje brukes til å sample prøven. Denne biten plasseres direkte i plastflasken, som allerede er fylt med 4% nøytralt bufret formalin.

OBS!! Denne biten skal aldri utgjøre mer enn 1/10 av væsken i flasken (se Figur 1E). Det skal kun være én prøve (fra en fisk) per flaske.

Tørk av utstyr som brukes for å unngå forurensning fra én prøve til en annen (hvis du bruker en plastpipette, bytt den). Registrer løpenummeret sammen med fiskedataene (fiskenummer, totalvekt, lengde, gonadevekt, levervekt, somatisk vekt og kjønn).


Figuren viser et fotografi av en hunntorsk åpnet ventralt og på siden, slik at man kan se organene i bukhulen, spesielt eggstokken. Det vises flere bilder av eggstokker med indikasjoner på venstre og høyre side av organet, men også plasseringen av åpningen (svarte piler). En rød stiplet linje indikerer delen som skal kuttes for prøvesamling.
Figur 1: Protokoll for sampling av gonadeprøver hos hunntorsk. (A) Fisk åpen - sett fra siden, (B-E) gonader/rognsekker utenfor fisk –sett fra dorsal/ryggside. Svarte piler indikerer åpningen av gonadene/rognsekkene. Rød stiplet linje viser delen som skal kuttes for prøvesamling.

2.2.2 - Sampling og fiksering av gonadeprøve: hannfisk

Bruk forhåndsfylte ferdige merkede scintillasjonsrør med fikseringsvæske. For hanner oppnådde vi best resultater i histologi ved bruk av Bouins løsning. For Bouins løsning: Vevsbiten må ikke være tykkere enn 5 mm på grunn av absorpsjonshastigheten til fiksativet. Etter 6-24 timer i Bouins fikseringsløsning vaskes vevet i 70 % etanol og overføres deretter til 70 % etanol. Hvis det ikke er mulig å bruke Bouin’s løsning, kan den erstattes med 4% nøytralt bufret formalin.

Prøven tas ved å skjære ut en bit av en lobe/lappe av hanngonaden (Figur 2, svarte piler og svart stiplet linje) ved hjelp av saks og pinsett. Hvis den er for stor, kutt loben over bredden (Figur 2, rød stiplet linje). Denne biten legges direkte i plastflasken som er forhåndsfylt med 4% nøytralt bufret formalin eller Bouins løsning.

OBS!! Denne biten skal aldri utgjøre mer enn 1/10 av væsken i flasken. Det skal kun være én prøve (fra en fisk) per flaske.

Tørk av utstyr som brukes for å unngå forurensning fra én prøve til en annen. Registrer løpenummeret sammen med fiskedataene (fiskenummer, totalvekt, lengde, gonadevekt, levervekt, somatisk vekt og kjønn).

Figuren er et fotografi av torsketestikler med to svarte piler som viser to lober av gonadene og stiplet linjer som indikerer delen som skal kuttes for prøvesamling.
Figur 2: Protokoll for sampling av gonadeprøver hos hanntorsk. Svarte piler viser en lobe/lappe av gonadene. Svarte og rød stiplet linjer indikerer delen som skal kuttes for prøvesamling.

