Gå til hovedinnhold

Videreutviklet protokoll for vurdering av modningsgrad hos oppdrettstorsk

Forfatter(e): Maud Alix , Marina Mihaljevic og Birgitta Norberg (HI)

Sammendrag

Den videreutviklede protokollen for vurdering av modningsnivået hos oppdrettstorsk skisserer distinkte modningsstadier hos både hann- og hunntorsk (Gadus morhua). Denne protokollen hjelper til med å evaluere graden av modenhet hos torsk i oppdrettsanlegg. Hvert stadium involverer en makroskopisk vurdering, som inkluderer bilder av gonadene både inne i og utenfor fisken, detaljerte bilder, en generell beskrivelse av gonadene og fiskemålinger. I tillegg omfatter den en mikroskopisk vurdering med histologiske bilder og beskrivelser. Protokollen gir også retningslinjer for korrekt innsamling av gonadeprøver fra hann- og hunntorsk for videre histologiske analyser, samt instruksjoner for å ta bilder som muliggjør visuell vurdering av modningsstadier av en tredjepart. Til slutt presenteres resultater fra første år overvåkning av modningsgrad i vinter 2023-2024 i fire torskeoppdrettsvirksomheter i Norge, med en sammenligning mellom vurderinger gjort av næringsaktører og Havforskningsinstituttet.

1. Ordliste

 

Atresi – Oocytter som tilbakedannes

Follikler etter ovulering – bevis på nylig egg gyting

Gonade – (Indre) kjønnsorgan som produserer kjønnsceller, rognsekk og testes

GSI – Gonadosomatisk index. Blir beregnet ut fra formelen: Gonadevekt (GV)/fiskens totale vekt (V) *100

HI – Havforskningsinstituttet

Hyalin oocytt – Gjennomsiktig oocytt, siste stadium av oocyttmodning

Ig – Somatisk GSI. Blir beregnet ut fra formelen: (Gonadevekt/somatisk vekt) *100 hvor somatisk vekt er vekten av fisken uten innvoller (lever, gonader og fordøyelsesorganer)

Kortikale alveoler  Vesikler i utkanten av plommemassen som inneholder glykoproteiner. Disse bidrar til herding av egget etter at det er befruktet.

Melke – Sæd / modne spermier

Oocytt – Eggcelle

Ovulering/ovulasjon – Eggløsning

Rognsekk – Hunngonade

Sædledere – Kanaler som transporterer sæd fra gonade til ytre miljøet under reproduksjon; efferentkanaler

Spermatide – Differensierte kjønnsceller som modner til spermatozoer

Spermatocytt  Differensierte kjønnsceller som modner til spermatider

Spermatogonium – Type stamcelle som er forløperne til sædceller

Spermatozoer – Hannfiskens spermier; moden sædcelle

Testis/testes – Hanngonade

Vaskularisering – Dannelse av blodkar

Vitellogenese  Dannelse av plommemasse, ved at forløperen vitellogenin blir produsert i leveren, transportert i blodet og lagret i oocyttene. I denne fasen vokser oocyttene meget raskt

Vitellogenin – Forløpere til plommemateriale. Blir dannet i leveren og inneholder protein, fettstoffer, karbohydrater og sporstoffer som blir brukt i tidlig utvikling av fiskeembryo og -larver

 

2. Innledning og metode

Denne protokollen er utviklet for å vurdere modningsgraden hos oppdrettstorsk. Vi anbefaler å samle inn prøver eller vurdere modningsstatusen på nylig avlivet oppdrettstorsk.

2.1 - Opprinnelsen til torsken

Fiskedata (bilder og fiskemålinger) som presenteres i dette dokumentet kommer fra ulike prosjekter og kilder som er oppført nedenfor:

  • Prosjekt «Grad av kjønnsmodning i oppdrettstorsk» fra Regionale Forskningsfond Arktis, Vestland og Trøndelag (prosjektnummer 337684)

  • Prosjekt «Modningsfri torsk i merd» fra Fiskeri- og Havbruksnæringens Forskningsfond (prosjektnummer 901815)

  • Rapportering fra torskeoppdrett (se 2.5 Vurdering av modningsgrad hos oppdrettstorsk - Vintersesong 2023-2024).

Alle fiskene som brukes er oppdrettstorsk fra avlsprogrammer ved Nofima eller Havlandet.

2.2 - Prøvetaking for vurdering av modningsgrad hos oppdrettstorsk

Modningsgraden hos oppdrettstorsk er delt inn i stadier i henhold til visuell estimering av gonader. Stadiene er bekreftet med histologiske analyser for begge kjønn. Modningsstadiene som beskrives nedenfor samsvarer med prosedyren som brukes i håndboken for prøvetaking av fisk, krepsdyr og andre evertebrater (SPD gruppen, 2023) og den foreløpige manualen for å bestemme gonademodningsgraden hos Nordsjøtorsk, utviklet av deltakere i ICES Workshop på «Modenhetsstadium for torsk, hvitting, hyse og sei» (Bucholtz m.fl. 2007) og Tomkiewicz m.fl. (2003). Ytterligere beskrivelse og bilder av torskegonader i vill torsk finnes i Tomkiewicz m.fl. (2002) .

Når modningsstadiet er vanskelig å vurdere (kan være tilfelle mellom stadium 1 og 4 - umoden og utgytt i hanner og hunner), er det mulig å ta en prøve for histologiske analyser eller partikkelanalyser. I tillegg til gonadeprøver som er samplet for videre analyser, anbefaler vi å ta et bilde av fisken åpen med gonaden inni og et bilde av gonaden utenfor fisken (Figur 1, Figur 2A og B). Protokollen for å ta prøver og fiksere vevet er beskrevet nedenfor.

I denne protokollen ble gonadosomatisk index (GSI) beregnet ut ifra formelen: Gonadevekt (GV)/fiskens totale vekt (V) *100. Somatisk GSI (Ig) kan bli beregnet ut ifra formelen: (Gonadevekt/somatisk vekt) *100 hvor somatisk vekt er vekten av fisken uten innvoller (lever, gonader og fordøyelsesorganer). GSI intervall for hvert modningsstadium er her kun for å gi et foreløpig estimat av GSI for hvert modningsstadium og for noen stadier er det basert på et lite antall fisk (samplet for denne protokollen). Ytterligere innsamling av fisk vil imidlertid være nødvendig for å gi en representativ verdi for hvert modningsstadium. Total lengde (TL) på fisken er også angitt i protokollen når informasjon er tilgjengelig.

2.3 - Instruksjoner for å ta bilde for visuell vurdering av en tredjepart

For at en tredjepart visuelt skal kunne vurdere modningsgraden hos oppdrettstorsk, skal noen regler for å ta bilder følges. Ta bildet av gonaden ovenfra (se eksempel Figur 1), nær nok til at detaljene slik som hydrerte oocytter kan identifiseres. For hannene er det beste å spre testes for å se sædlederne (Figur 1C, svarte piler). Det anbefales å fotografere intakte gonader. Det er ikke nødvendig å ta bilde av gonadene i fisken hvis de ikke er synlige. Hvis mulig, kan det være lurt å justere leverens posisjon for å få et klarere bilde.

Bildene skal organiseres i mapper oppkalt etter dato og merdnummer (legg til «slakteri» hvis det er relevant): Merdnummer - Dato. Bildene skal navngis som følger: Fiskenummer – Merdnummer – Dato. Den tilsvarende Excel-filen skal være plassert i samme mappe. Denne Excel-filen skal ha følgende navn: Rapporteringsskjema - Merdnummer - Dato. For å unngå forvirring, ikke legg alle bildene i samme mappe med kun fiskenummeret.

 

Figuren viser et fotografi av høy kvalitet av en hann- og en hunntorsk som er åpnet ventralt og på siden, slik at organene i kroppshulen, spesielt testes og eggstokkene, er synlige. I tillegg er nærbilder av testes og eggstokker inkludert.
Figur 1 : Eksempler på bilder av god kvalitet som muliggjør en nøyaktig vurdering av fiskens modningsstadium. (A-B) Hann- og hunntorsk åpen - sett fra siden, (C-D) gonader utenfor fisk. Svarte piler indikerer sædlederne hos hanntorsk.

2.4 - Gonadeprøver for histologi og partikkelanalyse

2.4.1 - Uttak og fiksering av gonadeprøve: hunnfisk

Bruk forhåndsfylte ferdig merkede scintillasjonsrør med 4% nøytralt bufret formalin. Prøven skal utgjøre cirka en halv teskje og tas ved å skjære ut en bit fra den høyre gonaden omtrent midt på (se Figur 2C og D, rød stiplet linje) med gonadeåpningen under/ned og lobene/lapper pekende bort fra deg (Figur 2C, D og E). Dette kan gjøres ved hjelp av en kniv eller skalpell. Ved svært store gonader kan det være utfordrende å skjære ut en bit, og i slike tilfeller kan en plastpipette eller teskje brukes til å sample prøven. Denne biten plasseres direkte i plastbeholderen, som allerede er fylt med 4% nøytralt bufret formalin.

OBS!! Denne biten skal aldri utgjøre mer enn 1/10 av væsken i beholderen (se Figur 2 E). Det skal kun være én prøve (fra en fisk) per beholder.

Tørk av utstyr som brukes for å unngå forurensning fra én prøve til en annen (hvis du bruker en plastpipette, bytt den). Registrer løpenummeret sammen med fiskedataene (fiskenummer, totalvekt, lengde, gonadevekt, levervekt, somatisk vekt og kjønn).

