Gå til hovedinnhold

Spironucleus-infeksjoner og Spironucleose hos laks – En kunnskapsoppsummering

Forfatter(e): Egil Karlsbakk (HI), Anne Tjessem, Haakon Hansen og Erik Sterud

Sammendrag

Norske laksefisk kan være infisert med tre arter diplomonade flagellater som hører til slekten Spironucleus. Alle artene forekommer i tarmen på de naturlige vertene, men en art, Spironucleus salmonicida kan invadere blodkarsystemet, og kan da forårsake sykdommen systemisk spironucleose. Denne rapporten oppsummerer kunnskapen vår om laksefiskenes Spironucleus arter, med hovedfokus på S. salmonicida.

Spironucleus salmonicida tåler ikke temperaturer over ca. 15°C, og synes å ha en nordlig utbredelse. Flagellater kan smitte fisk i smoltanlegg, hvis villfisken i vannkilden(e) er bærere og desinfeksjonen av inntaksvannet svikter. Smittebærende smolt/postsmolt satt i sjø kan utvikle spironucleose, og kan da starte et utbrudd. Parasitten forårsaker tap både i form av sykdom og dødelighet, og ved å forårsake byller i fisken. Disse byllene kan også opptre i muskulaturen, så smittede fiskegrupper må enten kasseres eller så må alle filéter undersøkes manuelt for lesjoner.

Det foreligger ingen brukbar kjemoterapi. For å unngå sykdom må en unngå å få smitten inn i smoltproduksjonen. Derfor er forebygging ved effektiv og pålitelig desinfeksjon av vannet meget viktig.

1 - Bakgrunn

Alt i 1681, ved noen av de første mikroskop-observasjonene gjort av Antonie van Leeuwenhoek, ble det sett flagellater i menneskelig avføring. Disse var ganske sikkert arten som i dag heter Giardia intestinalis1, en representant for noen flagellater som er dobbelte, dvs. kan tolkes som en sammensmelting av to individer i ett. Derav navnet på gruppen, Diplomonada (dobbeltflagellater) eller Diplozoa (dobbeltdyr).

Siden ble lignende flagellater funnet i råttent vann, og i tarmen på dyr. Den første som fant diplomonader i fisk var trolig Seligo2, som på 1880 tallet fant flagellater i tarmen på regnlaue, en liten karpefisk. I 1920-22 ble den første arten fra laksefisk beskrevet3,4, en art som nå kalles Spironucleus salmonis. Denne har en rekke ganger ført til tarmbetennelse, sykdom og død hos oppdrettede laksefisk i Europa og i Nord Amerika, særlig ved høy temperatur. Den har også forårsaket sykdom hos regnbueaure i oppdrett i Norge 5-7. Denne sykdommen innebærer enorme mengder flagellater inne i tarmen, som blir blødende og ødelagt (katarralsk enteritt).

I 1989 ble det for første gang observert en sykdom på oppdrettslaks i sjøoppdrett, der slike flagellater ble funnet i byller med dødt vev, i lever og nyre5. Byllene inneholdt store mengder flagellater, identifisert som Hexamita salmonis, et tidligere navn på Spironucleus salmonis. Parasitten ble også påvist i blod og dermed i de fleste vev, og i tarmen. Disse sykdomstilfellene var altså i sjøoppdrett og i kaldt vann (6°C) i Finnmark, og parasitten forekom systemisk («over alt») i fisken. Siden har en hatt en rekke utbrudd med sykdommen, som nå kalles systemisk spironucleose. Patogenet er her en egen art beskrevet i 20068 og navngitt som Spironucleus salmonicida , og altså ikke Spironucleus salmonis som en først trodde. Mellom 1997 og 2006 ble denne arten også feilaktig identifisert som Spironucleus barkhanus , en art fra laksefisk som vi nå vet ikke forårsaker sykdom.

Parasitten S. salmonicida forårsaker ikke bare tap ved å forårsake sykdom. Parasitten kan også danne byller fylt med puss og flagellater i selve filéten. Dette medfører at all fisk må sjekkes individuelt og manuelt og fisk med slike byller går enten til avskjær eller kassering (se under, Figur 7), noe som gir store økonomiske tap.

Etter flere sykdomstilfeller med S. salmonicida i 2022 ble et FHF finansiert prosjekt startet, med formålet å skaffe mere kunnskap om parasitten som forårsaker sykdommen systemisk spironucleose hos laksefisk.

Her er det laget en oppsummering av vår kunnskap om Spironucleus salmonicida, men de to andre flagellatene som kan forekomme i laksefisk i Norge, Spironucleus barkhanus og Spironucleus salmonis, omtales også.

Denne oppsummeringen utgjør AP 1.1 «Norsk Kunnskapsoppsummering» om S. salmonicida i «SpiroFri» prosjektet. Rapporten inneholder i begrenset grad resultater fra selve prosjektet, som publiseres separat.

 

Levende Spironucleus salmonicida.
Figur 1 . Spironucleus salmonicida utseende. Sammenstilling av frittsvømmende flagellater fra kultur, som viser noe av variasjonen i form og størrelse. Det bakre «håndtaket» kan mangle helt. Alle bildene har samme forstørrelse; skalastaven til høyre er 20 µm lang.

 

2 - Hva er Spironucleus ?

Da en først oppdaget flagellater i blod og vev hos oppdrettslaks ble disse identifisert som en art i slekten Hexamita . Den slekten hadde da arter som både var frittlevende, eller symbionter i skjell, fisk, amfibier, krypdyr, fugl eller pattedyr. Det viste seg senere at disse ikke utgjorde en gruppe beslektede arter, og en har nå flere slekter. Artene i slekten Spironucleus lever som symbionter i vertebrater, mens de fleste Hexamita artene er frittlevende i oksygenfattig vann eller i tarmen på evertebrater (insekter, igler, skjell).

Arter i slektene Hexamita og Spironucleus ligner hverandre i mikroskopet, de har 6 fremre og to bakre flageller. Indre oppbygning er noe forskjellig, et viktig trekk hos slekten Spironucleus er at kjernene (der er to) fremst er snodd rundt hverandre(spiral), derav navnet Spironucleus9. Kjernene hos medlemmene i slekten Hexamita er ikke vridde, men ovale til pæreformede9,10.

Disse flagellatene har en noe uavklart systematisk klassifisering, noen plasserer dem i gruppen (rekken) Diplozoa, som regelrett betyr «dobbeltdyr», andre i rekken eller klassen Diplomonada («dobbel enhet»). Fra dette siste navnet har en fått populærnavnet «diplomonader». Hver celle er bygget opp som om den er dannet fra to individer11-16. Der er to sett med flageller, som hvert består av 3 fremre og en bakre (Figur 1,2). Der er to sett av celleskjelett, to kjerner og to cellemunner. De bakre flagellene har opphav i basallegemer sammen med de fremre flagellene, men løper gjennom cellen i rør som munner bak. I disse rørene kan der være en region hvor næringen tas opp (cellemunner) ved en prosess kalt endocytose.

Det har vist seg at alle Hexamita artene fra fisk, som er blitt nærmere undersøkt, hører til slekten Spironucleus . I dag regnes det som trolig at alle slike infeksjoner i fisk representerer Spironucleus arter.

 

Spironucleus salmonicida. Utseende.
Figur 2 . Spironucleus salmonicida utseende. Skisse, som viser typisk form av levende flagellater. Kjernene tegnet inn øverst er normalt ikke synlige i levende individ, men kan sees etter farging. En region i kjernene (mørk) farger da ekstra sterkt.

 

3 - Hvordan identifiseres flagellatene?

Disse parasittene er lette å påvise i et ferskt utstryk under lysmikroskop på grunn av sin karakteristiske bevegelse. Diplomonadene i fisk er lette å identifisere til gruppe ved sin typiske pæreform og karakteristiske flageller, seks fremme og to bake (Figur 1,2). På høy forstørrelse i lysmikroskopet kan en også se noen finere detaljer, men flagellatenes form er variabel, og de er så aktive at det er vanskelig å se strukturer. I fargede utstryk er det lett å skille Giardia fra Spironucleus ; flagellater av begge slektene forekommer i noen fugl og pattedyr. Men når det gjelder Spironucleus fra fisk er der ingen gode karakterer som pålitelig skiller artene. Levende Spironucleus salmonicida måler 9,2-13,9 (snitt 11,1) µm i lengde, og 3,9-6,6 (snitt 5,3) µm i største bredde. 1 µm (mikrometer) er 1/1000 mm.

En måtte derfor ty til elektronmikroskopet, og påvise ultrastrukturelle forskjeller når en skulle karakterisere nye arter. Dette er vanskelig, ekspert-arbeid, og få har tilgang til slike mikroskop. Etter hvert har molekylærbiologien gitt oss kjennskap til DNA sekvenser til flere gener fra disse flagellatene, og en kan nå identifisere noen av artene på basis av deres DNA sekvenser («molekylært»). Et slikt «informativt» gen er det som koder for RNA i ribosomene. Hittil er sekvenser for et ribosomal RNA gen kalt SSU (« small subunit») mest brukt. Variasjonen i gen sekvensen skiller klart artene som forekommer i norske laksefisk (Figur 3).