3 - Modningsgrad hos torsk – Makroskopisk – Visuell vurdering

3.1 - Hunntorsk modningsgrad oppsummering

Stadium Makroskopisk – visuell vurdering
1- Umoden Gonadene er små, består av to lober og befinner seg under leveren og fordøyelseskanalen i den bakre delen av bukhulen, langs svømmeblæren. På det umodne stadiet er ingen oocytter/eggceller synlig makroskopisk, og rognsekken er glatt, litt gjennomsiktig og rosa. GSI intervall: 0,20 til 0,83; Ig intervall: 0,24 til 1,01
2- Modnende (tidlig) Gonadene er plassert i den bakre delen av bukhulen. Gonadene er små og hovne med oransje, rød til rosa farge. GSI intervall: 0,65 til 3,92; Ig intervall: 0,76 til 5,35
2- Modnende (avansert) Gonadene er større i volum sammenlignet med forrige stadium og tar opp halvparten til 2/3 av plassen i bukhulen. Gonadenes farge varierer fra oransje, lys rosa til rosa. Vaskularisering begynner å bli fremtredende. De ugjennomsiktige oocyttene i vitellogenese er lett å observere. GSI intervall: 3,29 til 10,99; Ig intervall: 4,02 til 15,23
3- Gytende (tidlig) I starten av gytingen har hunntorsk svært store gonader som tar opp mesteparten av plassen i bukhulen. Gonadenes farge varierer og kan være oransje, lys rosa, rosa. Oocytter er tydelig synlige, og noen få transparente, hydrerte oocytter observeres i gonadene, blant store og ugjennomsiktige oocytter i vitellogenese eller i sluttmodning (siste stadiet før ovulasjon). Gonaden ser granulert ut med mye vaskularisering. GSI: 16; Ig: 23,19
3- Gytende hovedgyteperiode Gonadene er svært store og opptar mesteparten av plassen i bukhulen. Gonadens farge varierer fra oransje, lys rosa, rosa til rødlig. Hydrerte oocytter observeres gjennom hele gonaden. Gonadene ser granulerte ut og det er mye vaskularisering. Gonadene er rennende. Ved stryking av fisken kan det komme ut noen egg. GSI minker gradvis utover gytingen. GSI intervall: 11,80 til 24,99; Ig intervall: 19,24 til 44,15
4- Utgytt/hvilende Gonadene er lokalisert i den bakre delen av bukhulen og viser hvitaktig, gråaktig til lys rosa farge. De er små og slappe, kan være blodsprengte og har tykke vegger. Hvite oocytter i atresi kan observeres. Regenerering tar til, og gonadene blir noe større og fyldigere enn i stadium 1 (umoden). Det er ingen synlige egg. GSI: 1,53 til 1,91; Ig: 1,89 til 2,35
Tabell 1 : Oppsummering av modningsstadier hos hunntorsk

3.2 - Hanntorsk modningsgrad oppsummering

Stadium Makroskopisk – visuell vurdering
1- Umoden Gonadene er små, ser ut som en streng, består av to lober og befinner seg under leveren og fordøyelseskanalen i den bakre delen av bukhulen, langs svømmeblæren. Fargen er hvit til gulhvit og gjennomsiktig. GSI intervall: 0,01 til 0,27; Ig intervall: 0,01 til 0,31
2- Modnende Gonadene er langstrakte, lappete og krøllete. Gonadene er større i volum sammenlignet med forrige stadium. De utvikler seg til å ta opp halvparten til 2/3 av plassen i bukhulen. Lappene blir tykkere. Sædlederne er gjennomsiktige og tomme. Gonadenes farge varierer fra rødlig, lys rosa til rosa. Jo mer de utvikler seg, desto hvitere blir de. Det er ulike modningsgrader fra tidlig modning til avansert modning. Det er ingen utslipp av melke. GSI intervall: 0,49 til 8,42; Ig intervall: 0,59 til 11
3- Gytende Gonadene er svært store og opptar mesteparten av plassen i bukhulen. Lobene/lappene er fyldige, hvite og ugjennomsiktige. Sædlederne er fulle av melke, som renner ut ved press på fiskens bukside. GSI minker gradvis utover gytingen og testes krymper mot ryggsiden av bukhulen. GSI intervall: 4,81 til 10,34; Ig intervall: 6,03 til 13,36
4- Utgytt/hvilende Gonadene er små, de ligger langs svømmeblæren, lobene/lappene er tomme og kan være grå til rødlig. Det kan være spor av melke. Regenerering tar til, gonadene er noe større og fyldigere enn stadium 1 (umoden). GSI: 0,34; Ig: 0,41
Tabell 2 : Oppsummering av modningsstadier hos hanntorsk

3.3 - Oppdrettstorsk Umoden

3.3.1 - 1. Stadium: Umoden hunntorsk

Figuren viser to fotografier av en hunntorsk åpnet ventralt og på siden med forskjellige forstørrelser, slik at man kan se organene i bukhulen, spesielt eggstokken som er svært liten og består av to lapper. Et tredje bilde viser at eggstokken er glatt, litt gjennomsiktig og rosa.
Figur 3: Umoden hunntorsk. (A) Fisk åpen - sett fra siden, (B) forstørrelse av åpen fisk – sett fra siden, (C) gonader utenfor fisk –sett fra dorsal/ryggside. Svarte piler indikerer gonadene.

Beskrivelse

Gonadene/rognsekkene er små, består av to lober (se Figur 3C) og befinner seg under leveren og fordøyelseskanalen i den bakre delen av bukhulen (Figur 3A og B, svarte piler). På det umodne stadiet er ingen oocytter/eggceller synlig makroskopisk, og rognsekken er glatt, litt gjennomsiktig og rosa (Figur 3C).