Figuren viser et fotografi av en hunntorsk som er åpnet ventralt og på siden, slik at organene i kroppshulen, spesielt eggstokkene, er synlige. Flere bilder av eggstokker er inkludert, med markeringer som indikerer venstre og høyre side av organet. Åpningens plassering er markert med svarte piler. En rød stiplet linje viser området som skal kuttes for prøvetaking.
Figur 2 : Protokoll for uttak av gonadeprøver hos hunntorsk. (A) Fisk åpen - sett fra siden, (B-E) gonader/rognsekker utenfor fisk –sett fra dorsal/ryggside. Svarte piler indikerer åpningen av gonadene/rognsekkene. Rød stiplet linje viser delen som skal kuttes for prøvesamling.

2.4.2 - Uttak og fiksering av gonadeprøve: hannfisk

Bruk forhåndsfylte ferdige merkede scintillasjonsrør med fikseringsvæske. For hanner oppnådde vi best resultater i histologi ved bruk av Bouins løsning. For Bouins løsning: Vevsbiten må ikke være tykkere enn 5 mm på grunn av absorpsjonshastigheten til fiksativet. Etter 6-24 timer i Bouins fikseringsløsning vaskes vevet i 70 % etanol og overføres deretter til 70 % etanol. Hvis det ikke er mulig å bruke Bouin’s løsning, kan den erstattes med 4% nøytralt bufret formalin.

Prøven tas ved å skjære ut en bit av en lobe/lappe av hanngonaden (Figur 3, svarte piler og svart stiplet linje) ved hjelp av saks og pinsett. Hvis den er for stor, kutt loben over bredden (Figur 3, rød stiplet linje). Denne biten legges direkte i plastbeholderen som er forhåndsfylt med 4% nøytralt bufret formalin eller Bouins løsning.

OBS!! Denne biten skal aldri utgjøre mer enn 1/10 av væsken i beholderen. Det skal kun være én prøve (fra en fisk) per beholder.

Tørk av utstyr som brukes for å unngå forurensning fra én prøve til en annen. Registrer løpenummeret sammen med fiskedataene (fiskenummer, totalvekt, lengde, gonadevekt, levervekt, somatisk vekt og kjønn).

Figuren er et fotografi av torsketestes med to svarte piler som markerer de to lobbene av gonadene. Stiplete linjer indikerer området som skal kuttes for prøvetaking.
Figur 3 : Protokoll for uttak av gonadeprøver hos hanntorsk. Svarte piler viser en lobe/lappe av gonadene. Svarte og rød stiplet linjer indikerer delen som skal kuttes for prøvesamling.

2.5 - Vurdering av modningsgrad hos oppdrettstorsk - Vintersesong 2023-2024

2.5.1 - Vedtak om rapportering

I desember 2023 ga Fiskeridirektoratet pålegg til fire torskeoppdrettere for overvåking og rapportering av modningsgraden hos oppdrettstorsk under deres andre vinter i sjø, etter at det ble rapportert om modnende fisk fra flere selskap i løpet av 2023. For å sikre korrekt overvåkning og identifisering av modningsstadier hos fisk, bestilte Fiskeridirektoratet en protokoll fra Havforskningsinstituttet for å vurdere modningsgraden hos oppdrettstorsk. HI leverte protokollen og den ble tatt i brukt for første gang i vintersesongen 2023-2024. Etter denne sesongen var et sentralt spørsmål behovet for en videreutvikling av den opprinnelige protokollen.

GSI og modningsstadium basert på bildekategorisering ble rapportert til Fiskeridirektoratet i vintersesongen (januar til mai). Modningsstadium ble vurdert ved brukt av protokollen for vurdering av modningsgrad hos oppdrettstorsk (Alix & Norberg, 2024). I tillegg ble det tatt bilder av fisk og/eller gonader (testes og rognsekk) som ble ettersendt til Fiskeridirektoratet. I tillegg til GSI, ble vurdering av kjønnsmodning og bilder rapportert en gang per måned i januar og mai og to ganger per måned mellom februar og april. I mars 2024 ble det bestemt å øke prøvetakingsfrekvensen og data ble rapportert to ganger per måned frem til utslakt i alle merder i sjø. Et minimum av 20 torsk per fiskegruppe per prøveuttak ble tatt. Hele prosessen og metodene ble beskrevet i en Intern evalueringsrapport «Evaluering av tilsynssatsing modning og gyting i merd hos oppdrettstorsk sesongen 2023-2024» fra Fiskeridirektoratet.

Datamaterialet ble overført til Havforskningsinstituttet for å levere en revisjon av protokollen for vurdering av modningsgrad hos oppdrettstorsk (Bestilling fra 02. mai 2024), saksnr 24/3920 med følgende punkt:

  • Styrke datagrunnlaget for forholdet mellom GSI-verdier og visuelt vurdert modningsgrad for henholdsvis hunnfisk og hannfisk

  • Vurdere treffprosent hos næringsaktørene (bilder versus vurdert modningsgrad, sammenligne også med fysiske prøver dersom slike finnes)

  • Sammenligne fiskestørrelse hos hunner og hanner ved modning.

  • Sammenligne modning hos de to avlslinjene.

2.5.2 - Vurdering av materialet fra torskeoppdrett av Havforskningsinstituttet

Bildene mottatt fra Fiskeridirektoratet ble vurdert av to uavhengige personer. Modningsstadium ble vurdert separat og registrert i en Excel-fil sammen med tilhørende data. Modningsstadium ble vurdert ifølge Protokoll for vurdering av modningsgrad hos oppdrettstorsk (Alix & Norberg, 2024).

Hos hanntorsken finnes det fire modningsstadier:

      1. Umoden

      2. Modnende

      3. Gytende

      4.Utgytt/hvilende

Hos hunntorsken finnes det seks modningsstadier:

      1. Umoden

      2. a. Modnende tidlig

      2. b. Modnende avansert

      3. a. Gytende tidlig

      3. b. Gytende hovedperiode

      4. Utgytt/hvilende

I noen tilfeller ble et tilleggsstadium, 5 - Usikker, brukt. Dette skyldtes at enkelte modningsstadier er vanskelige å skille fra hverandre (for eksempel utgytt og umoden torsk). I tillegg var noen bilder av dårlig kvalitet, noe som gjorde det utfordrende å se detaljer som kunne bidra til å vurdere modningsstadiet. På grunn av variasjonen i bildekvaliteten ble muligheten for å bruke disse bildene vurdert for å sikre en korrekt vurdering av modningsstadiet.

Bildekvaliteten deles inn i tre kategorier:

  1. Høy: kan brukes til vurdering

  2. Middels: vanskelig å bruke

  3. Lav: ubrukelig for vurdering

 

3. Modningsgrad hos torsk – Makroskopisk – Visuell vurdering

3.1 - Hunntorsk modningsgrad oppsummering

Stadium Makroskopisk – visuell vurdering
1- Umoden Gonadene er små, består av to lober og befinner seg under leveren og fordøyelseskanalen i den bakre delen av bukhulen, langs svømmeblæren. På det umodne stadiet er ingen oocytter/eggceller synlig makroskopisk, og rognsekken er glatt, litt gjennomsiktig og rosa. GSI intervall: 0,02 til 1,69 (n=182, gjennomsnitt=0,43)
2a- Modnende (tidlig) Gonadene er plassert i den bakre delen av bukhulen. Gonadene er små og hovne med oransje, rød til rosa farge. GSI intervall: 0,20 til 3,92 (n=107, gjennomsnitt=1,24)
2b- Modnende (avansert) Gonadene er større i volum sammenlignet med forrige stadium og tar opp halvparten til 2/3 av plassen i bukhulen. Gonadenes farge varierer fra oransje, lys rosa til rosa. Vaskularisering begynner å bli fremtredende. De ugjennomsiktige oocyttene i vitellogenese er lett å observere. GSI intervall: 1,20 til 17,60 (n=81, gjennomsnitt=4,75)
3a- Gytende (tidlig) I starten av gytingen har hunntorsk svært store gonader som tar opp mesteparten av plassen i bukhulen. Gonadenes farge varierer og kan være oransje, lys rosa, rosa. Oocytter er tydelig synlige, og noen få transparente, hyaline oocytter observeres i gonadene, blant store og ugjennomsiktige oocytter i vitellogenese eller i sluttmodning (siste stadiet før ovulasjon). Gonaden ser granulert ut med mye vaskularisering. GSI intervall: 11,80 til 21,26 (n=7, gjennomsnitt=15,84)
3b- Gytende hovedgyteperiode Gonadene er svært store og opptar mesteparten av plassen i bukhulen. Gonadens farge varierer fra oransje, lys rosa, rosa til rødlig. Hyaline oocytter observeres gjennom hele gonaden. Gonadene ser granulerte ut og det er mye vaskularisering. Gonadene er rennende. Ved stryking av fisken kan det komme ut noen egg. GSI minker gradvis utover gytingen. GSI intervall: 6,86 til 27,14 (n=24, gjennomsnitt=18,54)
4- Utgytt/hvilende Gonadene er lokalisert i den bakre delen av bukhulen og har hvitaktig, gråaktig til lys rosa farge. De er små og slappe, kan være blodsprengte og har tykke vegger. Hvite oocytter i atresi kan observeres. Regenerering tar til, og gonadene blir noe større og fyldigere enn i stadium 1 (umoden). Det er ingen synlige egg. GSI intervall: 1,40 til 2,73 (n=7, gjennomsnitt=1,97)
Tabell 1 : Oppsummering av modningsstadier hos hunntorsk.