 

Spironucleus arter kan identifiseres fra DNA sekvenser.
Figur 3. Eksempel på DNA sekvenser (liten del av SSU rRNA genet vist), fra forskjellige prøver av de tre Spironucleus artene som forekommer i norske laksefisk. Det er stor sekvensvariasjon mellom disse artene, slik at de «molekylært» er lett å skille.

 

SSU rRNA genet er i dag det viktigste genet for identifikasjon, men sekvenser fra flere proteingener kan trolig også brukes. Flere genomer er nå tilgjengelige17-20, hvilket åpner for nye måter for finere identifikasjon (f. eks. stammer).

På basis av SSU rRNA gen-sekvenser er det utviklet flere såkalte real-time (sanntids) PCR analysemetoder (qPCR «assays»)21-23, som påviser svært små mengder og også kvantifisere RNA eller DNA indirekte. DNA mengden skal stå i direkte forhold til antall flagellater i prøven, og likedan RNA mengden, men denne kan reduseres hvis flagellatene vokser dårlig (redusert ribosom mengde). Et problem med qPCR analyser kan være at vi ikke har sekvenser fra mange av de beskrevne artene, og mange ubeskrevne arter med ukjente DNA sekvenser forekommer også. Så hvor spesifikke slike molekylære påvisnings-assay er, vil oftest være lite kjent.

 

Spironucleus livssyklus
Figur 4 . Noen Spironucleus arter som lever i tarmen produserer cyster som frigjøres i miljøet, som tas opp oralt (via munnen) av andre fisk som så kan bli smittet. Spironucleus salmonicida og en del andre arter er så langt ikke funnet å danne cyster, så det er mulig at smitten er via frie flagellater.

 

4 - Hvordan smitter flagellatene?

De fleste Spironucleus artene lever som harmløse tarmsymbionter, gjerne referert til som kommensaler, da de ikke har kjente effekter på verten. Tarmflagellatene frigjøres til miljøet med fiskens avføring, enten som frie flagellater eller som cyster. Andre fisk blir smittet ved opptak av flagellater eller cyster fra vannet, trolig oralt4,17,24-35. Under oppdrettsbetingelser kan en se at fisk snapper og endatil spiser avføring fra andre individer. Muligheten for smitte er da stor.

Frie flagellater lever ikke lenge i vannet. Disse organismene er tilpasset å leve i oksygenfattige miljø, og mangler mitokondrier. Oksygen er giftig for dem, i større mengder. De har likevel evne til å overleve eksponering for oksygen over noe tid, en tilpasning som hjelper dem i spredningen17,18,36-39.

Cyster er velkjent fra Giardia artene40,41, men er også rapportert fra flere Hexamita (trolig Spironucleus) og Spironucleus arter (Tabell 1). Blant artene som infiserer laksefisk er cyster kun kjent fra S. salmonis. Cystedannelse kan begynne i tarmen, hvor en kan se store tynnveggete cyster med aktive flagellater inni. Etter hvert blir de mindre, mere tykkvegget og flagellaten blir inaktiv42-44. Noen ganger er det to flagellater i cystene. Cysteveggen hos S. muris er fra 0,17-0,2 µm tykk i antatt yngre cyster til 0,3-0,4 µm i av eldre cyster43 (målinger fra TEM bilder). Dette er samme tykkelse som hos Giardia artene41.

Cyster er ikke påvist hos S. salmonicida, men det finnes noen usikre observasjoner av cystelignende strukturer i kulturer29,45. En kjenner genomet til flere Giardia arter, og genene som koder for proteiner i cysteveggen, og en har senere funnet lignende gener i S. salmonicida17,46.

En har forsøkt å stimulere til cystedannelse hos S. salmonicida gjennom gradvis næringsbrist kombinert med økt eksponering for oksygen, uten å lykkes47.

Vertstyper Vert Cyster, dimensjon (µm) Referanse
  Art diplomonad
Pattedyr      
  Spironucleus muris mus 7,4 x 4,0 42
Fugl      
  Spironucleus meleagridis fasan 5,5 x 4,5 48
Fisk      
  Spironucleus salmonis laksefisk 10 x 7 11
  Spironucleus salmonis regnbueaure 12,0 x 8,5 44
    bekkerøyr c. 7,8 ø 3
    brunaure, regnbueaure1 8-10 ø 4
  Spironucleus capelani Middelhavssypike 6 ø 49
  Hexamita motellae tangbrosme 6-7 ø 49
  Hexamita bocis okseøyefisk 6 ø 49
  Spironucleus torosus torsk 7,4 x 6,6* 45

Tabell 1. Cyster rapportert fra Spironucleus arter og noen Hexamita arter fra fisk (=sannsynlige Spironucleus arter). ø=diameter

* fargede utstryk

5 - Overlevelse i vann

Frie flagellater som frigjøres i vannet har vanligvis en kort overlevelse. Frie Spironucleus salmonis flagellater overlever opp til 30 minutter i ferskvann11. Spironucleus vortens fra akvariefisken skalare overlever opp til 10 timer i varmt (24°C) ferskvann34,50 men har redusert bevegelse alt etter 3 timer.

Spironucleus salmonicida fra kongelaks i sjøoppdrett i British Columbia26 var ubevegelige og oppsvulmet etter kun 5 minutter i ferskvann, trolig døde. I sjøvann var det liv i noen flagellater (~10%) etter en time, men alle syntes døde etter 4 timer. I kunstig brakkvann med nær fysiologisk osmolaritet (0,85% NaCl) levde flagellaten betydelig lenger, rundt 50% viste bevegelse etter en dag, men alle syntes døde etter 3 dager. Siden halvparten var døde og de levende var i dårlig forfatning etter et døgn, er nok den reelle overlevelsen kortere. Disse observasjonene ble gjort ved 10°C 26. Nå har det vist seg at S. salmonicida tåler eksponering for oksygen dårlig over tid, og kontinuerlig eksponering for oksygen kan derfor ha spilt en rolle.

Overlevelsen til S. salmonicida fra norsk oppdrettslaks i vann er studert i to hovedfagsoppgaver, Sommerhaug29 i 1995 og Helsø47 i 2024, der det ble brukt forskjellige metoder. Sommerhaug 29 klassifiserte ubevegelige flagellater uten flagellbevegelse som døde, men Helsø47 undersøkte om tilsynelatende døde flagellater kunne dyrkes i fravær av oksygen. Hun fant at disse som regel var udyrkbare, men i noen prøver fantes det noen få dyrkbare individer (<<1%). Begge studiene viser at flagellatene dør raskt i rent ferskvann, og har kort overlevelse i fullt sjøvann (Tabell 2). De har lengst overlevelse i brakkvann med nær fysiologisk osmolaritet, da flagellatene er aktive i flere timer.

En saltholdighet på rundt 10 ‰ er nok mest aktuelle i indre fjordstrøk nær elveoser, og helt i overflaten når det er mye regn. I normalt fjordvann rundt oppdrettsmerder vil overlevelsen og dermed den vannbårne spredningen være begrenset.

En faktor som er lite kjent er betydningen av organisk materiale for overlevelsen. Helsø47 fant at næringstilgang (rester av dyrkingsmedium) økte overlevelsestiden i brakkvann. Likedan er det vist at S. vortens lever betydelig lenger i fekalier enn i rent ferskvann 34.

Saltholdighet ( ‰) Svømmende flagellater Ikke svømmende, med flagellbevegelse Tilsynelatende døde Maksimal overlevelsestid Ref.
0 <<10 min <<10 min <10 min <10 min 29
0 2 min <4 min 4 min 10 min 47
10 ? <11-13,3 t 11-13,3 t >13,3 t 29
10 5 t >9 t 11 t 11 t 47
25 Maks 30 2-3 t 1,5-3 t   29
25 <0,5 min <0,5 min 0,5 min 15 min < 2 t 47
33 ? ? 30 min < 30 min 29
35 <0,5 min <0,5 min 0,5 min 15 min < 2 t 47

Tabell 2. Observerte overlevelsestider til Spironucleus salmonicida (norske isolat) i vann med forskjellig saltholdighet. t=timer, min= minutter

6 - Temperaturtoleranse

I Norge er Spironucleus salmonicida infeksjoner kun kjent fra fisk i den nordligste delen av landet, en antydning på at parasitten er begrenset i utbredelsen av temperatur. Utbrudd av spironucleose har forekommet ved temperaturer mellom 6 og 10°C 5,51. Et utbrudd hos kongelaks oppdrettet Sechelt området i British Columbia høsten 199126,52 kan ha hatt sjøtemperaturer så høye som 12-14°C, som er vanlig der i september.

Temperaturtoleransen til den norske S. salmonicida varianten er blitt undersøkt i laboratoriet, med flagellater holdt i ellers optimale forhold (dyrkingsmedium, oksygenfattig atmosfære)47. Parasittens dyrkbarhet avtar rundt 15-16°C, som synes å representere maksimumstemperatur for parasittisolatet brukt. Overlevelsen var da mellom 24 og 48 timer. Ved 18°C var overlevelsen mindre enn 4 timer, ved 22°C mindre enn 3,5 timer, ved 30°C mindre enn 5 minutter og ved 37°C mindre enn 15 sekund47. Et annet isolat av denne arten er blitt dyrket opp ved 15 og 16°C53,54, så det kan forekomme noe variasjon. Parasitten drepes ved frysing45,55 .