Fiskedata

Lengde: 31,5 cm; Vekt: 285 g; Gonadevekt: 0,78 g

GSI: 0,27 – Ig: 0,31


3.3.2 - 1. Stadium: Umoden hanntorsk

Figuren viser to fotografier av en hanntorsk åpnet ventralt og på siden med ulike forstørrelser, slik at man kan observere organene i bukhulen. Testiklene er vanskelige å se og ligner på en streng. Et tredje bilde viser testiklene utenfor fisken.
Figur 4: Umoden hanntorsk. (A) Fisk åpen - sett fra siden, (B) forstørrelse av åpen fisk – sett fra siden, (C) gonader utenfor fisk. Den røde pilen indikerer gonadene.

Beskrivelse

På det umodne stadiet er gonadene små og vanskelig å se, ser ut som en streng (Figur 4A), består av to lober (Figur 4C) og befinner seg under leveren og fordøyelseskanalen i den bakre delen av bukhulen (Figur 4A og B, rød pil). Fargen er hvit til gulhvit og gjennomsiktig.

Fiskedata

Lengde: 28,5 cm; Vekt: 217 g; Gonadevekt: 0,22 g

GSI: 0,10 – Ig: 0,12


3.4 - Oppdrettstorsk Modnende

3.4.1 - 2. Stadium: Modnende hunntorsk (tidlig)

Figuren viser to bilder av en hunntorsk åpnet ventralt og på siden, slik at man kan se organene i bukhulen, spesielt eggstokken. I tillegg er det tre forskjellige eggstokker vises på bildene: de er små, hovne, og har en oransje, rød til rosa farge.
Figur 5: Modnende hunntorsk i tidlige stadier. (A) Fisk åpen - sett fra siden, (B) Fisk åpen – sett fra ventral/bukside, (C)-(D)-(E) Gonader utenfor fisk – sett fra dorsal/ryggside.

Beskrivelse

Gonadene er plassert i den bakre delen av bukhulen (Figur 5A og B). Gonadene er små og hovne med oransje, rød til rosa farge (se Figur 5C til D). På mikroskopisk nivå viser oocyttene kortikale alveoler (se Figur 15).

Fiskedata

Figur 5A - C

Lengde: 44 cm; Vekt: 1069 g; Gonadevekt: 27 g

GSI: 2,53 – Ig: 3,20

Figur 5D

Lengde: 56 cm; Vekt: 2618 g; Gonadevekt: 49 g

GSI: 1,87 – Ig: 2,30

Figur 5E

Lengde: 56 cm; Vekt: 2921 g; Gonadevekt: 49 g

GSI: 1,68 – Ig: 2,10

GSI intervall: 0,65 til 3,92; Ig intervall: 0,76 til 5,35


3.4.2 - 2. Stadium: Modnende hunntorsk (avansert)

Figuren viser to fotografier av en hunntorsk åpnet ventralt og på siden, slik at man kan observere organene i bukhulen, spesielt eggstokken som opptar halvparten til 1/2 av plassen i bukhulen. To andre bilder viser samme eggstokk, men med ulike forstørrelser. Vaskularisering (blodkar) begynner å bli fremtredende
Figur 6: Modnende hunntorsk i avanserte stadier. (A) Fisk åpen - sett fra siden, (B) Fisk åpen – sett fra ventral/bukside, (C) gonader utenfor fisk – sett fra dorsal/ryggside, (D) forstørrelse av gonadene, høyre side.

Figuren viser to fotografier av en hunntorsk åpnet ventralt og på siden, slik at man kan se organene i bukhulen, spesielt eggstokken som tar opp halvparten til 2/3 av plassen i bukhulen. To andre bilder viser samme eggstokk med forskjellige forstørrelser. Vaskularisering (blodkar) er fremtredende.
Figur 7: Modnende hunntorsk i avanserte stadier. (A) Fisk åpen - sett fra siden, (B) Fisk åpen – sett fra ventral/bukside, (C) og (D) gonader utenfor fisk – sett fra dorsal/ryggside.

Beskrivelse

Gonadene er større i volum sammenlignet med forrige stadium og tar opp halvparten til 2/3 av plassen i bukhulen (Figur 6A og B, Figur 7A og B). Gonadenes farge varierer fra oransje, lys rosa til rosa (se Figur 6 og Figur 7). Vaskularisering (blodkar) begynner å bli fremtredende. De ugjennomsiktige oocyttene i vitellogenese er lette å observere (Figur 6D).