3.2 - Hanntorsk modningsgrad oppsummering

Stadium Makroskopisk – visuell vurdering
1- Umoden Gonadene er små, ser ut som en streng, består av to lober og befinner seg under leveren og fordøyelseskanalen i den bakre delen av bukhulen, langs svømmeblæren. Fargen er hvit til gulhvit og gjennomsiktig. GSI intervall: 0,02 til 0,69 (n=139, gjennomsnitt=0,12)
2- Modnende Gonadene er langstrakte, lappete og krøllete. Gonadene er større i volum sammenlignet med forrige stadium. De utvikler seg til å ta opp halvparten til 2/3 av plassen i bukhulen. Lappene blir tykkere. Sædlederne er gjennomsiktige og tomme. Gonadenes farge varierer fra rødlig, lys rosa til rosa. Jo mer de utvikler seg, desto hvitere blir de. Det er ulike modningsgrader fra tidlig modning til avansert modning. Det er ingen utslipp av melke. GSI intervall: 0,03 til 8,42 (n=82, gjennomsnitt=2,14)
3- Gytende Gonadene er svært store og opptar mesteparten av plassen i bukhulen. Lobene/lappene er fyldige, hvite og ugjennomsiktige. Sædlederne er fulle av melke, som renner ut ved press på fiskens bukside. GSI minker gradvis utover gytingen og testes krymper mot ryggsiden av bukhulen. GSI intervall: 0,73 til 14,95 (n=55, gjennomsnitt=6,53)
4- Utgytt/hvilende Gonadene er små, de ligger langs svømmeblæren, lobene/lappene er tomme og kan være grå til rødlig. Det kan være spor av melke. Regenerering tar til, gonadene er noe større og fyldigere enn stadium 1 (umoden). På grunn av tidligere hevelse av den, kan spermadukten se utspilt ut. GSI intervall: 0,32 til 1,48 (n=7, gjennomsnitt=0,52)
Tabell 2 : Oppsummering av modningsstadier hos hanntorsk

3.3 - Oppdrettstorsk Umoden

3.3.1 - 1. Stadium: Umoden hunntorsk

Gonadene/rognsekkene er små, består av to lober (se Figur 4C) og befinner seg under leveren og fordøyelseskanalen i den bakre delen av bukhulen (Figur 4A, B og D, svarte piler). På det umodne stadiet er ingen oocytter/eggceller synlig makroskopisk, og rognsekken er glatt, litt gjennomsiktig og rosa (Figur 4C).

GSI intervall: 0,02 til 1,69 (n=182, gjennomsnitt=0,43)

Figuren viser tre fotografier av en hunntorsk som er åpnet ventralt og på siden i forskjellige forstørrelser, slik at organene i bukhulen kan observeres, spesielt eggstokken som er svært liten og består av to lapper. Et tredje bilde viser eggstokken, som er glatt, litt gjennomsiktig og rosa.
Figur 4 : Umoden hunntorsk. (A) Fisk åpen - sett fra siden, (B) forstørrelse av åpen fisk – sett fra siden, (C) gonader utenfor fisk –sett fra dorsal/ryggside. Svarte piler indikerer gonadene.

3.3.2 - 1. Stadium: Umoden hanntorsk

På det umodne stadiet er gonadene små og vanskelig å se, ser ut som en streng (Figur 5A), består av to lober (Figur 5C) og befinner seg under leveren og fordøyelseskanalen i den bakre delen av bukhulen (Figur 5A og B, rød pil). Fargen er hvit til gulhvit og gjennomsiktig.

GSI intervall: 0,02 til 0,69 (n=139, gjennomsnitt=0,12)

Figuren viser to fotografier av en hanntorsk som er åpnet ventralt og på siden i ulike forstørrelser, slik at organene i bukhulen kan observeres. Testes er vanskelige å se og ligner på en streng. Et tredje bilde viser testes utenfor fisken.
Figur 5 : Umoden hanntorsk. (A) Fisk åpen - sett fra siden, (B) forstørrelse av åpen fisk – sett fra siden, (C) gonader utenfor fisk. Den røde pilen indikerer gonadene.

3.4 - Oppdrettstorsk Modnende

3.4.1 - 2.a Stadium: Modnende hunntorsk (tidlig)

Gonadene er plassert i den bakre delen av bukhulen (Figur 6A og B). Gonadene er små og hovne med oransje, rød til rosa farge (se Figur 6C til D). På mikroskopisk nivå viser oocyttene kortikale alveoler (se Figur 22).

GSI intervall: 0,20 til 3,92 (n=107, gjennomsnitt=1,24)

Figuren viser to bilder av en hunntorsk som er åpnet ventralt og på siden, slik at organene i bukhulen, spesielt eggstokken, er synlige. I tillegg vises tre forskjellige eggstokker på bildene: de er små, hovne, og har en oransje til rødrosa farge.
Figur 6 : Modnende hunntorsk i tidlige stadier. (A) Fisk åpen - sett fra siden, (B) Fisk åpen – sett fra ventral/bukside, (C)-(D)-(E) Gonader utenfor fisk – sett fra dorsal/ryggside.

3.4.2 - 2.b Stadium: Modnende hunntorsk (avansert)

Gonadene er større i volum sammenlignet med forrige stadium og tar opp halvparten til 2/3 av plassen i bukhulen (Figur 7A og B, Figur 8A og B). Gonadenes farge varierer fra oransje, lys rosa til rosa (se Figur 7 og Figur 8). Vaskularisering (blodkar) begynner å bli fremtredende. De ugjennomsiktige oocyttene i vitellogenese er lette å observere (Figur 7D).

GSI intervall: 1,20 til 17,60 (n=81, gjennomsnitt=4,75)

Figuren viser to fotografier av en hunntorsk som er åpnet ventralt og på siden, slik at organene i bukhulen, spesielt eggstokken, er synlige. Eggstokken opptar omtrent halvparten til 2/3 av plassen i bukhulen. De to andre bildene viser den samme eggstokken i ulike forstørrelser. Vaskulariseringen (blodkarene) begynner å bli fremtredende.
Figur 7 : Modnende hunntorsk i avanserte stadier. (A) Fisk åpen - sett fra siden, (B) Fisk åpen – sett fra ventral/bukside, (C) gonader utenfor fisk – sett fra dorsal/ryggside, (D) forstørrelse av gonadene, høyre side.

Figuren viser to fotografier av en hunntorsk som er åpnet ventralt og på siden, slik at organene i bukhulen, spesielt eggstokken, er synlige. Eggstokken opptar omtrent halvparten til 2/3 av plassen i bukhulen. De to andre bildene viser den samme eggstokken i ulike forstørrelser. Vaskulariseringen (blodkarene) er fremtredende.
Figur 8 : Modnende hunntorsk i avanserte stadier. (A) Fisk åpen - sett fra siden, (B) Fisk åpen – sett fra ventral/bukside, (C) og (D) gonader utenfor fisk – sett fra dorsal/ryggside.

3.4.3 - 2. Stadium: Modnende hanntorsk

Gonadene er langstrakte, lappete og krøllete (Figur 9 og Figur 10). Gonadene er større i volum sammenlignet med forrige stadium. De utvikler seg til å ta opp halvparten til 2/3 av plassen i bukhulen (Figur 9A, Figur 10A og B). Lobene blir tykkere. Sædlederne er gjennomsiktige og tomme. Gonadenes farge varierer fra rødlig, lys rosa til rosa (se Figur 9 og Figur 10). Jo mer de utvikler seg, desto hvitere blir de. Det er ulike modningsgrader fra tidlig modning (Figur 9B og C) til avansert modning (Figur 10). Det er ikke utslipp av melke.

GSI intervall: 0,03 til 8,42 (n=82, gjennomsnitt=2,14)

Figuren viser et fotografi av en hanntorsk som er åpnet ventralt og på siden, slik at organene i bukhulen, spesielt testes, er synlige. Testes opptar omtrent halvparten til 2/3 av plassen i bukhulen. De fire andre bildene viser ulike testikler. Gonadene er langstrakte, lappete og krøllete, og fargen varierer fra rødlig lys rosa til rosa.
Figur 9 : Modnende hanntorsk. (A) Fisk åpen - sett fra siden, (B) til (E) Gonader av modnende hanntorsk. De svarte pilene indikerer sælederne.

Figuren viser to fotografier av en hanntorsk som er åpnet ventralt og på siden, slik at organene i bukhulen, spesielt testes, er synlige. Testes opptar omtrent halvparten til 2/3 av plassen i bukhulen. De to andre bildene viser ulike testikler. Gonadene er langstrakte, lappete og krøllete, og fargen varierer fra rødlig lys rosa til rosa.
Figur 10 : Modnende hanntorsk. (A) Fisk åpen - sett fra siden, (B) Fisk åpen – sett fra ventral/bukside, (C) og (D) Gonader av modnende hanntorsk.

3.5 - Oppdrettstorsk Gytende

3.5.1 - 3.a Stadium: Gytende hunntorsk – tidlig

I starten av gytingen har hunntorsk svært store gonader som tar opp mesteparten av plassen i bukhulen (Figur 11A og B). Gonadenes farge varierer og kan være oransje, lys rosa, rosa. Oocytter er tydelig synlige, og noen få transparente, hyaline oocytter observeres i gonadene (se Figur 11D og Figur 12, svarte pilspisser), blant store og ugjennomsiktige oocytter i vitellogenese eller i sluttmodning (siste stadiet før ovulasjon, se Figur 24). Gonaden ser granulert ut med mye vaskularisering.