Temperaturspekteret parasitten tåler tyder på at parasitten er arktisk, og neppe kan overleve lenge i lakseoppdrett i Sør-Norge.

Både S. salmonis og S. barkhanus forekommer i nordlige Norge i vann sammen med S. salmonicida , så de tåler lave temperaturer. Derimot forekommer de også i Sør-Norge, og S. salmonis helt ned til Middelhavsområdet. Så disse artene tåler også høyere temperaturer, S. salmonis trolig minst 20°C, men dette er ikke undersøkt nærmere.

7 - Verter og vertspreferanser

I tidligere studier, før både elektronmikroskopi og DNA studier, hadde en lite å gå etter når en skulle identifisere diplomonade flagellater fra fisk. Derfor ble enkelte arter rapportert fra et vidt spekter av dels ubeslektede verter. I dag ser vi at dette oftest ikke stemmer. Hvis en bare ser på molekylært identifiserte Spironucleus arter, er mønsteret som antydet i Tabell 3. Men det er viktig å peke på at det er store hull i vår kunnskap om vertene, særlig i kommersielt ubetydelige villfisk.

Art Verter Slekt Vertsfamilier Orden Status
Spironucleus salmonis Røyr56  Salvelinus Salmonidae Salmoniformes Lite spesifikk
Aure Salmo Salmonidae
Stillehavslaks57  Regnbueaure7  Oncorhynchus Salmonidae
Amursover58  Perccottus Odontobutidae Gobiiformes
Stingsild56  Gasterosteus Gasterosteidae Perciformes
Spironucleus barkhanus Harr8  Thymallus Salmonidae Salmoniformes Spesifikk for laksefisk
Aure56  Salmo Salmonidae
Røyr8  Salvelinus Salmonidae
Sik59  Coregonus Salmonidae
Spironucleus salmonicida Laks8, Aure56  Salmo Salmonidae Salmoniformes Spesifikk for laksefisk?
Røyr8,56  Salvelinus Salmonidae
Stillehavslaks8  Oncorhynchus Salmonidae
Rognkjeks60  Cyclopterus Cyclopteridae Perciformes
Spironucleus torosus Torsk61,62  Gadus Gadidae Gadiformes Spesifikk for torskefisk*
Sei62 Pollachius
Kviting62  Merlangius
Tangbrosme62  Enchelyopus Gaidropsaridae
Brosme62  Brosme Lotidae
Lake62  Lota
Paddetorsk45  Raniceps Ranicipitidae

Tabell 3. Oversikt over vertstyper og spesifisiteten til noen Spironucleus arter som forekommer i Norge. Kun molekylært bekreftede påvisninger er listet

*gadoider (ikke i lysinger)

Når det gjelder Spironucleus salmonicida kjenner vi fire verter fra oppdrett i sjø, laksefiskene laks, og røyr oppdrettet i Norge, kongelaks (Chinook) oppdrettet i Canada, og nylig rognkjeks brukt som rensefisk i merder der laksen hadde spironucleose60. I villfisk er denne parasitten påvist molekylært i aure og røyr i Norge og i røyr i arktisk Canada63, i alle tilfellene i ferskvann. Det synes som at parasitten er spesifikk for laksefisk, og normalt smitter i ferskvann. Forekomst i unge rognkjeks brukt som rensefisk60  i merder med laks som utvikler spironucleose kan være en abnormalitet, da disse kan ha spist smittebærende lus eller nappet på sår og byller laget av parasitten, eller spist på dødfisk. De kan dermed ha blitt utsatt for et svært stort smittepress av en parasitt de aldri vil treffe på i naturen.

Det er blitt gjort smitteforsøk på forskjellige fiskearter både med norske S. salmonicida isolat og et Kanadisk isolat fra kongelaks i British Columbia (BC). Guo24 gjorde injeksjonssmitteforsøk på kongelaks, atlantisk laks, regnbueaure og sølvlaks (coho) med et norsk isolat. Kun atlantisk laks ble smittet, og utviklet sykdom. Det viste seg at blodplasmaet til de andre artene var toksisk for flagellatene, som ble øyeblikkelig sprengt i prøverør med plasma. Dette tyder på medfødt immunitet hos disse artene (komplement, alternativ vei). I «Spirofri» prosjektet har en sett at laks, sjøaure, sjørøyr og rognkjeks kan bli smittet med et norsk isolat fra laks (SS1) ved badeksponering64. Fiskene kan også smittes når de holdes i kar sammen med badsmittet laks (kohabitering). Sjøaure og røyr var lite mottagelige, mens både laks og rognkjeks utvikler sykdom.

I injeksjonssmitteforsøk med S. salmonicida isolert fra kongelaks i British Columbia, ble det observert at kongelaks var svært mottagelig og utvikler kraftige infeksjoner. Derimot var atlantisk laks, regnbueaure og sølvlaks (coho) lite mottagelige og infeksjonene var forbigående24. Med oral smitte var kongelaks også svært mottagelig, mens atlantisk laks da ikke ble smittet26 . Oppsummert tyder dette på klare forskjeller i vertsspektrum til S. salmonicida fra det vestlige Nord-Amerika (BC) og Norge.

 

Spironucleus salmonicida: Kjent utbredelse i Norge
Figur 5. Spironucleus salmonicida , kjent utbredelse i Norge. Påvisninger fra sjøsatt oppdrettslaks er ikke tegnet inn. 1. Landersfjordvatn, 2 Helvetesvatn, 3 Store Måsvatn, 4 Lille Posangerelva, Kjøsvatn, 5 Trollvatnet, Laukhellevassdraget, 6 Hinnøya.

 

8 - Geografisk utbredelse

Spironucleus salmonicida er påvist molekylært i laksefisk i Finnmark, Troms og nordlige Nordland i Norge56 (Figur 5), Nunavut i Arktisk Canada63 og i oppdrettet kongelaks i British Columbia, Canada8. En rapportering fra oppdrettet regnbueaure i Tyrkia65  er trolig en navneforveksling med S. salmonis .

Spironucleus barkhanus forekommer i Eurasiske og nordamerikanske laksefisk, og er rapportert fra Norge, Canada og Russland8,59,66-68. Disse påvisningene er dokumentert med DNA sekvenser.

Spironucleus salmonis (=S. truttae) er rapportert fra Europa (Norden, Baltikum, Hviterussland, Ukraina, Russland, Britiske øyer, mellomeuropa, Balkan, Italia og Iberiske halvøy, nord-Asia (Azerbadsjan, Tyrkia, Iran, Sibir, Japan), og fra Nord-Amerika (det meste av USA inkludert Alaska, Canada)3,7,23,30,56,69-102. Kun få funn (Japan, Tyskland, Polen, Russland og Norge) er bekreftet med DNA sekvenser7,56-58,80.

 

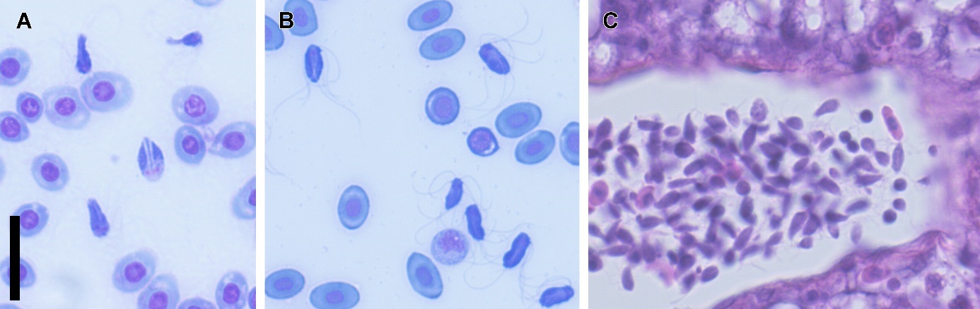
Spironucleus salmonicida i utstryk og snitt
Figur 6. Utsende til Spironucleus salmonicida i fargede blodutstryk og i histologiske snitt (syk rognkjeks). A , i sentrum en svakt farget flagellat der kjernene har tatt farge, og en ser to langsgående lyse streker som representerer kanaler der de bakre flagellene løper gjennom cellen. Flagellene er svakt farget. B , sterkt fargede flagellater, flagellene sees. C , snitt av blodkar i leveren til rognkjeks, der mesteparten av cellene er S. salmonicida . Skalastaven i A gjelder for ABC, og er 20 µm.