Fiskedata

Figur 6

Lengde: 42 cm; Vekt: 871 g; Gonadevekt: 76 g

GSI: 8,73 – Ig: 10,98

Figur 7A, B & C

Lengde: 56 cm; Vekt: 2580 g; Gonadevekt: 246 g

GSI: 9,53 – Ig: 13,32

Figur 7D

Lengde: 47 cm; Vekt: 1838 g; Gonadevekt: 202 g

GSI: 10,99 – Ig: 15,23

GSI intervall: 3,29 til 10,99; Ig intervall: 4,02 til 15,23


3.4.3 - 2. Stadium: Modnende hanntorsk

Figuren viser to fotografier av en hanntorsk åpnet ventralt og på siden, slik at man kan se organene i bukhulen, spesielt testiklene som opptar halvparten til 2/3 av plassen i bukhulen. Fire andre bilder viser forskjellige testikler. Gonadene er langstrakte, lappete og krøllete, og fargen varierer fra rødlig, lys rosa til rosa.
Figur 8: Modnende hanntorsk. (A) Fisk åpen - sett fra siden, (B) Fisk åpen – sett fra ventral/bukside, (C) til (F) Gonader av modnende hanntorsk.

Beskrivelse

Gonadene er langstrakte, lappete og krøllete. Gonadene er større i volum sammenlignet med forrige stadium. De utvikler seg til å ta opp halvparten til 2/3 av plassen i bukhulen (Figur 8A og B). Lobene blir tykkere. Sædlederne er gjennomsiktige og tomme. Gonadenes farge varierer fra rødlig, lys rosa til rosa (se Figur 8). Jo mer de utvikler seg, desto hvitere blir de. Det er ulike modningsgrader fra tidlig modning (Figur 8C) til avansert modning (Figur 8A, B og E). Det er ingen utslipp av melke.

Fiskedata

Figur 8A, B og E

Lengde: 51 cm; Vekt: 2032 g; Gonadevekt: 171 g

GSI: 8,42 – Ig: 11

Figur 8C

Lengde: 64 cm; Vekt: 3532 g; Gonadevekt: 51 g

GSI: 1,44 – Ig: 1,79

Figur 8D

Lengde: 60 cm; Vekt: 3690 g; Gonadevekt: 168 g

GSI: 4,55 – Ig: 5,99

Figur 8F

Lengde: 59 cm; Vekt: 2769 g; Gonadevekt: 76 g

GSI: 2,74 – Ig: 3,39

GSI intervall: 0,49 til 8,42; Ig intervall: 0,59 til 11


3.5 - Oppdrettstorsk Gytende

3.5.1 - 3. Stadium: Gytende hunntorsk – tidlig

Figuren viser to fotografier av en hunntorsk åpnet ventralt og på siden, slik at man kan se organene i bukhulen, spesielt eggstokken som opptar mesteparten av plassen i bukhulen. To andre bilder viser den samme eggstokken med ulike forstørrelser. Fargen på gonadene kan variere og er oransje, lys rosa. Oocytter er tydelig synlige, og noen få transparente, hydrerte oocytter observeres i gonadene.
Figur 9: Hunntorsk i begynnelsen av gytesesongen. (A) Fisk åpen - sett fra siden, (B) Fisk åpen – sett fra ventral/bukside, (C) gonader utenfor fisk – sett fra dorsal/ryggside, (D) forstørrelse av rognsekken, høyre side, med hydrerte oocytter (svarte pilspisser).

Beskrivelse

I starten av gytingen har hunntorsk svært store gonader som tar opp mesteparten av plassen i bukhulen (Figur 9A og B). Gonadenes farge varierer og kan være oransje, lys rosa, rosa. Oocytter er tydelig synlige, og noen få transparente, hydrerte oocytter observeres i gonadene (se Figur 9D, svarte pilspisser), blant store og ugjennomsiktige oocytter i vitellogenese eller i sluttmodning (siste stadiet før ovulasjon, se Figur 17). Gonaden ser granulert ut med mye vaskularisering.

Fiskedata

Lengde: 44 cm; Vekt: 1119 g; Gonadevekt: 179 g

GSI: 16 – Ig: 23,19


3.5.2 - 3. Stadium: Gytende hunntorsk – hovedgyteperiode

Figuren viser to fotografier av en hunntorsk åpnet ventralt og på siden, slik at man kan se organene i bukhulen, spesielt eggstokken som opptar mesteparten av plassen i bukhulen. To andre bilder viser den samme eggstokken med ulike forstørrelser. Gjennom hele gonaden observeres hydrerte oocytter. Eggstokkene ser granulerte ut, og det er rikelig med vaskularisering.
Figur 10: Hunntorsk i gytesesong. (A) Fisk åpen - sett fra siden, (B) Fisk åpen – sett fra ventral/bukside, (C) gonader utenfor fisk – sett fra ventral/bukside, (D) forstørrelse av rognsekken, venstre side, med hydrerte oocytter (svarte pilspisser).