GSI intervall: 11,80 til 21,26 (n=7, gjennomsnitt=15,84)

Figuren viser to fotografier av en hunntorsk som er åpnet ventralt og på siden, slik at organene i bukhulen, spesielt eggstokken, er synlige. Eggstokken opptar mesteparten av plassen i bukhulen. De to andre bildene viser den samme eggstokken i ulike forstørrelser. Fargen på gonadene varierer fra oransje til lys rosa. Oocytter er tydelig synlige, og enkelte transparente, hydrerte oocytter kan observeres i gonadene.
Figur 11: Hunntorsk i begynnelsen av gytesesongen. (A) Fisk åpen - sett fra siden, (B) Fisk åpen – sett fra ventral/bukside, (C) gonader utenfor fisk – sett fra dorsal/ryggside, (D) forstørrelse av rognsekken, høyre side, med hyaline oocytter (svarte pilspisser).

 

Figuren viser fire fotografier av eggstokkene i ulike forstørrelser. Oocytter er tydelig synlige, og enkelte transparente, hydrerte oocytter kan observeres i gonadene.
Figur 12 : Hunntorsk i begynnelsen av gytesesongen. (A), (C) og (D) gonader utenfor fisk – sett fra dorsal/ryggside, (B) forstørrelse av rognsekken i panel (A). De svarte pilspissene indikerer hyaline oocytter.

3.5.2 - 3.b Stadium: Gytende hunntorsk – hovedgyteperiode

Gonadene er svært store og opptar mesteparten av plassen i bukhulen (se Figur 13A og B). Gonadens farge varierer fra oransje, lys rosa, rosa til rødlig. Hyaline oocytter observeres gjennom hele gonaden (se Figur 13C og D, svarte pilspisser, Figur 14, og Figur 25A og B). Rognsekkene ser granulerte ut og det er mye vaskularisering.

Figuren viser to fotografier av en hunntorsk som er åpnet ventralt og på siden, slik at organene i bukhulen, spesielt eggstokken, er synlige. Eggstokken opptar mesteparten av plassen i bukhulen. De to andre bildene viser den samme eggstokken i ulike forstørrelser. Gjennom hele gonaden observeres hydrerte oocytter. Eggstokken fremstår granulert med rikelig vaskularisering.
Figur 13 : Hunntorsk i gytesesong. (A) Fisk åpen - sett fra siden, (B) Fisk åpen – sett fra ventral/bukside, (C) gonader utenfor fisk – sett fra ventral/bukside, (D) forstørrelse av rognsekken, venstre side, med hyaline oocytter (svarte pilspisser).

Gonadene er rennende. Ved stryking av fisken kan det komme ut noen egg (Figur 13A). GSI minker gradvis utover gytingen.

GSI intervall: 6,86 til 27,14 (n=24, gjennomsnitt=18,54)

Figuren viser tre fotografier av eeggstokkene i ulike forstørrelser. Gjennom hele gonaden observeres hydrerte oocytter. Eggstokken fremstår granulert med rikelig vaskularisering.
Figur 14 : Hunntorsk i gytesesong. Gonader utenfor fisk.

3.5.3 - 3. Stadium: Gytende hanntorsk

I gytende hanntorsk er gonadene svært store og opptar mesteparten av plassen i bukhulen (Figur 15A og B). Lobene er fyldige, hvite og ugjennomsiktige. Sædlederne er fulle av melke (Figur 16B og C), som renner ut ved press på fiskens bukside. GSI minker gradvis utover gytingen og testes krymper mot ryggsiden av bukhulen (Figur 17). Ved slutten av gytesesongen viser testes utspilte sædledere som inneholder melke (Figur 17B og C) og flate lober (Figur 17 C).

GSI intervall: 0,73 til 14,95 (n=55, gjennomsnitt=6,53)

Figuren viser to fotografier av en hanntorsk som er åpnet ventralt og på siden, slik at organene i bukhulen, spesielt testiklene, er synlige. Testes opptar mesteparten av plassen i bukhulen. De to andre bildene viser testes i ulike forstørrelser. Lobene er fyldige, hvite og ugjennomsiktige, og sædlederne er fylt med melke.
Figur 15 : Hanntorsk i gytesesong. (A) Fisk åpen - sett fra siden, (B) Fisk åpen – sett fra ventral/bukside, (C) og (D) gonader utenfor fisk.

 

Figuren viser et fotografi av en hanntorsk som er åpnet ventralt og på siden, slik at organene i bukhulen, spesielt testes, er synlige. Testes opptar mesteparten av plassen i bukhulen. De to andre bildene viser testes i ulike forstørrelser. Lobene er fyldige, hvite og ugjennomsiktige, og sædlederne er fylt med melke.
Figur 16 : Hanntorsk i gytesesong. (A) Fisk åpen - sett fra siden, (B) og (C) gonader utenfor fisk. De svarte pilene indikerer sædlederne fulle av melke.

 

Figuren viser et fotografi av en hanntorsk som er åpnet ventralt og på siden, slik at organene i bukhulen i slutten av gytesesong, spesielt testes, er synlige. De to andre bildene viser testes i ulike forstørrelser. Lobene er flate, hvite og ugjennomsiktige, og sædlederne er fylt med melke og utspilte.
Figur 17 : Hanntorsk i slutten av gytesesong. (A) Fisk åpen - sett fra siden, (B) og (C) gonader utenfor fisk. De svarte pilene indikerer de utspilte sædlederne.

3.6 - Oppdrettstorsk Utgytt/Hvilende

3.6.1 - 4. Stadium: Utgytt hunntorsk

Gonadene er lokalisert i den bakre delen av bukhulen (Figur 18A og B, svarte piler) og viser hvitaktig, gråaktig til lys rosa farge (Figur 18 og Figur 19). De er små og slappe (Figur 18 A) og kan være blodsprengte. Ovariene har tykke vegger. Hvite oocytter i atresi (oocytter som tilbakedannes) kan observeres. Regenerering tar til, og gonadene blir noe større og fyldigere enn i stadium 1 (umoden). Det er ingen synlige egg.

Figuren viser to fotografier av en hunntorsk som er åpnet ventralt og på siden, slik at organene i bukhulen, spesielt eggstokken som ligger langs svømmeblæren, er synlige. De to andre bildene viser eggstokker. Eggstokken har tykke vegger og en hvitaktig, gråaktig til lys rosa farge.
Figur 18 : Utgytt/hvilende hunntorsk. (A) og (B) Fisk åpen – sett fra siden med gonadene (svarte piler), (C)-(D) gonadene utenfor fisk – sett fra dorsal/ryggside.

GSI intervall: 1,40 til 2,73 (n=7, gjennomsnitt=1,97)

Figuren viser fire fotografier av eggstokker hos utgytt hunntorsk. Eggstokken har tykke vegger og en hvitaktig, gråaktig til lys rosa farge.
Figur 19 : Utgytt/hvilende hunntorsk. Gonadene utenfor fisk – (A), (B) og (C) sett fra dorsal/ryggside, (D) sett fra ventral side.

3.6.2 - 4. Stadium: Utgytt hanntorsk

Gonadene er små, de ligger langs svømmeblæren (Figur 20A, svart pil), lobene er tomme og kan være grå (Figur 20A) til rødlig (Figur 20B-C). Det kan være spor av melke. Regenerering tar til, gonadene er noe større og fyldigere enn stadium 1 (umoden). På grunn av tidligere hevelse av den, kan sædledere se utspilt ut (Figur 20C, svart pil).

GSI intervall: 0,32 til 1,48 (n=7, gjennomsnitt

Figuren viser et fotografi av en hanntorsk som er åpnet ventralt og på siden, slik at organene i bukhulen, spesielt testes som ligger langs svømmeblæren, er synlige. De to andre fotografier viser testes med tomme og rødlige lobber.
Figur 20 : Utgytt hanntorsk. (A) Fisk åpen – sett fra siden med gonadene (svarte piler), (B) og (C) testes utenfor fisk. Den svarte pilen i (C) indikerer de utspilte sædlederne.

 

 

4. Modningsgrad hos torsk – Mikroskopisk vurdering

4.1 - Oppdrettstorsk Histologiske stadier

4.1.1 - Stadium: Umoden hunntorsk

Figuren viser tre bilder av histologiske snitt av gonadevev fra en hunntorsk i ulike forstørrelser. Vevsanalysen indikerer at fisken er umoden, da det hovedsakelig observeres previtellogene oocytter.
Figur 21 : Umoden hunntorsk, mikroskopi. Previtellogene oocytter observeres på bildene. Målestokk - A: 500 µm, B: 250 µm, C: 100 µm.

4.1.2 - 2.a Stadium: Modnende hunntorsk – tidlig

Figuren viser tre bilder av histologiske snitt av gonadevev fra en hunntorsk i ulike forstørrelser. I tillegg til previtellogene oocytter observeres oocytter med kortikale alveoler. Dette indikerer at fisken er i et tidlig modningsstadium.
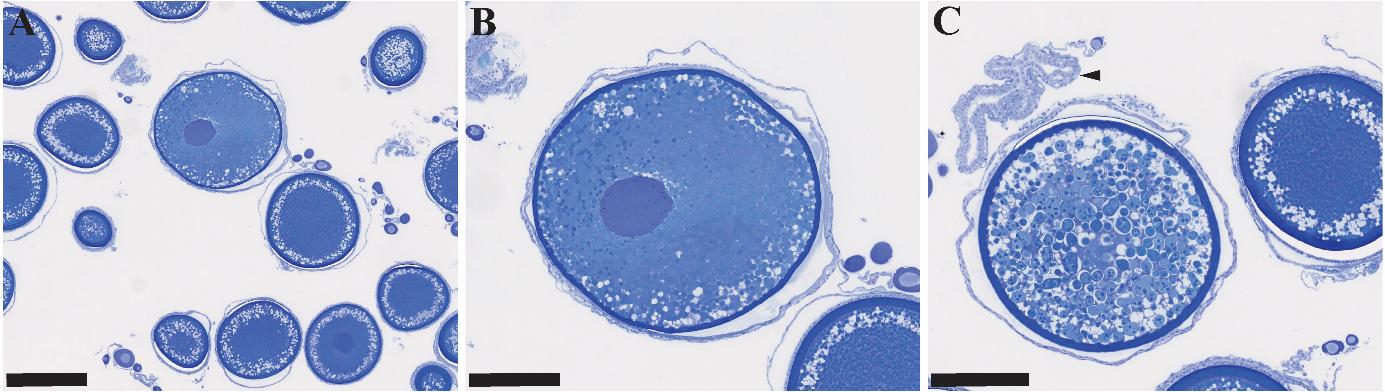
Figur 22 : Modnende (tidlig stadium) hunntorsk, mikroskopi. Oocytter i begynnelsen av vitellogenese viser kortikale alveoler (Figur 22, svarte pilspisser). Målestokk - A: 500 µm, B: 250 µm, C: 100 µm.