 

9 - Tilholdssteder i fisken

Spironucleus salmonicida synes å forekomme naturlig i tarmen på aure og røyr i ferskvann56. Arten er også påvist i gjelleprøver fra røyr63 (arktisk Canada) og i hjerteprøver fra vill aure i Finnmark, observasjoner som antyder at systemiske infeksjoner kan forekomme i klinisk friske ville laksefisk. I smitteforsøk er disse artene nå funnet å kunne utvikle systemiske infeksjoner, men kun få fisk smittes og infeksjonene synes forbigående64. I taperfisk blant oppdrettsrøyr har en også sett systemiske infeksjoner, med store mengder flagellater frie i blodet, men også intracellulært i fagocytter103-105. Muskelabsesser kan forekomme8. I oppdrettsrøyr med systemiske infeksjoner er det ikke sett parasitter i tarmvæsken104. Etter badsmitte er røyr funnet å ha både blod og tarminfeksjoner, og fortarmen var da et sted som ofte hadde flagellater (se Lofnes106 ).

I oppdrettet laks kan en påvise parasitten i blodet og dermed i mange organer, men etter hvert begrenses infeksjonen til lommer (noen ganger «byller») med flagellater i muskel, hud, lever, nyre, bak øynene eller i væsken rundt hjertet og hjernen24,25,107. I smitteforsøk på laksesmolt har en påvist parasitten en tid i tarmvæsken («tarmfase»)17,27,108, før den koloniserer blodkarsystemet («blodfase»)17,24,25,27,108 Etter noen uker faller mengden parasitter i blodet24,25,27,29,45,108, og parasittene forekommer hovedsakelig i lesjoner/byller («vevsfase») 24,25,29,45. Kun rundt hjernen og noen ganger bak øynene sees det da frie flagellater45. I badsmittet postsmolt av laks, som ikke var syke og ble funnet å ha lette infeksjoner, er parasitten funnet å hyppigst forekomme i baknyre og i muskel/hudprøver fra haleroten106.

Spironucleus barkhanus synes å være mest alminnelig i gallesystemet hos laksefisk, der galleblæren kan fungere som et reservoar. Prevalensen i tarmen er lavere, men når en har kraftige infeksjoner er der mest flagellater i fortarmen8,45. Denne arten forårsaker ikke systemiske infeksjoner hos laksefisk, men S. salmonicida ble identifisert som S. barkhanus i noen tidlige studier8, før DNA-studier viste at det var to arter.

Spironucleus salmonis er en tarmsymbiont, som forekommer i størst mengder i fortarmen og i blindsekkene hos laksesfiskene3,98-100,109. Denne arten er ikke kjent å forårsake systemiske infeksjoner, eller vandre opp i gallesystemet.

 

Spironucleose hos laks. Byller i filet.
Figur 7. Parasitten Spironucleus salmonicida kan danne blod eller puss fylte byller i oppdreettslaksens filet. Dette er vanligst i halerota, men forekommer i blant i andre deler. Derfor må all fisk undersøkes nøye ved filetering, og det blir også tap på grunn av kassering av fisk. Fotos: Inger Helen N. Johansen.

 

10 - Metabolisme

På basis av slektskapsforholdene blant de forskjellige gruppene diplomonader, er det antatt at de frittlevende gruppene har oppstått fra endosymbiotiske forfedre. Disse organismene er tilpasset å leve i oksygenfattige miljø37. Diplomonadene mangler vanlige mitokondrier, men har utviklet seg fra flagellater som hadde organellen. Spironucleus artene har derfor en beslektet type organelle kalt hydrogenosom37,53,110. I hydrogenosomer produseres energi (ATP) fra pyruvat med hydrogengass som biprodukt. I Spironucleus artenes hydrogenosomer er der også enzymer (oxydaser), som fjerner oksygen37,111,112.

Karbohydrater (mono- og disakkarider) er energikilde for disse flagellatene, de har glykolyse som produserer pyruvat36,46. I tillegg til hydrogen dannes det hos S. vortens karbondioksyd, etanol og melkesyre113. Spironucleus artene har også prosesser som genererer energi ved nedbrytning av aminosyrer34,36,46,112,113. Der er små fett vakuoler i cytoplasma hos flagellatene, men lipid metabolismen er lite kjent37.

11 - Parasitt-vertsforhold: Spironucleus arter som lever i tarmen

Spironucleus salmonis og en del andre arter som utelukkende lever i tarmen på fiskevertene synes å normalt være harmløse endokommensaler. Når S. salmonis likevel regnes som patogen, er det fordi det kan bli ekstreme mengder flagellater i fortarmen på syke oppdrettede laksefiskunger. I tidlige studier3,4,99,114,115 ble tarmskader og dødelighet som regel tilskrevet flagellatene. I noen av studiene ble det også sett intracellulære stadier i tarmepitelcellene, med omfattende nekroser og betennelser i tarmen99,115. Det synes nå sannsynlig at dette var stadier i utviklingen til en helt annen type parasitt - coccidier – altså kan fisken også ha hatt coccidiose. Virussykdommen IPN kan også mistenkes i noen sykdomstilfeller, slik at det er uklart om flagellaten var ansvarlig for sykdomsutbruddene. Ferguson109 gjorde elektronmikroskopi studier av regnbueaure med kraftige S. salmonis infeksjoner, uten å se noe skade på tarmepitelet. Han så heller ikke noen intracellulære stadier i tarmepitelet. Det synes derfor som at den voldsomme oppblomstringen av flagellaten kan ha med svekking av verten å gjøre (er sekundær). Slik svekking kan altså oppstå etter andre infeksjoner, men også gjerne i forbindelse med feilernæring (mangelsykdom), stress og ved for høy vanntemperatur35. Det kan være at S. salmonis bidrar til dødeligheten35, men smitteforsøk gjort tyder på at de er lite skadelige32,116 og assosiert med lav dødelighet32.

Spironucleus barkhanus påvises hyppigst i gallen (galleblæren) vanligvis med lette infeksjoner. Ved mer intense infeksjoner er der mengder flagellater også i tarmen45. Denne flagellaten synes å være harmløs.

Spironucleus torosus infeksjoner er alminnelige i rektum på oppdrettet og vill torsk. De synes ikke å forårsake skade117, bortsett fra at enkelte mikrovilli i børstesømmen kan skades ved at flagellatene fester seg i dem118.

12 - Parasitt-vertsforhold Spironucleus salmonicida : laks

12.1 - Fase 1-Tarminfeksjon

Tarminfeksjoner med Spironucleus salmonicida hos ville laksefisk (aure, røyr) er aldri blitt studert nærmere, parasitten er påvist der molekylært etter at en først har sett flagellater ved mikroskopi56,67. I smitteforsøk der en sprøyter flagellater inn i magen eller i baktarmen på laks via gattet kan en normalt ikke påvise flagellater i tarmen før etter flere dager, 7 til 17 ved oral intubering17,27,29,108 og 11 dager ved anal intubering29. Noen laks utvikler aldri en påviselig tarminfeksjon25,29. Det synes derfor som at parasitten raskt kan forlate tarmen etter eksperimentell smitte, men at dette ikke skjer i alle fisk og noen viser en tarminfeksjon samtidig med en systemisk infeksjon. Sommerhaug29 så kraftige tarminfeksjoner gjennom et to måneder langt forsøk, etter anal intubasjon. De fleste av de smittede fiskene hadde også kraftige blod og vevsinfeksjoner. Også i kongelaks infisert med stillehavsvarianten av S. salmonicida sees kraftige tarminfeksjoner samtidig med blodinfeksjoner og vevskader26.

Parasitten er ikke vanlig i tarmen på eksperimentelt smittet laks, som utvikler spironucleose med byller og dør av sykdommen24,25,119.

12.1.1 - Kolonisering av blod

Noen få Spironucleus arter kan invadere blodet til verten og forårsake systemiske infeksjoner. I tillegg til S. salmonicida som kan forårsake slike infeksjoner i laksefisk og rognkjeks, har en sett det hos ål i Polen120, i barber i Ungarn121 og i akvariefisker121-126. Spironucleus anguillae , S. vortens og uidentifiserte diplomonader (« Hexamita ») har vært involvert.

Hvordan flagellatene kommer seg over i blodet er ukjent. I eksperimenter der en introduserte S. salmonicida i magen på laks er det påvist flagellater i blodet fra forskjellige vev etter 17 dager29. I en annen studie ble det påvist flagellater i blodet så tidlig som en uke etter smitte27. Etter tre uker var mer enn 60% og etter 4 uker 85% smittet27. Når en har introdusert S. salmonicida til baktarmen (anal intubering), ble det påvist flagellater i vevsblod etter 7 dager29. I disse studiene så en blodinfeksjon før det ble påvist flagellater i tarmen. Det kan derfor synes som flagellatene raskt emigrerer fra tarmtrakten, og at det ikke først bygges opp kraftige tarminfeksjoner. Hvordan dette skjer er ukjent, det kan være flagellater som trenger seg inn mellom tarmepitelcellene og når området lamina propria i tarmveggen og blodkar der. En annen mulighet er at de trenger opp i gallesystemet, gallegangene i leveren og så trenger gjennom epitelet der. I genomstudier på Giardia intestinalis, en tarmflagellat hos mennesker, og S. salmonicida har en sett at fiskeparasitten har mange flere proteaser enn tarmflagellaten, minst 111 gener for proteaser er påvist17,46. Dette er enzymer som bryter ned protein, en viktig egenskap ved vandringer i vev. Noen av protease genene er oppregulert når parasitten eksponeres for oksygen17,39, de er i større grad i bruk. Parasitten blir eksponert for oksygen når den smitter fisken. Dermed kan dette tolkes dithen at S. salmonicida har en større evne til å bryte ned proteiner som utgjør bindinger mellom epitelceller17,46  og dermed trenge inn i vev og invadere organismen systemisk enn Giardia har. Giardia intestinalis og de andre Giardia artene hos pattedyr er da heller ikke kjent å kunne forårsake systemiske infeksjoner.