Beskrivelse

Gonadene er svært store og opptar mesteparten av plassen i bukhulen (se Figur 10A og B). Gonadens farge varierer fra oransje, lys rosa, rosa til rødlig. Hydrerte oocytter observeres gjennom hele gonaden (se Figur 10C og D, svarte pilspisser, og Figur 18A og B). Rognsekkene ser granulerte ut og det er mye vaskularisering.

Gonadene er rennende. Ved stryking av fisken kan det komme ut noen egg (Figur 10A). GSI minker gradvis utover gytingen.

Fiskedata

Lengde: 50 cm; Vekt: 1770 g; Gonadevekt: 304 g

GSI: 17,18 – Ig: 25,74

GSI intervall: 11,80 til 24,99; Ig intervall: 19,24 til 44,15


3.5.3 - 3. Stadium: Gytende hanntorsk

Figuren viser to fotografier av en hanntorsk åpnet ventralt og på siden, slik at man kan se organene i bukhulen, spesielt testiklene som opptar mesteparten av plassen i bukhulen. To andre bilder viser de samme testiklene med ulike forstørrelser. Lobene er fyldige, hvite og ugjennomsiktige. Sædlederne er fylt med melke.
Figur 11: Hanntorsk i gytesesong. (A) Fisk åpen - sett fra siden, (B) Fisk åpen – sett fra ventral/bukside, (C) og (D) gonader utenfor fisk.

Beskrivelse

I gytende hanntorsk er gonadene svært store og opptar mesteparten av plassen i bukhulen (Figur 11A og B). Lobene er fyldige, hvite og ugjennomsiktige. Sædlederne er fulle av melke, som renner ut ved press på fiskens bukside. GSI minker gradvis utover gytingen og testes krymper mot ryggsiden av bukhulen.

Fiskedata

Figur 11A, B og C

Lengde: 44 cm; Vekt: 1139 g; Gonadevekt: 87 g

GSI: 7,64 – Ig: 9,82

Figur 11D

Lengde: 56 cm; Vekt: 2570 g; Gonadevekt: 133 g

GSI: 5,18 – Ig: 6,60

GSI intervall: 4,81 til 10,34; Ig intervall: 6,03 til 13,36


3.6 - Oppdrettstorsk Utgytt/Hvilende

3.6.1 - 4. Stadium: Utgytt hunntorsk

Figuren viser to fotografier av en hunntorsk åpnet ventralt og på siden, slik at man kan se organene i bukhulen, spesielt eggstokken lokalisert i den bakre delen av bukhulen. To andre bilder viser den samme eggstokken med forskjellige forstørrelser. Ovariene har tykke vegger og viser en hvitaktig, gråaktig til lys rosa farge.
Figur 12: Utgytt/hvilende hunntorsk. (A) og (B) Fisk åpen – sett fra siden med gonadene (svarte piler), (C)-(D) gonadene utenfor fisk – sett fra dorsal/ryggside. (D) Gonadene mangler en lapp.

Beskrivelse

Gonadene er lokalisert i den bakre delen av bukhulen (Figur 12A og B, svarte piler) og viser hvitaktig, gråaktig til lys rosa farge (Figur 12). De er små og slappe (Figur 12A) og kan være blodsprengte. Ovariene har tykke vegger. Hvite oocytter i atresi (oocytter som tilbakedannes) kan observeres. Regenerering tar til, og gonadene blir noe større og fyldigere enn i stadium 1 (umoden). Det er ingen synlige egg.

Fiskedata

Figur 12A og D

Lengde: 47 cm; Vekt: 1554 g; Gonadevekt: 29,7 g

GSI: 1,91 – Ig: 2,35

Figur 12B og C

Lengde: 49 cm; Vekt: 1361 g; Gonadevekt: 20,78 g

GSI: 1,53 – Ig: 1,89


3.6.2 - 4. Stadium: Utgytt hanntorsk

Figuren viser et fotografi av en hanntorsk åpnet ventralt og på siden, slik at man kan se organene i bukhulen, spesielt testiklene som ligger langs svømmeblæren. Et annet fotografi viser en testikkel med tomme og røde lobber.
Figur 13: Utgytt hanntorsk. (A) Fisk åpen – sett fra siden med gonadene (svarte piler), (B) testes utenfor fisk.