4.1.3 - 2.b Stadium: Modnende hunntorsk – avansert

Figuren viser tre bilder av histologiske snitt av gonadevev fra en hunntorsk i ulike forstørrelser. Det mest avanserte oocyttstadiet som observeres, består av oocytter med eggeplommegranuler i cytoplasmaet. Dette indikerer at fisken er i et avansert modningsstadium.
Figur 23 : Modnende (avansert stadium) torsk, mikroskopi. Oocytter i avansert vitellogenese viser eggeplommegranulat i cytoplasmaet og en sentral kjerne. Målestokk - A: 500 µm, B: 250 µm, C: 100 µm.

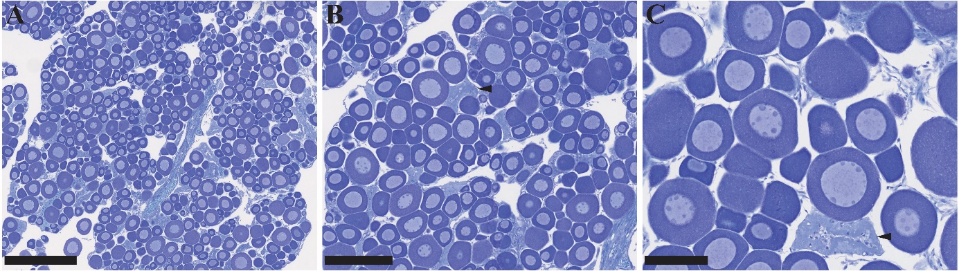
4.1.4 - 3.a Stadium: Gytende hunntorsk – tidlig

Figuren viser tre bilder av histologiske snitt av gonadevev fra en hunntorsk i ulike forstørrelser. Det mest avanserte oocyttstadiet som observeres, viser oocytter der kjernen har begynt å bevege seg mot periferien. Dette indikerer at fisken er i en tidlig fase av gyting.
Figur 24 : Gytende hunntorsk (initiering av gytesesong), mikroskopi. Noen oocytter er i sluttmodning med kjernen som har begynt å bevege seg mot oocyttens periferi (den animalske pol) (Figur 24A og B). Noen få follikler etter ovulering (Figur 24, svarte pilspisser) observeres på bildet. Målestokk - A: 500 µm, B: 250 µm, C: 250 µm.

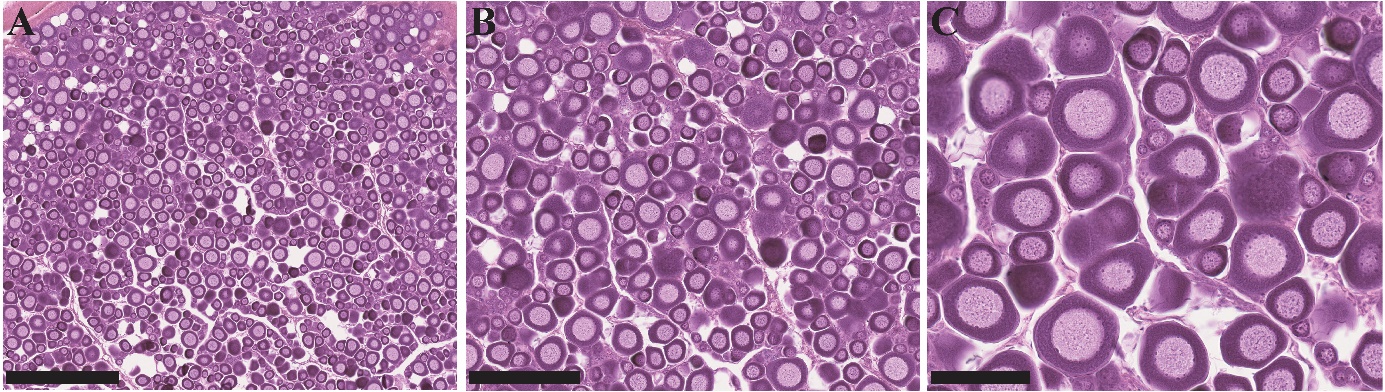
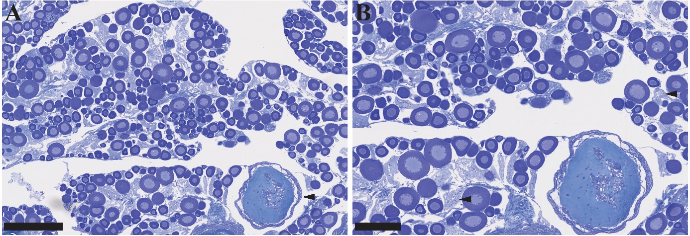
4.1.5 - 3.b Stadium: Gytende hunntorsk – hovedgyteperiode

Figuren viser tre bilder av histologiske snitt av gonadevev fra en hunntorsk i ulike forstørrelser. Bildene viser store hydrerte oocytter og follikler etter ovulering. Fisken gyter.
Figur 25 : Gytende hunntorsk, mikroskopi. Hyaline oocytter (Figur 25A og B, HO) og follikler etter ovulering (Figur 25A og C, svarte pilspisser) observeres på bildene. Målestokk - A: 500 µm, B: 250 µm, C: 100 µm.

4.1.6 - 4. Stadium: Utgytt hunntorsk

Figuren viser to bilder av histologiske snitt av gonadevev fra en hunntorsk i ulike forstørrelser. Bildene viser previtellogene oocytter, inkludert noen oocytter i atresi. I tillegg observeres mange follikler etter ovulering. Dette indikerer at fisken er i ferd med å avslutte gytingen.
Figur 26 : Utgytt hunntorsk, slutten av gytesesong, mikroskopi. Previtellogene oocytter observeres på bildene med noen oocytter i atresi som ikke klarte å utvikle seg til slutten av gametogenesen og blir tilbakedannet. I tillegg er det mange follikler etter ovulering (Figur 26B, svarte pilspisser), som er bevis på nylig gyting. Målestokk - A: 500 µm, B: 250 µm.

4.1.7 - 4. Stadium: Utgytt hunntorsk – hvilende

Figuren viser tre bilder av histologiske snitt av gonadevev fra en hunntorsk i ulike forstørrelser. Bildene viser previtellogene oocytter og enkelte follikler etter ovulering.
Figur 27 : Utgytt hunntorsk – hvilende, mikroskopi. Previtellogene oocytter observeres på bildene, i tillegg til noen follikler etter ovulering (Figur 27C, svart pilspiss), som er bevis på nylig egg gyting. Målestokk - A: 500 µm, B: 250 µm, C: 100 µm.

 


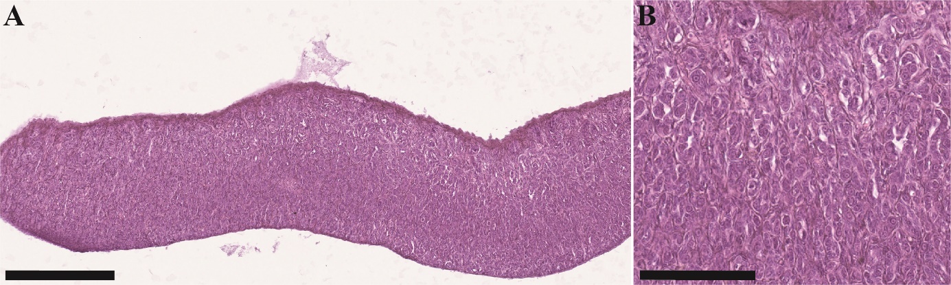
4.1.8 - 1.Stadium: Umoden hanntorsk

Figuren viser to bilder av histologiske snitt av gonadevev fra en hanntorsk i ulike forstørrelser. Hos denne umodne fisken observeres spermatogonier.
Figur 28 : Umoden hanntorsk, mikroskopi. Spermatogonia er karakteristiske for denne fasen. Målestokk - A: 250 µm, B: 100 µm.

4.1.9 - 2.Stadium: Modnende hanntorsk

Figuren viser to bilder av histologiske snitt av gonadevev fra en hanntorsk i ulike forstørrelser. Bildene viser forskjellige stadier av modning av kjønnscellene, med de minst utviklede cellene i periferien av lobben og de mest utviklede nær efferentkanalen. I de mest avanserte stadiene observeres spermatozoer.
Figur 29 : Modnende hanntorsk, mikroskopi. Forskjellige stadier av modning av kjønnscellene er observert på bildene med de mindre avanserte i periferien av lappen og de mest avanserte nær efferentkanalen. Blant de mest avanserte stadiene observeres spermatozoer (Figur 29 A, svart pilspiss) og langstrakte spermatider (Figur 29 B, svart pilspiss). Målestokk - A: 250 µm, B: 100 µm.