I «SpiroFri»-prosjektet har en sett at flagellater etter badsmitte kan kolonisere småsår som fisken har. Det er observert flagellater i hudslimet på mange fisk i anlegg med spironucleose utbrudd, trolig frigjort fra byller som har åpnet seg mot overflaten hos enkelte fisk45,127. Det er derfor blitt spekulert på om parasitten kan etablere seg ved å bore seg direkte gjennom huden127. Dette synes usannsynlig, mange fisk blir ikke smittet etter bading i store mengder flagellater. Men det synes nesten uunngåelig at enkelte flagellater kan kolonisere sår, og oppdrettsfisk kan ha en hel del småsår, så dette er en sannsynlig innfallsport i merd. Det er også sett blek misfarging av huden i haleregionen på enkelte laks, en type hudbetennelse (dermatitt)51,127. Slike områder er sett å inneholde mye flagellater. Rollen til sår og hudlesjoner i S. salmonicida infeksjon i sjøvann bør undersøkes nærmere.

12.2 - Fase 2-Blodfase

12.2.1 - Parasitter i blod

Det foreligger informasjon om varigheten til blodfasen for S. salmonicida i laks i tre eksperimentelle studier, med injeksjonssmitte24,25,119 eller mage/tarm intubering27,29.

Etter injeksjon av parasitter i bukhulen var varigheten på blodfasen på rundt 4-5 uker24, da parasittene forsvant fra blodet etter en topp rundt 6-7 uker etter smitte. Denne smittemåten er unaturlig, og blodinfeksjonene starter trolig raskt ettersom bukhulevæsken med flagellater drenerer til blodet. Studien viste at ved synkende flagellatantall etter uke 6-7 inneholdt blodplasma mye og økende mengder antistoffer mot parasitten. Maksimal mengde slikt spesifikt antistoff ble sett en til to uker etter en topp i mengde flagellater i blodet.

Etter intuberinger ble parasitten påvist i blod etter en uke, fulgt av økende prevalens inntil all fisk var smittet uke 9 og 1027. Fra denne studien, gjort på presmolt, foreligger det ikke data på mengde parasitter.

Sommerhaug29 fant parasitten i blodet kun på få fisk etter oral intubering, i enkeltfisk dag 17, 25,33 og 55 etter smitte med få flagellater. Etter anal intubering derimot ble det observert blodinfeksjoner fra dag 9, med kraftige infeksjoner dag 11 til 25, og deretter lette infeksjoner kun i et par fisk (dag 41 og 55). Forløpet her kan altså ha vært en forbigående blodfase med mye flagellater, før de gradvis forsvant, formodentlig som følge av en humoral respons. Antistoffmengden målt toppet seg dag 35 til 48. Tendensen var også slik at parasittmengden i blod var minst i fisk med høy konsentrasjon av spesifikt antistoff, og motsatt29.

Det synes som flagellatene i blodet aggregerer i blodkar i enkelte vev, som i lever, nyre og milt. Dermed kan en påvise mengder flagellater ved mikroskopi på vev, men få i en blodprøve. Likedan kan en histologisk se mye flagellater inne i vener i disse vevene, også tilsynelatende festet i karveggen. Det kan forekomme akutt dødelighet host fisk med kun påviselig blodinfeksjon. Det antas dette har med at parasitter bryter blod-hjerne barrieren og forårsaker hjerneblødning eller annen skade.

12.2.2 - Immunitet

Som nevnt over («Verter og vertspreferanser«) er noen fiskearter naturlig resistente mot flagellaten, eller mot varianter av den24. Denne medfødte immuniteten er knyttet til visse blodplasmaproteiner (komplement), som, hvis de gjenkjenner parasitten (binder seg til overflaten), starter en prosess som fører til sprengning av cellen. Ettersom også atlantisk laks ikke alltid blir smittet etter injeksjonssmitte128, kan det være at enkelte individer er naturlig resistente. Hvis resistensen er arvbar, kan en trolig avle frem laks som er resistente mot S. salmonicida og sykdommen parasitten kan forårsake. Tre tilfeldige kanadiske laksefamilier ble testet for mottagelighet ved injeksjon, men disse familiene var alle like mottagelige24,25.

Antistoffrespons mot flagellaten er sett etter omtrent 6 uker (maks ved 7-9 uker) i laks smittet ved injeksjon. Denne toppen kom da ca. en til to uker etter at maksimal mengde parasitter ble registrert i blod24,119. Mye antistoff var så knyttet til nedgang i mengde flagellater i blodet. Parasittene blir agglutinert av antistoff, og fagocytter vil så fjerne agglutinerte og antistoffmerkede flagellater fra blod og vev. Flere parasitter er observert i makrofaglignende celler i fargede vevsavtrykk24,27. I laks smittet ved intubering (mage/tarm) toppet antistoffresponsen mot parasitten seg 5-6 uker etter smitte. Tendensen var da at parasittmengden i blod var minst i fisk med høy konsentrasjon av spesifikt antistoff, og motsatt29. Overlevende fisk blir trolig immun, så det kan bli mulig å vaksinere laks mot systemisk infeksjon og sykdommen29. Det er mulig at immune individer ikke blir parasittfrie, da flagellatene også kan leve i tarmvæsken.

12.3 - Fase 3 Vevsfase

Vevsfasen utvikles trolig som en følge av humoral immunitet mot S. salmonicida . Parasitten fjernes fra blodet, men kan da overleve og oppformere seg beskyttede steder i fisken. Disse stedene kan være bindevevsavgrensede områder i vevene (byller, kapsler), eller steder i laksekroppen som er mer skjermet fra immunresponsen, slik som rundt eller i hjernen eller endatil rundt eller inni øynene. Vevsfasen med kapsler og bylldannelse er følgelig en kronisk sykdomstilstand, mens sykdom i forbindelse med blodinfeksjon er mere akutt. Det er selvsagt overlapp, og det forekommer kan hende re-oppblomstring av flagellater i blodet hos eldre svekkede individer. Under omtales de typiske trekkene ved sykdom forårsaket av S. salmonicida hos atlantisk laks.

13 - Sykdom – spironucleose forårsaket av S. salmonicida

13.1 - Klinikk

Etter eksperimentell smitte kan en ha akutte forløp, der fisken dør brått uten ytre sykdomstegn24,25,119. Fisken kan da ha svært kraftige blodinfeksjoner, og dødsårsaken ved akutt spironucleose er muligens parasittenes invasjon av hjernen og hjerneblødning51,107.

Klinikken ved mer kroniske forløp er begrenset. Fisken er normalt i god kondisjon, men smittede individer kan være mere kortvokst og noen kan avmagres51,55,107,129. En kan se avvikende atferd, og enkelte individer kan vise balanseproblemer5,55,129. Det er økende dødelighet5,55,129. En vanlig observasjon ved spironucleose er forskjellige grader av eksoftalmi (utstående øyne)5,55,107,129-131. Etter hvert utvikles hevelser i huden, vanligvis ved halefinnebasis (Figur 8), mere uvanlig ved ryggfinnen eller andre finner51,55,131. Disse er forårsaket av byller under huden (Figur 9), og det kan også oppstå synlige gulhvite byller ved finnebasis107,131. Mere uvanlige tegn er svullen buk (væskefylt)130 og bleke hudforandringer (dermatitt51). Fisken kan ha sår i halen og i vev ved finnebasis, og smitteforsøk har vist at disse kan dannes fra byller under huden som åpnes mot overflaten24,29,45.

13.2 - Makroskopiske sykdomstegn

Vanlige obduksjonsfunn er lyse flekker på lever og nyre51,130, og noen ganger også i milt. Dette er områder med vevsdød, som regel bløte5,51,55,107,129,130. Bak øynene kan det være ansamlinger med opak væske eller bylldannelser, særlig da ved eksoftalmi45,107. Hjertet kan ha et grålig slør, som representerer betent epikardium (epikarditt), og hjertehulen (perikardialhulen) kan inneholde mengder flagellater45. Det kan forekomme nekrotiske lesjoner i ventrikkelveggen130. Svømmeblæren kan være væskefylt og med fortykket vegg45,107. En meget viktig effekt av infeksjonen er forekomst av pussfylte kaverner (bylldannelser) i muskulaturen. Disse opptrer gjerne under huden ved finnebasis, vanligst i halen ved halefinnen, dernest ved basis av ryggfinnen. Iblant er det døde vevet og materien i disse byllene så vidt synlig oppe i finnen som gule områder55,107,131. Det kan forekomme byller i skjelettmuskulaturen som ikke er synlige før ved filetering131,132. Innholdet i byllene er gullig, gjerne blodblandet og med en ubehagelig lukt55,107,130. Forekomsten av byller i fileter har tidligere ført til opptil 60% kassering av slaktefisk51, og er en viktig tapsårsak133,134. Sårdannelser ved halerot og finnebasis kan ofte knyttes til bylldannelser under huden hos fisk med spironucleose132. Hjernen kan være omgitt av en blodig væske107,129, og hjerneblødning kan, som nevnt over, muligens være årsak til noe akutt dødelighet og at noen fisk har balanseproblemer55,129.