Beskrivelse

Gonadene er små, de ligger langs svømmeblæren (Figur 13A, svart pil), lobene er tomme og kan være grå (Figur 13A) til rødlig (Figur 13B). Det kan være spor av melke. Regenerering tar til, gonadene er noe større og fyldigere enn stadium 1 (umoden).

Fiskedata

Figur 13A

Lengde: 47 cm; Vekt: 1631 g; Gonadevekt: 5,18 g

GSI: 0,32 – Ig: 0,39

Figur 13B

Lengde: 51 cm; Vekt: 2004 g; Gonadevekt: 6,84 g

GSI: 0,34 – Ig: 0,41

4 - Modningsgrad hos torsk – Mikroskopisk vurdering

4.1 - Oppdrettstorsk Histologiske stadier

4.1.1 - 1. Stadium: Umoden hunntorsk

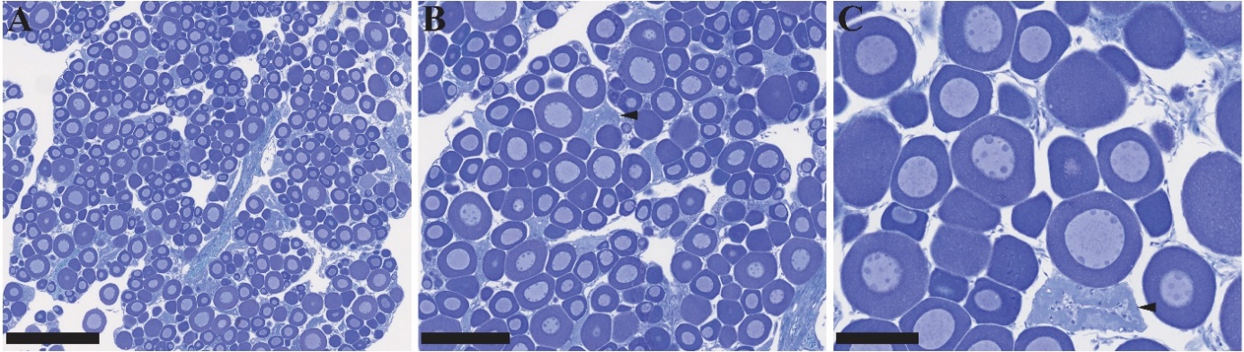
Figuren viser tre bilder av histologiske lysbilder av gonadevev fra hunntorsk i ulike forstørrelser. Ifølge vevsanalysen er dyret umodent, da det hovedsakelig presenterer previtellogene oocytter.
Figur 14: Umoden hunntorsk, mikroskopi. Previtellogene oocytter observeres på bildene. Målestokk - A: 500 µm, B: 250 µm, C: 100 µm.

4.1.2 - 2. Stadium: Modnende hunntorsk – tidlig

Figuren viser tre bilder av histologiske lysbilder av gonadevev fra hunntorsk i forskjellige forstørrelser. I tillegg til de previtellogene oocyttene, observeres oocytter som presenterer kortikale alveoler, noe som fører til konklusjonen om at dyret er i et tidlig modningsstadium.
Figur 15: Modnende (tidlig stadium) hunntorsk, mikroskopi. Oocytter i begynnelsen av vitellogenese viser kortikale alveoler (Figur 15, svarte pilspisser). Målestokk - A: 500 µm, B: 250 µm, C: 100 µm.

4.1.3 - 2. Stadium: Modnende hunntorsk – avansert

Figuren viser tre bilder av histologiske lysbilder av gonadevev fra hunntorsk i forskjellige forstørrelser. Det mest avanserte oocyttstadiet som er observert, er oocytter som presenterer eggeplommegranulat i cytoplasmaet, og dette indikerer at dyret er i et avansert modningsstadium.
Figur 16: Modnende (avansert stadium) torsk, mikroskopi. Oocytter i avansert vitellogenese viser eggeplommegranulat i cytoplasmaet og en sentral kjerne. Målestokk - A: 500 µm, B: 250 µm, C: 100 µm.