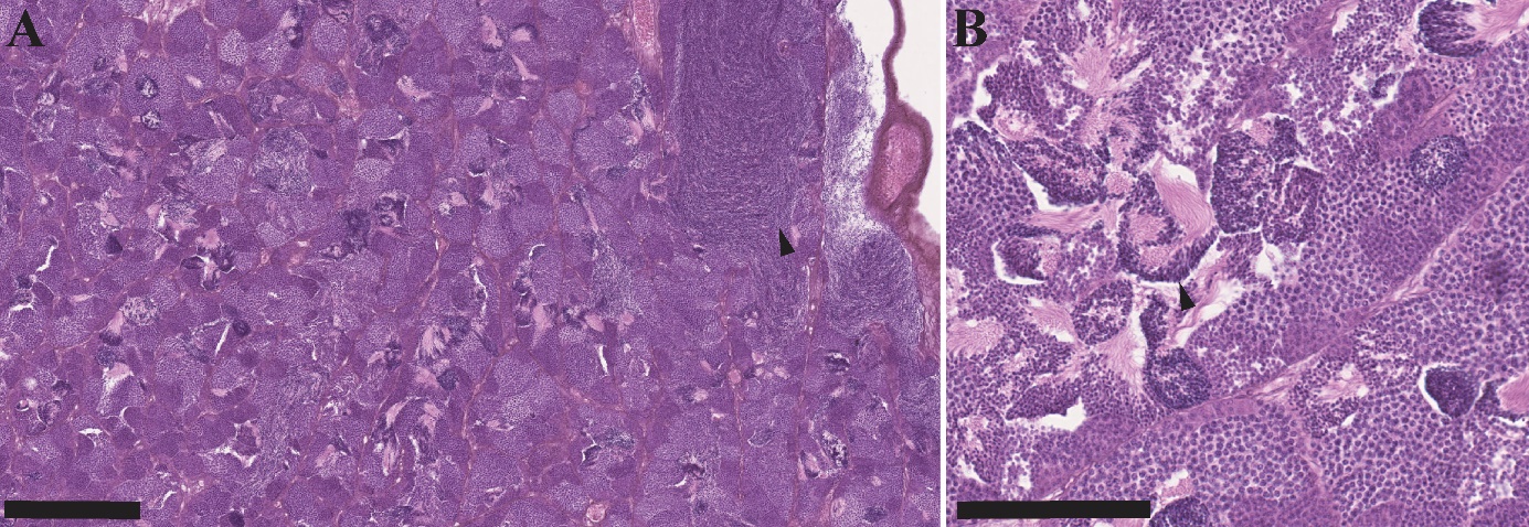
4.1.10 - 3.Stadium: Gytende hanntorsk

Figuren viser fire bilder av histologiske snitt av gonadevev fra en hanntorsk, tatt fra ulike steder i vevet og i forskjellige forstørrelser. Bildene viser hovedsakelig spermatozoer, men også fagocyterte frie spermatozoer og tykke interlobulære vegger. Fisken er klassifisert i stadium 3: gytende hanntorsk.
Figur 30 : Gytende hanntorsk, mikroskopi. Gonader består hovedsakelig av spermatozoer (Figur 30). Interlobulære vegger (Figur 30C, svarte pilspisser) og fagocyterte frie spermatozoer (Figur 30D, svarte pilspisser) observeres på bildene. Målestokk - A: 1 mm, B: 250 µm, C: 500 µm, D: 50 µm.

4.1.11 - 4.Stadium: Utgytt hanntorsk

Figuren viser tre bilder av histologiske snitt av gonadevev fra en hanntorsk i forskjellige forstørrelser. Spermatogonier er karakteristiske for dette stadiet, men fagocyterte frie spermatozoer er også observert. Dette fører til konklusjonen at det dreier seg om en utgytt hanntorsk.
Figur 31 : Utgytt hanntorsk, mikroskopi. Spermatogonia er karakteristiske for denne fasen (Figur 31A og B). Fagocyterte frie spermatozoer (Figur 31C) observeres på bildene Målestokk - A: 250 µm, B: 250 µm, C: 100 µm.

 

 

5. Vurdering av modningsgrad hos oppdrettstorsk - Vintersesong 2023-2024

I dette kapittelet omfatter fiskedata kun informasjon mottatt fra de fire virksomhetene og analysert av Havforskningsinstituttet (HI) som beskrevet i 2. Innledning og metode.

5.1 - Oppsummering av mottatte data

5.1.1 - Generelle resultater

Totalt ble 3059 bilder gjennomgått av HI og modningsstadiet vurdert i oppdrettstorsk som ble prøvetatt mellom desember 2023 og slutten av juli 2024 i merd eller slakteri. I dette datasettet varierte GSI fra 0,00 til 27,14, og alle modningsstadier var representert. Det ble identifisert totalt 1605 hunntorsk og 1454 hanntorsk. Når det gjelder bildekvalitet, fant vi 59 bilder med svært lav kvalitet, noe som forhindret videre analyse. Vi fant også 1241 bilder med middels kvalitet, som riktignok kunne analyseres, men der detaljene var uklare, noe som førte til usikkerhet i vurderingen (for eksempel å skille avansert modnende fra gytende hunner). Middels kvalitet kunne være årsaket av lav oppløsning på bildet, bilde tatt for langt fra gonadene, gonadene er ikke godt synlige (delvis under fisken for eksempel). Flertallet av bildene (1759) ble vurdert til å ha høy kvalitet. En del bilder (543) ble ikke vurdert av næringsaktørene.

Modningsgrad i merd og slakteri

Andelen umoden fisk varierer mellom 0,0 % og 52,0 %, men er generelt relativt lav (Tabell 3, Figur 32). Den plutselige økningen i andel umoden fisk i juli på slakteriet (rød linje, Figur 32B) kan skyldes vanskelighetene med å skille utgytt fisk fra umoden fisk som også tidligere nevnt i denne rapporten.

Andelen gytende eller utgytt/hvilende fisk varierer mellom 3,5 % og 43,3 %, selv om antall undersøkte fisk er svært lavt i sistnevnte tilfelle sammenlignet med de andre prøvetakingene, noe som kan introdusere en skjevhet i resultatene. Andelen gytende eller utgytt/hvilende fisk er høyere på slakteriet enn i merdene i sjø, men andelen av disse fiskene i merdene øker i mai og juni (Tabell 3). I alle prøveuttak bortsett fra desember, juni og juli, var andelen gytende og utgytt/hvilende fisk stabil på slakteriet (ca. 20 %).


Måned Antall prøver analysert Prosent umoden Prosent gytende/utgytt
Desember merd i sjø 40 IK IK
Desember slakteri 50 0.0 % 6 %
Januar merd i sjø 139 11.5 % 3.6 %
Januar slakteri 200 19.0 % 20.5 %
Februar merd i sjø 260 6,2 % 3.5 %
Februar slakteri 150 3.3 % 21.3 %
Mars merd i sjø 440 8.2 % 6,4 %
Mars slakteri 200 1.0 % 20.5 %
April merd i sjø 470 4.3 % 6,8 %
April slakteri 150 0.0 % 20.0 %
Mai merd i sjø 276 3,6 % 11,2 %
Mai slakteri 392 2,6 % 19,4 %
Juni merd i sjø 220 1,8 % 26,8 %
Juni slakteri 81 11,1 % 28,4 %
Juli merd i sjø 30 0.0 % 43,3 %
Juli slakteri 50 52,0 % 14.0 %

Tabell 3 : Andelen umoden fisk og gytende/utgytt fisk i antall prøver analysert ved HI. IK: ikke tilgjengelig.

 

Figuren viser en graf som illustrerer andelen umoden og gytende/utgytt fisk enten på slakteriet eller merder.
Figur 32 : Andelen umoden og gytende/utgytt torsk i merd (a) og på slakteriet (b) i prøver analysert ved HI basert på bildekarakterisering. For å se detaljerte tall, se tabell 3. Den grønne linjen representerer umoden fisk, og den røde linjen representerer gytende/utgytt fisk.

 

5.2 - Vurdering av treffprosent hos næringsaktørene

Vurderingen av modningsgrad hos oppdrettstorsk basert på bildekategorisering resulterte i 68,1% av samsvar modningsstadium mellom HI og næringsaktørene. Men i noen tilfeller (15,8 %) var vurderingen av modningsstadiet ikke mulig, noe som resulterte i stadiet «Usikker». Når stadium «Usikker» fjernes fra datasett er resultatene:

  • enighet med næringsaktørene=71,7 %,

  • uenighet=28,3 %.

For de 28,3 % tilfellene med uenighet kan vi oppsummere egenskapene til fisken og bildene i Tabell 4 . Alle lavkvalitetsbildene førte til uenighet fordi de ble vurdert av HI som «Usikker» mht modningsstadium. I tillegg var det en feil i kjønnsidentifiseringen i 0,5 % av tilfellene.


    Antall Prosentandel
Kjønn Hann 278 41,6 %
Hunn 390 58,4 %
Kvalitet Høy 427 63,9 %
Middels 241 30,4 %
Lav 0 IK
Modningsstadium Umoden 359 53,7 %
Modnende1 59 8,8 %
Modnende tidlig 164 24,6 %
Modnende avansert 24 3,6 %
Gytende1 25 3,7 %
Gytende tidlig 10 1,5 %
Gytende Hovedgyteperiode 0 0,0 %
Utgytt 27 4,0 %
Usikker 125 15,8 %
Torskeoppdrett 1 237 35,5 %*
2 36 5,4 %*
3 355 53,1 %*
4 40 6,0 %*

Tabell 4: Oppsummering av antall individer (og tilsvarende prosent) hvor vurdering av modningsstadium var forskjellig mellom HI og næringsaktørene/torskeoppdrett (n total=668, bortsett fra prosentandel av Usikker hvor n=793). Flere variabler ble undersøkt som kjønn, kvalitet på bildene, modningsstadium og oppdrett. Antall for modningsstadier tilsvarer stadier vurdert av næringsaktørene/torskeoppdrett hvor HI sa noe annet. * Prosentandel er beregnet på totalt antall bilder som HI og oppdrett ikke er enige om uten «Usikker». For å finne andelen bilder som HI og oppdrett ikke er enige om innenfor hvert oppdrett, se tabell 5. 1 Gjelder kun hanner. IK: ikke tilgjengelig.