Ved mikroskopi på lesjonene nevnt sees store mengder flagellater5,45,51,55,107,129 .

 

Spironucleose hos laks. Hevelser i halen.
Figur 8. Laks plukket ut på slaktelinjen. Individ med karakteristiske hevelser i halen. Foto: Inger Helen N. Johansen.

 

 

Spironucleose hos laks. Lesjoner i halerot.
Figur 9. Laks plukket ut på slaktelinjen, med hevelser i halen. Under hevelsene er det lesjoner, bindevevskapsler gjerne med blod eller puss inni (byller). Slike lesjoner begrenset til halerota er lett å skjære vekk. Foto: Inger Helen N. Johansen.

 

13.3 - Histopatologi

Ved histologi ser en at abscessene i lever, nyre og milt inneholder osteaktige nekroser, med store mengder flagellater107,129,130. Det kan forekomme ødem, blodstuvning og blødninger nær lesjoner i lever og milt51. Det kan være begrenset vertsreaksjon rundt slike lesjoner5,51, men noen har bindevevsnedslag (fibrose) og mengder betennelsesceller (kronisk granulomatøs respons51,107). Hjertehulen og hjerteoverflaten er betent (perikarditt og epikarditt) med mye betennelsesceller, parasitter og fibrinnedslag107,130. Det kan være kronisk betennelse bak øynene, og ødeleggelse av øyemusklene107. Det kan også forekomme parasitter i hulrom i brusken107. Inne i hjernen kan sees ansamlinger av parasitter, omgitt av betennelsesceller (hjernebetennelse, encefalitt), men også rundt hjernen (hjernehinnebetennelse, meningitt)51. Byllene i muskulaturen inneholder en væske med dødt vev, parasitter og blod130.

Det kan også forekomme store mengder flagellater i lommer i gjellene, assosiert med nekroser og betennelse135. Pseudobrankiene kan også være invadert135.

14 - Infeksjoner i oppdrettet sjørøyr

I et oppdrettsanlegg i Vesterålen som produserte sjørøyr i merder ble det sett et mindre antall fisk som viste avvikende svømmeatferd og eksoftalmi105. Dødeligheten var lav, og ble sett på som ubetydelig. De affiserte fiskene viste enorme mengder flagellater frie i blodet. Disse er nå bekreftet å være S. salmonicida. Hjertets epikard kunne være fortykket, på grunn av økt mengde bindevev og infiltrering med betennelsesceller, og det ble sett trombedannelser i bulbus arteriosus105. Både kapillærene i øynenes choroidea og større blodkar i nærheten var fulle av flagellater. Leveren kunne vise blodstuvning, og der var aggregater av fagocytter både i blodkar og i levervevet, som hadde en eller flere flagellater inne i vakuoler (fagosom). Sammen med disse var der mye frie flagellater. Lignende parasittholdige celler ble sett i nyren, milten og i tarmveggen. Der var blodstuvning, betennelse, og nekroser, særlig affisert var milten. Blindsekker med omliggende pankreasvev, gonade, gjeller, pseudobrankier og hjerne hadde blodkar fulle av flagellater, men ingen annen påvist histopatologi105. Det som høyst sannsynlig var denne parasitten ble observert i byller i haleregionen på røyr (stamfisk) alt tidlig på 90-tallet29, og S. salmonicida ble senere isolert og identifisert fra muskelabsesser i røyr fra samme anlegg8.

Anlegget hadde hatt innslag av røyr med samme sykdom i minst 10 år104, og den forekom hovedsakelig i taperfisk.

15 - Smittespredning

Nesten alle utbrudd av spironucleose hos laks har vært knyttet til ett eneste smoltanlegg. Det synes som fisk satt i sjø fra dette anlegget ved noen tilfeller har vært bærere av flagellater. Det er nå påvist at parasitten forekommer i tarmen på aure og røyr i vannkildene til dette smoltanlegget56, så det er trolig at smitten iblant har kommet inn med ferskvannet, som følge av manglende eller sviktende desinfeksjon av inntaksvannet. I 2022 ble det for første gang påvist parasitter i smoltene fra noen kar i anlegget136, ved tidligere undersøkelser har en ikke klart å påvise parasitten56,67. Trolig har smittebærende smolt/postsmolt satt ut i sjømerder etter hvert utviklet systemiske infeksjoner og sykdom, og begynt å spre smitte (puss fra åpne byller, hudslim, blod fra sår og muligens via avføring). Dermed har andre fisk i merden blitt smittet, og et økende smittepress har bygget seg opp (et spironucleose utbrudd). Dette kan ha skjedd i flere sjøanlegg som mottok smolt fra den samme kilden60,137. Det var utbrudd 1989-1991, 2001-2002, 2007-2008 og i 2022-2023.

Det er hittil ikke påvist spironucleose blant smolt/postsmolt i ferskvann. Dette forekommer trolig, siden mange smolt i enkelte kar er funnet å være smittet (positive hjerter).

Det synes nå klart at en kan ha smitte merd-merd innen et anlegg, men smitte direkte anlegg-anlegg via vann er ikke påvist og synes svært usannsynlig med dagens regler for avstand. Det er mulig at lus, særlig skottelus, kontaminert med flagellater fra slim og blod og, kan spre smitte laks-laks og kanskje laks-rognkjeks. Denne lusearten skifter hyppig verter og kan leve lenge fritt i vannet.

En teoretisk smittespreder er infisert villfisk, slik som sjøaure og sjørøyr. Som nevnt er disse fiskeartene bærere av smitte i flere innsjøer i Finnmark, og det er rimelig at dette er tilfelle også i vassdrag med anadrom fisk. Likevel er det hittil ikke gjort observasjoner som tyder på involvering av villfisk i smittespredningen i sjø. Muligheten for at pukkellaks kan være smittebærer er blitt vurdert, denne arten vandrer langt og raskt og kan være en effektiv vektor hvis infisert. Et mindre antall pukkellaks fra elver i Hordaland er blitt molekylært testet for Spironucleus infeksjoner i tarmen138,139, uten å påvise S. salmonicida eller andre slike flagellater.

I ett eneste tidligere S. salmonicida utbrudd var ikke laksen fra det samme smoltanlegget. Da var merdene lokalisert i nærheten av utløpet fra et lakseslakteri (ca. 100 m), som håndterte fisk fra et spironucleose utbrudd51. Derfor regnes det ubehandlede avløpsvannet som den sannsynlige smittekilden. Flagellatene kan trolig overleve noe lenger i sjøvann sammen med slim og blod enn i rent vann.

Det er påvist S. salmonicida infeksjoner også i et sjørøyr anlegg, både i sjøoppdrett og i ferskvannsholdt stamrøyr. Disse tilfellene i Vesterålen, påvist i flere år, er helt uavhengige av de i laks. Trolig er smittekilden igjen ville laksefisk i vannkilden, men dette er så langt ikke sikkert påvist.

Det er som nevnt påvist S. salmonicida infeksjon i villfisk i flere vann i Troms og Finnmark56,67, i både aure og røyr. Det kan derfor antas at parasitten er alminnelig i disse områdene, og inntaksvannet i flere smoltanlegg kan trolig inneholde smitte. Tidligere har en ikke hatt god kunnskap om vevsfordelingen til S. salmonicida i lett infisert laks (bærere) og i de andre laksefiskene, og en har analysert på hjerte og tarmprøver. Vevsfordelingen i smittebærende frisk laks (postsmolt), og i smittet røyr er blitt undersøkt som del av en masterstudie106. Resultatene tyder på at vevsprøver fra bakre nyre og halemuskulatur er best for å avsløre infeksjon i postsmolt, mens prøver fra fortarmen og gjelle var best for røyr106. Når en undersøker vill røyr i vannkilder for S. salmonicida infeksjon, bør en derfor inkludere prøver fra disse vevene. Vevsfordelingen hos aure er hittil ikke godt kjent, en har påvist parasitten i tarm og blod (fisk fra smitteforsøk) og i hjerte og tarm (villfisk).

16 - Kontroll

Det viktigste kontrolltiltaket er forebygging, en må hindre parasitten å komme inn i smoltanlegg og smitte settefisken. Desinfeksjon av inntaksvannet skjer vanligvis med ultrafiolett lys (UV), som dreper ved å skade nukleinsyrer og muligens også andre molekyler. I smoltanlegg har det tidligere hovedsakelig blitt brukt såkalte Low-Pressure (LP) UV-lamper. Anbefalt dose UV i settefiskanlegg har vært 25 mJ/cm2. Nyere Medium pressure (MP) UV-lamper er mer effektive, og en har begynt å gå over til disse140.