4.1.4 - 3. Stadium: Gytende hunntorsk – tidlig

Figuren viser tre bilder av histologiske lysbilder av gonadevev fra hunntorsk i forskjellige forstørrelser. Det mest avanserte oocyttstadiet som er observert, viser oocytter hvor kjernen har begynt å bevege seg mot periferien, noe som indikerer at dyret starter gyting (tidlig).
Figur 17: Gytende hunntorsk (initiering av gytesesong), mikroskopi. Noen oocytter er i sluttmodning med kjernen som har begynt å bevege seg mot oocyttens periferi (den animalske pol) (Figur 17A og B). Noen få follikler etter ovulering (Figur 17, svarte pilspisser) observeres på bildet. Målestokk - A: 500 µm, B: 250 µm, C: 250 µm.

4.1.5 - 3. Stadium: Gytende hunntorsk – hovedgyteperiode

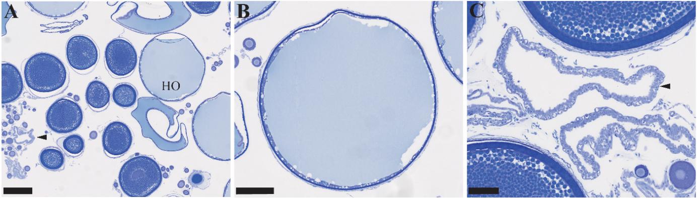
Figuren viser tre bilder av histologiske lysbilder av gonadevev fra hunntorsk i forskjellige forstørrelser. Store hydrerte oocytter og follikler etter ovulering observeres på bildene. Fisken gyter.
Figur 18: Gytende hunntorsk, mikroskopi. Hydrerte oocytter (Figur 18A og B, HO) og follikler etter ovulering (Figur 18A og C, svarte pilspisser) observeres på bildene. Målestokk - A: 500 µm, B: 250 µm, C: 100 µm.

4.1.6 - 4 . Stadium: Utgytt hunntorsk

Figuren viser to bilder av histologiske lysbilder av gonadevev fra hunntorsk i forskjellige forstørrelser. Previtellogene oocytter observeres på bildene, med noen oocytter i atresi. I tillegg er det mange follikler etter ovulering. Fisken avslutter gyting.
Figur 19: Utgytt hunntorsk, slutten av gytesesong, mikroskopi. Previtellogene oocytter observeres på bildene med noen oocytter i atresi som ikke klarte å utvikle seg til slutten av gametogenesen og blir tilbakedannet. I tillegg er det mange follikler etter ovulering (Figur 19B, svarte pilspisser), som er bevis på nylig gyting. Målestokk - A: 500 µm, B: 250 µm.

4.1.7 - 4. Stadium: Utgytt hunntorsk – hvilende

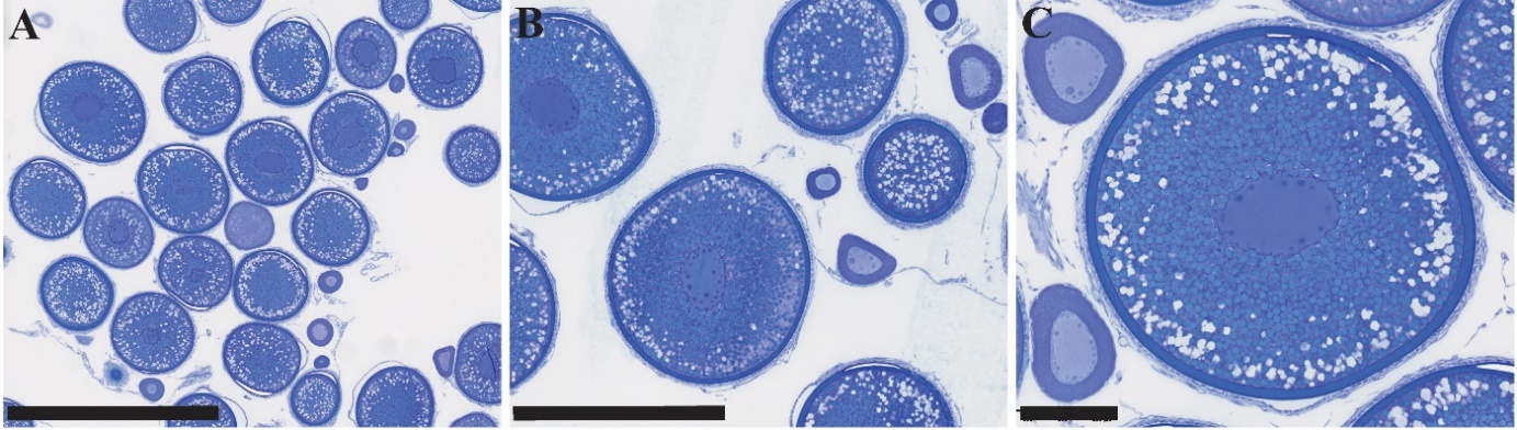
Figuren viser tre bilder av histologiske lysbilder av gonadevev fra hunntorsk i forskjellige forstørrelser. Previtellogene oocytter observeres på bildene, samt noen follikler etter ovulering.
Figur 20: Utgytt hunntorsk – hvilende, mikroskopi. Previtellogene oocytter observeres på bildene, i tillegg til noen follikler etter ovulering (Figur 20C, svart pilspiss), som er bevis på nylig egg gyting. Målestokk - A: 500 µm, B: 250 µm, C: 100 µm.