Imidlertid var antallet bilder som skulle analyseres forskjellig mellom de ulike næringsaktørene. Hvis vi bruker det totale antallet bilder som hver oppdrettsaktør har sendt, får vi følgende tall:

  Prosentandel av uenighet
Torskeoppdrett 1 21,0 %
2 13,7 %
3 40,5 %
4 17,4 %

Tabell 5 : Andelen bilder som HI og oppdrett ikke er enige om innenfor hvert oppdrett

Vi kan se modningsstadiene med uenighet og hva som ble vurdert på næringsaktørenes side i detalj i Tabell 6.


Vurdering fra Havforskningsinstituttet
  Stadier 1. 2.* 2.a 2.b 3.* 3.a 3.b 4.
Vurdering fra Torskeoppdrett 1. XXX 39.6 % 39,8 % 0 1,7 % 0 0 18,9 %
2.* 1,7 % XXX 3,4 % 0 78,0 % 0 0 16,9 %
2.a 4,3 % 0 XXX 82,3 % 0 0,01 % 0 0,1 %
2.b 0 0 25,0 % XXX 4,2 66,7 % 4,2 % 0
3.* 0 92,0 % 0 0 XXX 0 4.0 % 4.0 %
3.a 0 0 0 30,0 % 0 XXX 70,0 % 0
3.b 0 0 0 0 0 0 XXX 0
4. 0 51,9 % 3,7 % 37,0 % 3,7 % 0 3,7 % XXX

Tabell 6 : Prosentandel av alternative modningsstadier identifisert av HI ved uenighet med torskeoppdretterne. Denne tabellen viser prosentfordelingen av modningsstadier (fra 1 til 4) som HI har vurdert for de samme fiskene når vurderingen deres er forskjellig fra torskeoppdretternes vurdering. For eksempel, når torskeoppdretterne vurderer en fisk til å være på stadium 1, og HI vurderer noe annet kategoriserer HI den som stadium 2 i 39,6 % av tilfellene, og som stadium 3 i 1,7 % av tilfellene, osv. Tall er i prosent. Den høyeste prosentandelen er markert med grønt.1. Umoden, 2. Modnende, 2.a Modnende (tidlig), 2.b Modnende (avansert), 3. Gytende, 3.a Gytende tidlig, 3.b Gytende hovedgytesesong, 4. Utgytt/hvilende. *Gjelder kun hanner.

Det ser ut til at for hannene, som næringsaktørene vurderte som 1. Umoden, ble fisken vurdert som 2. Modnende av HI i 39,6 % av tilfellene. Vi observerer den samme tendensen hos hunnfisk som ble vurdert som 1. Umoden av næringsaktørene, men som HI vurderte som 2.a Modnende (tidlig) av HI i 39,8 % av tilfellene. Dette tyder på en forvirring mellom modningsstadiene 1 og 2/2a. I begynnelsen av modningen kan det være vanskelig å skille mellom umoden og modnende fisk, særlig hos hunner. Enkelte gonader er i tidlig utviklingsfase og kan derfor se noe mer utviklet ut enn gonadene til umoden fisk. Vi anbefaler å se på å se nøye på de nye bildene av modnende (tidlig) hunntorsk lagt til protokollen.

Det er også utfordrende å skille mellom de ulike understadiene (a og b) hos modnende og gytende hunner. For de modnende hunnene må vi ta hensyn til synligheten hos oocyttene. Hvis oocyttene er synlige, indikerer dette avansert modning. For gytende hunner, kan fordelingen og mengden av hydrerte oocytter gi informasjon som kan hjelpe til med å skille mellom stadium 3.a og 3.b.

En stor andel av stadiet 3.a Gytende tidlig hos HI ble vurdert som 2.b Modnende (avansert) av torskeoppdrett. Her er detaljer avgjørende, da observasjon av få hydrerte oocytter indikerer gytende hunner.

En stor utfordring er å identifisere utgytt eller hvilende fisk, som ofte er svært lik umoden fisk. Enkelte detaljer kan indikere en utgytt hunnfisk, som for eksempel hvite oocytter i atresi, tykke vegger i rognsekken, eller en grålig farge på gonadene. Imidlertid kan de hvite oocyttene også observeres hos tidlig modnende hunner som bestemt seg for å hoppe over gyting. Vi foreslår å bruke en kombinasjon av flere indikatorer som er nevnt tidligere for å identifisere en utgytt fisk. Hos hannfisk kan man merke spor av melke og sædledere som ser utspilte ut.

Nye bilder er lagt til protokollen for å gi flere detaljer om de forvirrende stadiene (se kapittel 3. Modningsgrad hos torsk – Makroskopisk – Visuell vurdering ).

5.3 - GSI-verdier og visuell vurdering av modningsgrad hos oppdrettstorsk

Følgende resultater stammer fra kategoriseringen av de forskjellige modningsstadiene utført av HI.

5.3.1 - Generelle resultater

Stor variasjon i GSI ble observert mellom de forskjellige modningsstadiene hos begge kjønn (Figur 33 og Figur 34). GSI øker med fiskens modning, fra umodne til gytende hunntorsk for så å falle i stadium utgytt/hvilende (Figur 33). GSI for avanserte modnende torsk, gytetorsk i begynnelsen og hovedperioden av gytesesongen er ikke vesentlig forskjellig. Det samme gjelder de tidlige stadiene av modning og utgytt fisk. Som nevnt innledningsvis i dette avsnittet, observeres det imidlertid mye variasjon i GSI for disse stadiene med stor overlapp mellom stadier. For eksempel, kan en hunntorsk med en GSI mellom 9 og 10, være enten modnende avansert, gytende tidlig, eller utgytt/hvilende.

 

Figuren viser en boksplott-graf som illustrerer gonadosomatisk indeks (GSI) hos hunntorsk ved ulike modningsstadier.
Figur 33 : Gonadosomatisk index (GSI, %) i ulike modningsstadier hos hunner. Boksplottet viser 10. (whisker), 25. (boks), 75. (boks) og 90. persentil (whisker), gjennomsnitt (svart symbol) og median (tykk linje) (boks), og individer (grå sirkler).

Det samme mønsteret er observert hos hanner, med økende GSI i takt med fiskens modningsprosess (Figur 34) frem til slutten av gytesesongen, hvor GSI synker drastisk. Umodne fisk har en svært lav GSI, mens modnende og gytende viser mye variasjon med stor overlapp mellom disse stadiene.

Figuren viser en boksplott-graf som illustrerer gonadosomatisk indeks (GSI) hos hanntorsk ved ulike modningsstadier.
Figur 34 : Gonadosomatisk index (GSI, %) i ulike modningsstadier hos hanner. Boksplottet viser 10. (whisker), 25. (boks), 75. (boks) og 90. persentil (whisker), gjennomsnitt (svart symbol) og median (tykk linje) (boks), og individer (grå sirkler).

 

Når man ser på forskjellene i GSI mellom fisk som er prøvetatt på slakteriet og i merder, er denne svært lik mellom de ulike modningsstadiene hos både hanner og hunner (Figur 35).

Figuren viser to boksplott-grafer som illustrerer gonadosomatisk indeks (GSI) hos hunntorsk og hanntorsk ved ulike modningsstadier, fordelt på enten slakteriet eller merder.
Figur 35 : Gonadosomatisk index (GSI, %) i ulike modningsstadier hos hunner (a) og (b) hanner samplet på slakteriet (rosa) eller i merd (blå). Boksplottet viser 10. (whisker), 25. (boks), 75. (boks) og 90. persentil (whisker), gjennomsnitt (svart symbol) og median (tykk linje) (boks), og individer (fargede sirkler og trekanter).

5.3.2 - GSI per måned

5.3.2.1 - GSI hos hunntorsk

Resultater for GSI hos hunntorsk per måned er presentert i Figur 36. GSI per måned hos hanntorsk viser samme trend som den globale GSI (Figur 34), med en økning fra Umoden, hvor GSI er svært lavt, til en topp under gyting og deretter et fall etter gyting. I desember ble bare tre av seks stadier observert (modnende tidlig og avansert, gytende tidlig), men antall fisk var lavt (n=28). I juli var kun en gytende (hovedgytesesong) hunntorsk observert.

Figuren viser en boksplott-graf som illustrerer gonadosomatisk indeks (GSI) hos hunntorsk ved ulike modningsstadier fordelt på måneder.
Figur 36 : Gonadosomatisk index (GSI, %) i ulike modningsstadier hos hunner. Boksplottet viser 10. (whisker), 25. (boks), 75. (boks) og 90. persentil (whisker), gjennomsnitt (svart symbol) og median (tykk linje) (boks), og individer (fargede sirkler).1. Umoden, 2.a Modnende (tidlig), 2.b Modnende (avansert), 3.a Gytende tidlig, 3.b Gytende hovedgytesesong, 4. Utgytt/hvilende, 5. Usikker.