UV-doser dødelige for S. salmonicida ble undersøkt av Johansen & Brenne140. Parasittens overlevelse etter UV ble evaluert ved dyrking.

Når eksponert for UV fra en LP-lampe, så de ingen S. salmonicida overlevelse etter eksponering for 75 mJ/cm2, og også etter eksponering for 50 mJ/cm2 døde flagellatene etter hvert ut. Derimot var der overlevelse i kulturer behandlet med 10 og 25 mJ/cm2 LP UV-dose140.

Det ble også funnet at en MP UV-dose på 50 mJ/cm2 eller høyere var dødelig. Også 10 og 25 mJ/cm2 hadde effekt, dosene var ikke umiddelbart dødelige for alle flagellatene, men ingen overlevde etter 48 timer. På basis av dette ble det anbefalt en dose på minimum 50 mJ/cm2 ved bruk av MP UV-lamper for desinfeksjon av inntaksvann, men organisk innhold i vannet kan medføre behov for høyere doser140.

Da smoltanlegget som kobles til spironucleosetilfellene hos laks ikke har årlige utbrudd, og ikke har brukt UV før i 2023, synes det sannsynlig at tilfellene knyttes til driftsepisoder med inntak av smittebærende vann, kanskje vann med mye sedimenter.

Hvis dette ikke skjer, og en bruker MP-UV lamper, er det trolig at S. salmonicida infeksjoner kan unngås i fremtiden.

17 - Desinfeksjon

Effekten av ulike desinfeksjonsmidler på S. salmonicida (referert til som Hexamita sp.) ble undersøkt av Poppe m.fl.141. Flagellatenes overlevelse ble vurdert i mikroskopet, og ubevegelige flagellater regnet som døde. Formalin (1:4000 formaldehyd løsning) og buffodin (10 ml/l) inaktiverte flagellatene inen 2 minutter. Virkon S (500mg/l) og hydrogenperoksid (500mg/l) hadde begrenset effekt, flagellatene var inaktivert innen 45 og 20 minutter respektivt. Klorin (1 mg NaOCl/l) hadde ingen innvirkning i løpet av en time141. Den dårlige effekten av noen av stoffene kan ha hatt med høyt organisk innhold i parasittsuspensjonen å gjøre141.

I «SpiroFri» prosjektet er det også testet ut noen relevante desinfeksjonsmidler. Det ble da brukt dyrking for å undersøke flagellatenes vitalitet, etter 30 min desinfeksjon. Ingen flagellater overlevde etter eksponering for 17 og 34 ppm klor, Virkon S (3%) og 100% etanol.

18 - Kjemoterapi

Kraftige infeksjoner med Spironucleus salmonis i laksefiskyngel er blitt behandlet med Furazolidon, 75-100 mg per kg fisk i 10-14 dager, eller Aminitrozole (Enheptin A), 20 mg per kg fôr i 3-4 dager6,55,129.

Testbehandling med Nifurazolidon mot systemisk spironucleose hos norsk oppdrettslaks og kongelaks i Canada gav ikke merkbar effekt55,129 .

Metronidazol (Flagyl®) bad (250-500 mg/100 l vann) brukes til å behandle akvariefisk30,37 og har vært brukt (i fôr) på laksefisk med enteritt på grunn av S. salmonis infeksjon142 .

Ingen av disse stoffene kan brukes på matfisk i Norge.

Hvitløksekstrakter hemmer veksten til Spironucleus vortens, og en har sett på om noen av stoffene I hvitløk har potensiale som miljøvennlige alternativer til metronidazol33,36-38,50,143-145 . Så langt har dette ikke ført frem.

19 - Referanser

1. Dobell C (1920) The discovery of the intestinal Protozoa of man. Proc R Soc Med 13: 1-15.

2. Seligo A (1887) Untersuchungen über Flagellaten. Beiträge zur Biologie der Pflanzen 4(2): 145-180.

3. Moore E (1922) Octomitus salmonis, a new species of intestinal parasite in trout. T Am Fish Soc 52: 74-97.

4. Schmidt W (1920) Untersuchungen über Octomitus intestinalis truttae. Archiv für Protistenkunde 40: 253-289.

5. Mo TA, Poppe TT, Iversen L (1990) Systemic hexamitosis in salt-water reared Atlantic salmon (Salmo salar L.). Bull Eur Ass Fish Pathol 10: 69-70.

6. Moe TA, Poppe T, Håstein T (1990) Encellede parasitter (Protozoa). In: Poppe TT, ed. Fiskehelse Sykdommer, behandling, forebygging . John Griegs Forlag; 228-239.

7. Fard MRS, Jørgensen A, Sterud E, Bleiss W, Poynton SL (2007) Ultrastructure and molecular diagnosis of Spironucleus salmonis (Diplomonadida) from rainbow trout Oncorhynchus mykiss in Germany. Diseases of Aquatic Organisms 75(1): 37-50.

8. Jørgensen A, Sterud E (2006) The marine pathogenic genotype of Spironucleus barkhanus from farmed salmonids redescribed as Spironucleus salmonicida n. sp. J Eukaryot Microbiol 53: 531-541.

9. Lavier G (1936) Sur la structure des Flagellés du genre Hexamita Duj. C R Soc Biol 121: 1177-1181.

10. Poynton SL, Sterud E (2002) Guidelines for species descriptions of diplomonad flagellates from fish. Journal of Fish Diseases 25: 15-31.

11. Lom J, Dykova I (1992) Protozoan parasites of fishes. vol 26. Developments in Aquaculture and Fisheries Science. Elsevier; 315.

12. Brugerolle G (1974) Contribution a l’étude cytologique et phylétique des diplozoaires (Zoomastigophorea, Diplozoa, Dangeard 1910). III. Etude ultrastructurale du genre Hexamita (Dujardin 1836). Protistologica 10: 83-90.

13. Brugerolle G (1975) Contribution a l’étude cytologique et phylétique des diplozoaires (Zoomastigophorea, Diplozoa, Dangeard 1910). VI. Charactères généraux des diplozoaires. Protistologica 11: 111-118.

14. Brugerolle G, Joyon L, Oktem N (1973) Contribution a l’étude cytologique et phylétique des diplozoaires (Zoomastigophorea, Diplozoa, Dangeard 1910). II. Etude ultrastructurale du genre Spironucleus (Lavier 1936). Protistologica 9: 495-502.

15. Vickerman K (1990) Phylum Zoomastigina Class Diplomonadida. In: Margulis L, Corliss JO, Melkonian M, Chapman DJ, eds. Handbook of Protoctista: The Structure, Cultivation, Habitats and Life Histories of the Eukaryotic Microorganisms and their Descendants. Jones and Bartlett Publishers; 200-210.

16. Brugerolle G (1991) Flagellar and cytoskeletal systems in amitochondrial flagellates: Archamoeba, Metamonada and Parabasalia. Protoplasma 164: 70-90.

17. Ástvaldsson Á (2019) Pathogenesis and cell biology of the salmon parasite Spironucleus salmonicida. THESIS, PhD, Uppsala University:

18. Roxström-Lindquist K, Jerlström-Hultqvist J, Jørgensen A, Troell K, Svärd SG, Andersson JO (2010) Large genomic differences between the morphologically indistinguishable diplomonads Spironucleus barkhanus and Spironucleus salmonicida. BMC Genomics 11(258):

19. Xu F, Jiménez-González A, Kurt Z, Ástvaldsson Á, Andersson JO, Svärd SG (2022) A chromosome-scale reference genome for Spironucleus salmonicida. Scientific Data 9:585: (doi:10.1038/s41597-022-01703-w)

20. Wiśniewska MM, Salomaki ED, Silberman JD, Terpis KX, Mazancová E, Táborský P, Jinatham V, Gentekaki E, Čepička I, Kolisko M (2024) Expanded gene and taxon sampling of diplomonads shows multiple switches to parasitic and free-living lifestyle. BMC Biology 22:217: (doi:10.1186/s12915-024-02013-w)

21. Jackson GA, Livingston RS, Riley LK, Livingston BA, Franklin CL (2013) Development of a PCR assay for the detection of Spironucleus muris. Journal of the American Association for Laboratory Animal Science 52(2): 165-170.

22. Miller KM, Gardner IA, Vanderstichel R, Burnley T, Schulze AD, Li S, Tabata A, Kaukinen KH, Ming TJ, Ginther NG (2016) Report on the performance evaluation of the Fluidigm BioMark platform for high-throughput microbe monitoring in salmon. Canadian Science Advisory Secretariat (CSAS), Research Document 2016/038, Pacific Region 2016(038):

23. Mizuno K, Urawa S, Katsumata Y, Morishita T, Minowa Y, Ban M (2020) Quantitative analysis of diplomonad flagellate Spironucleus salmonis infection in intestines of hatchery and wild salmonid fishes in Hokkaido. Fish Pathology 55(3): 61-70. (doi:doi.org/10.3147/jsfp.55.61)

24. Guo FC (2006) Spironucleus spp. and experimental spironucleosis in salmonids. University of Guelph;

25. Guo FC, Woo PTK (2004) Experimental infections of Atlantic salmon Salmo salar with Spironucleus barkhanus. Diseases of Aquatic Organisms 61: 59-66.