 


4.1.8 - 1.Stadium: Umoden hanntorsk

Figuren viser to bilder av histologiske lysbilder av gonadevev fra hanntorsk i forskjellige forstørrelser. I denne umodne fisken observeres spermatogonia.
Figur 21: Umoden hanntorsk, mikroskopi. Spermatogonia er karakteristiske for denne fasen Målestokk - A: 250 µm, B: 100 µm.

4.1.9 - 2.Stadium: Modnende hanntorsk

Figuren viser to bilder av histologiske lysbilder av gonadevev fra hanntorsk i forskjellige forstørrelser. Forskjellige stadier av modning av kjønnscellene er observert på bildene, med de mindre avanserte i periferien av lappen og de mest avanserte nær efferentkanalen. Blant de mest avanserte stadiene observeres spermatozoer.
Figur 22: Modnende hanntorsk, mikroskopi. Forskjellige stadier av modning av kjønnscellene er observert på bildene med de mindre avanserte i periferien av lappen og de mest avanserte nær efferentkanalen. Blant de mest avanserte stadiene observeres spermatozoer (Figur 22A, svart pilspiss) og langstrakte spermatider (Figur 22B, svart pilspiss). Målestokk - A: 250 µm, B: 100 µm.

4.1.10 - 3.Stadium: Gytende hanntorsk

Figuren viser fire bilder av histologiske lysbilder av gonadevev fra hanntorsk på forskjellige steder i vevet og i ulike forstørrelser. Bildene viser hovedsakelig spermatozoer, men også fagocyterte frie spermatozoer og tykke vegger kalt interlobulære vegger. Fisken er i 3. stadium: gytende hanntorsk.
Figur 23: Gytende hanntorsk, mikroskopi. Gonader består hovedsakelig av spermatozoer (Figur 23). Interlobulære vegger (Figur 23C, svarte pilspisser) og fagocyterte frie spermatozoer (Figur 23D, svarte pilspisser) observeres på bildene. Målestokk - A: 1 mm, B: 250 µm, C: 500 µm, D: 50 µm.

4.1.11 - 4.Stadium: Utgytt hanntorsk

Figuren viser tre bilder av histologiske lysbilder av gonadevev fra hanntorsk i forskjellige forstørrelser. Spermatogonia er karakteristisk for dette stadiet, men fagocyterte frie spermatozoer er også observert, noe som fører til konklusjonen om at det er en utgytt hanntorsk.
Figur 24: Utgytt hanntorsk, mikroskopi. Spermatogonia er karakteristiske for denne fasen (Figur 24A og B). Fagocyterte frie spermatozoer (Figur 24C) observeres på bildene Målestokk - A: 250 µm, B: 250 µm, C: 100 µm.

 

5 - Referanser

Bucholtz, R., Tomkiewicz, J., Vitale, F., Dalscov, J., Wilhelms, I., Sell, A., Bland, A., Gibb, I., & Power, G. (2007). Manual to determine gonadal maturity of North Sea cod ( Gadus morhua L.) (p. 36) [Report of the Working Group on Maturity Staging of Cod, Whiting, Haddock and Saithe (WKMSCWHS)]. ICES.

SPD gruppen. (2023). Håndbok for prøvetaking av fisk, krepsdyr og andre evertebrater (Håndbok FOU.SPD.HB-01; p. 149). Havforskningsinstituttet, IMR.

Tomkiewicz, J., Tybjerg, L., Holmm, N., Hansen, A., Broberg, C., & Hansen, E. (2002). Manual to determine gonadal maturity of Baltic cod . Danish Institute for Fisheries Research.

Tomkiewicz, J., Tybjerg, L., & Jespersen, A. (2003). Micro- and macroscopic characteristics to stage gonadal maturation of female Baltic cod. Journal of Fish Biology , 62 (2), 253–275. https://doi.org/10.1046/j.1095-8649.2003.00001.x