5.3.2.2 - GSI hos hanntorsk

Resultater for GSI hos hanntorsk per måned er presentert i Figur 37. GSI per måned hos hanntorsk viser samme trend som den globale GSI (Figur 34), med en økning fra stadiet Umoden, hvor GSI er svært lavt, til en topp under gyting og deretter et fall etter gyting. I desember ble bare to av fire stadier observert. I tillegg ser det ut til at GSI for fisk kategorisert som modnende også øker gjennom året, noe som betyr at modningen blir mer avansert over tid.

Figuren viser en boksplott-graf som illustrerer gonadosomatisk indeks (GSI) hos hanntorsk ved ulike modningsstadier fordelt på måneder.
Figur 37 : Gonadosomatisk index (GSI, %) i ulike modningsstadier hos hanner. Boksplottet viser 10. (whisker), 25. (boks), 75. (boks) og 90. persentil (whisker), gjennomsnitt (svart symbol) og median (tykk linje) (boks), og individer (fargede sirkler).1. Umoden, 2. Modnende, 3. Gytende, 4. Utgytt/hvilende, 5. Usikker.

5.4 - Fiskestørrelse hos hunner og hanner ved modning

Fiskestørrelsen hos torsk er representert ved vekt i gram (g). Umodne hunntorsk er mindre (gjennomsnitt=2868 g) enn torsk i alle de andre modningsstadiene (Figur 38). Avansert modnende fisk er større enn tidlig modnende fisk og utgytt/hvilende fisk (henholdsvis gjennomsnitt=4143g, 3725g og 3769g). Gytetorsken har en tilsvarende størrelse i begynnelsen og i hovedperioden av gytesesongen (gjennomsnitt=3768g and 3882g). Imidlertid er antallet gytefisk mye lavere enn antallet modnende fisk.

Figuren viser en boksplott-graf som illustrerer vekten til hunntorsk ved ulike modningsstadier.
Figur 38 : Vekt (i g) i ulike modningsstadier hos hunner. Boksplottet viser 10. (whisker), 25. (boks), 75. (boks) og 90. persentil (whisker), gjennomsnitt (svart symbol) og median (tykk linje) (boks), og individer (fargede sirkler).1. Umoden, 2.a Modnende (tidlig), 2.b Modnende (avansert), 3.a Gytende tidlig, 3.b Gytende hovedgytesesong, 4. Utgytt/hvilende, 5. Usikker. Forskjeller i fiskevekt mellom modningsstadier testet med en Kruskal–Wallis-test og Dunns multiple sammenligningstest (P <0.05).

Umodne hanntorsk er mindre (gjennomsnitt=2919 g) enn torsk i de fleste modningsstadiene (Figur 39). Modnende fisk er større enn utgytt/hvilende fisk (henholdsvis gjennomsnitt=3614g og 3365g). Gytetorskens størrelse ligger mellom modnende fisk og utgytt/hvilende fisk (gjennomsnitt=3451g). Datasettet inkluderer flere modnende fisk enn andre modningsstadier hos hannene.

Ekstremverdiene i vekt i dette datasettet, hanner og hunner kombinert, finnes hos hanner, hvor den minste fisken veier 652g og den største fisken 8020g (Figur 39).


Figuren viser en boksplott-graf som illustrerer vekten til hanntorsk ved ulike modningsstadier.
Figur 39 : Vekt (i g) i ulike modningsstadier hos hanner. Boksplottet viser 10. (whisker), 25. (boks), 75. (boks) og 90. persentil (whisker), gjennomsnitt (svart symbol) og median (tykk linje) (boks), og individer (fargede sirkler).1. Umoden, 2.a Modnende (tidlig), 2.b Modnende (avansert), 3.a Gytende tidlig, 3.b Gytende hovedgytesesong, 4. Utgytt/hvilende, 5. Usikker. Forskjeller i fiskevekt mellom modningsstadier testet med en Kruskal–Wallis-test og Dunns multiple sammenligningstest (P <.05).

5.5 - Modning hos de to avlslinjene

I datasett mottatt av HI ble det brukt to forskjellige avlslinjer for fisk fra næringsaktørene: Nofima (28,7 % av bildene) og Havlandet Marin Yngel AS (71,3 % av bildene). Alle modningsstadier var representert i begge to avlslinjene og det ser ut til at modning finner sted i begge. Sammenligning av modning mellom de to avlslinjene er imidlertid utfordrende på grunn av mange andre faktorer som varierer mellom fiskegruppene og oppdretterne, men også innen samme oppdrett og som kan påvirke modningsprosessen. For eksempel kan lysbehandling, antall vintere i sjøen, fôr og opplevd temperatur spille inn. For å kunne sammenligne avlslinjene på en pålitelig måte med hensyn til alder ved kjønnsmodning og andel fisk som gjennomgår denne prosessen, foreslår vi å teste de to linjene under kontrollerte forhold og med lignende parametere for lys, fôr og temperatur.

5.6 - Konklusjoner og anbefalinger

5.6.1 - Konklusjoner

Mengden data samlet inn av næringsaktørene var betydelig, og inkluderte detaljerte biologiske data. Likevel kan kvaliteten på bildene som ble mottatt, samt prosessen for overføring av disse dataene, forbedres. For detaljer, se våre anbefalinger i kapittel 2.3. Instruksjoner for å ta bilde for visuell vurdering av en tredjepart og 5.6.2. Anbefalinger.

Til sammen utgjør umodne og tidlig modnende hunntorsk 61 % av hunntorsken, mens umodne og modnende hanntorsk utgjør 78 % av den totale mengden hanntorsk. Økningen i gytende og utgytt/hvilende fisk mot juni i merd og på slakteriet (Figur 32) kan forklares med bruk av kontinuerlig lys i merdene for å hindre kjønnsmodning. Hos oppdrettstorsk kan imidlertid kontinuerlig lys i merder forsinke kjønnsmodningen med flere måneder (Taranger m.fl., 2006). For å få mer informasjonen om sommergyting hos oppdrettstorsk, se på van der Meeren m. fl., 2024.

Resultatene oppnådd i vintersesongen 2023-2024, da protokollen beskrevet av HI (Alix & Norberg, 2024) ble brukt for første gang av selskapene, understreket behovet for avklaringer i de ulike modenhetsstadiene. Vi kan nevne forvirringen mellom umoden og utgytt torsk, da gonadene virker like i disse to stadiene, og at histologiske analyser kan bidra til å bekrefte det ene eller det andre stadiet.

GSI for de ulike modningsstadiene viser stor variasjon og overlapper mellom stadiene for både hann- og hunnfisk. Å bruke denne enkeltparameteren for å vurdere modningsstadiet hos torsk er derfor ikke gjennomførbart, og vi anbefaler å unngå det. I stedet oppfordres det sterkt til å kombinere GSI med visuell vurdering for en mer presis karakterisering av modenhetsstadiet.

5.6.2 - Anbefalinger

Ytterligere instruksjoner for å forbedre kvaliteten på bildene overføringen av dataene til Havforskningsinstituttet er beskrevet i kapittelet 2.3 Instruksjoner for å ta bilde for visuell vurdering av en tredjepart . Forbedring av bildenes kvalitet kan redusere usikkerheten i vurderingen av modningsstadium og sannsynligvis redusere uenigheten mellom HI og næringsaktørene i de vurderte stadiene.

Vi foreslår at man ikke nøler med å legge til kommentarer når man tar prøver av fisken. For gytende fisk foreslår vi at prøvetakeren legger til kommentarer som "rennende" i dataene når det er tilfelle. Dette vil gjøre det enklere for personer som foretar visuell vurdering av bildene. Vi har funnet noen fisk som ser ut som avansert modnende, men de ble identifisert som gytende fra selskapet. Dette betyr at personen som vurderte modningsstadium på merden eller slakteriet så detaljer som er ikke synlig på bildet.

 

6. Referanser

 

Alix, M., & Norberg, B. (2024). Protokoll for vurdering av modningsgrad hos oppdrettstorsk (2024–8; Rapport fra Havforskningen, p. 33). Havforskningsinstituttet, IMR. https://imr.brage.unit.no/imr-xmlui/handle/11250/3126609

Bucholtz, R., Tomkiewicz, J., Vitale, F., Dalscov, J., Wilhelms, I., Sell, A., Bland, A., Gibb, I., & Power, G. (2007). Manual to determine gonadal maturity of North Sea cod ( Gadus morhua L.) (p. 36) [Report of the Working Group on Maturity Staging of Cod, Whiting, Haddock and Saithe (WKMSCWHS)]. ICES.

SPD gruppen. (2023). Håndbok for prøvetaking av fisk, krepsdyr og andre evertebrater (Håndbok FOU.SPD.HB-01; p. 149). Havforskningsinstituttet, IMR.

Taranger, G. L., Aardal, L., Hansen, T., & Kjesbu, O. S. (2006). Continuous light delays sexual maturation and increases growth of Atlantic cod (Gadus morhua L.) in sea cages. ICES Journal of Marine Science , 63 (2), 365–375. https://doi.org/10.1016/j.icesjms.2005.10.014

Tomkiewicz, J., Tybjerg, L., Holmm, N., Hansen, A., Broberg, C., & Hansen, E. (2002). Manual to determine gonadal maturity of Baltic cod . Danish Institute for Fisheries Research.

Tomkiewicz, J., Tybjerg, L., & Jespersen, A. (2003). Micro- and macroscopic characteristics to stage gonadal maturation of female Baltic cod. Journal of Fish Biology , 62 (2), 253–275. https://doi.org/10.1046/j.1095-8649.2003.00001.x

van der Meeren, T., Alix, M., Asplin, L., & Falkenhaug, T. (2024). Bestilling av forvaltningsråd knyttet til gyting i merd hos oppdrettstorsk ulike deler av året (p. 15). Havforskningsinstituttet, IMR.