26. Kent ML, Ellis J, Fournie JW, Dawe SC, Bagshaw JW, Whitaker DJ (1992) Systemic hexamitid (Protozoa: Diplomonadida) infection in seawater pen-reared chinook salmon Oncorhynchus tshawytscha. Diseases of Aquatic Organisms 14: 81-89.

27. Alfjorden A (2018) Experimental Spironucleus infections in Atlantic salmon (Salmo salar). Hidden secrets of the life cycle of Spironucleus salmonicida revealed. Thesis, MSc, Uppsala Universitet:

28. Kulda J, Lom J (1964) Remarks on the diplomastigine flagellates from the intestine of fishes. Parasitology 54: 753-762.

29. Sommerhaug E (1995) Kultivering av mikroparasitten Hexamita sp. in vitro og in vivo i atlantisk laks (Salmo salar), og påvisning av antistoffaktivitet mot parasitten i atlantisk laks. cand. scient. Tromsø;

30. Tojo JL, Santamarina MT (1998) Oral pharmacological treatments for parasitic diseases of rainbow trout Oncorhynchus mykiss. I: Hexamita salmonis. Diseases of Aquatic Organisms 33: 51-56.

31. Uzmann JR, Hayduk SH (1963) In vitro culture of the flagellate protozoan Hexamita salmonis. Science 140: 290-292.

32. Uzmann JR, Paulik GJ, Hayduk SH (1965) Experimental hexamitiasis in juvenile coho salmon (Oncorhynchus kisutch) and steelhead trout (Salmo gairdneri). T Am Fish Soc 94(1): 53-61.

33. Williams CF (2013) Life cycle, biochemistry and chemotherapy of Spironucleus vortens. Thesis, PhD, School of Biosciences, Cardiff University:

34. Williams CF, Vacca AR, Lloyd D, Schelkle B, Cable J (2013) Non-invasive investigation of Spironucleus vortens transmission in freshwater angelfish Pterophyllum scalare. Diseases of Aquatic Organisms 105(3): 211-223. (doi:Doi 10.3354/Dao02618)

35. Woo PTK, Poynton SL (1995) Diplomonadida, Kinetoplastida and Amoebida (Phylum Sarcomastigophora). In: Woo PTK, ed. Fish Diseases and Disorders Vol I Protozoan and metazoan infections. CAB International; 27-96.

36. Leitsch D, Williams CF, Hrdy I (2018) Redox pathways as drug targets in microaerophilic parasites. Trends in Parasitology 34(7): 576-586.

37. Lloyd D, Williams CF (2014) Comparative biochemistry of Giardia, Hexamita and Spironucleus: Enigmatic diplomonads. Molecular & Biochemical Parasitology 197: 43–49.

38. Williams CF, Yarlett N, Aon MA, Lloyd D (2014) Antioxidant defences of Spironucleus vortens: Glutathione is the major non-protein thiol. Molecular & Biochemical Parasitology 196: 45–52.

39. Stairs CW, Kokla A, Ástvaldsson Á, Jerlström-Hultqvist J, Svärd S, Ettema TJG (2019) Oxygen induces the expression of invasion and stress response genes in the anaerobic salmon parasite Spironucleus salmonicida. BMC Biology 17:19: (doi:10.1186/s12915-019-0634-8)

40. Aguilar-Diaz H, Carrero JC, Argüello-Garcia R, Laclette JP, Morales-Montor J (2011) Cyst and encystment in protozoan parasites: optimal targets for new life-cycle interrupting strategies? Trends in Parasitology 27(10): 450-458.

41. Benchimol M, De Souza W (2011) The ultrastructure of Giardia during growth and differentiation. In: Lujan HD, Svärd S, eds. Giardia A Model Organism Springer. Springer; 141-160:chap 9.

42. Kunstyr I (1977) Infectious form of Spironucleus (Hexamita) muris: banded cysts. Laboratory Animals 11: 185-188.

43. Brugerolle G, Kunstyr I, Senaud J, Friedhoff KT (1980) Fine structure of trophozoites and cysts of the pathogenic diplomonad Spironucleus muris. Z Parasitekd 62: 47-61.

44. Uldal A (1996) Life cycle observations on Hexamita salmonis from rainbow trout intestine. In vitro studies. Bull Eur Ass Fish Pathol 16: 112-114.

45. Karlsbakk E Upubliserte observasjoner.

46. Xu F, Jerlström-Hultqvist J, Einarsson E, Astvaldsson A, Svärd SG, Andersson JO (2014) The genome of Spironucleus salmonicida highlights a fish pathogen adapted to fluctuating environments. PLoS Genet 10(2): e1004053. (doi:doi:10.1371/journal.pgen.1004053)

47. Helsø M (2024) Miljøoverlevelse hos Spironucleus salmonicida - parasitten som forårsaker systemisk spironukleose hos oppdrettslaks. MSc Thesis, BiO, Univ Bergen, :

48. Wood AM, Smith HV (2005) Spironucleosis (Hexamitiasis, Hexamitosis) in the ring-necked pheasant (Phasianus colchicus): Detection of cysts and description of Spironucleus meleagridis in stained smears. Avian Diseases 49(1): 138-143.

49. Lavier G (1936) Sur quelques flagelles intestinaux de Poissons marins. Ann Parasitol 14: 278-289.

50. Millet C (2009) Growth, metabolism, ultrastructure and chemotherapy of Spironucleus vortens. PhD Thesis, Cardiff University:

51. Poppe TT, Mo TA, Iversen L (1992) Disseminated hexamitosis in sea-caged Atlantic salmon Salmo salar. Diseases of Aquatic Organisms 14: 91-97.

52. Kent ML (1998) Protozoa and Myxozoa. In: Kent ML, Poppe TT, eds. Diseases of seawater netpen-reared salmonid fishes. Fisheries & Oceans; 49-67.

53. Jerlström-Hultqvist J, Einarsson E, Xu F, Hjort K, Ek B, Steinhauf D, Hultenby K, Bergquist J, Andersson JO, Svärd SG (2013) Hydrogenosomes in the diplomonad Spironucleus salmonicida. Nature Communications 4:2493: 9 p. (doi:DOI: 10.1038/ncomms3493)

54. Ástvaldsson Á, Hultenby K, Svärd SG, Jerlström-Hultqvist J (2019) Proximity staining using enzymatic protein tagging in diplomonads. mSphere 4(2): e00153-19.

55. Mo TA, Poppe TT (1992) Hexamitose i nordnorske oppdrettsanlegg: en tilfeldighet eller et nytt alvorlig problem. Norsk Fiskeoppdrett : 48-50.

56. Jørgensen A, Torp K, Bjørland MA, Poppe TT (2011) Wild Arctic char Salvelinus alpinus and trout Salmo trutta : hosts and reservoir of the salmonid pathogen Spironucleus salmonicida (Diplomonadida; Hexamitidae). Diseases of Aquatic Organisms 97(1): 57-63. (doi:Doi 10.3354/Dao02404)

57. Mizuno S, Urawa S, Katsumata Y, Morishita T, Ban M (2020) Ultrastructural and molecular phylogenetic identification of the diplomonad flagellate Spironucleus salmonis infecting hatchery-reared salmonid fishes in Hokkaido. Fish Pathol 55(1): 8-17.

58. Denikina N, Kondratov I, Belkova N, Sokolov S (2019) The phylogenetic position of Spironucleus sp. (Diplomonadida: Hexamitidae) from the Intestine of Chinese sleeper Perccottus glenii Dybowski, 1877 (Actinopterygii: Odontobutidae). Acta Parasitologica 64: 347–351.

59. Denikina N, Nebesnykh I, Maikova O, Dzyuba E, Belkova N (2016) Genetic diversity of Diplomonadida in fish of the genus Coregonus from Southeastern Siberia. Acta Parasitologica 61: 299-306. (doi:10.1515/ap-2016-0040)

60. NVI (2023) Fiskehelserapporten 2022. Veterinærinstituttet rapportserie 2023(5a):

61. Jørgensen A, Sterud E (2007) Phylogeny of Spironucleus (Eopharyngia : Diplomonadida : Hexamitinae). Protist 158: 247-254.

62. Jørgensen A, Alfjorden A, Henriksen K, Sterud E (2007) Phylogenetic analysis of the SSU rRNA gene from the piscine diplomonad Spironucleus torosus (Diplomonadida : Hexamitinae). Folia Parasitologica 54: 277-282.

63. Chapman JM (2020) Factors influencing infectious agent communities and infection burden in free-ranging migratory adult salmonids across Canada. PhD Thesis, Carleton University, Ottawa, Ontario:

64. Karlsbakk E, Sandlund N, Austgulen MH, Mæhle S, Berg-Rolness H, Skår C, Lofnes A, Aga J, Ghebretnsae DB, Nordbø J, Sengee A, Røttingen TB, Kvamme BO (2025) Verter og vektorer i sjø for Spironucleus salmonicida, mikroparasitten som forårsaker systemisk spironucleose i oppdrettslaks. Abstract, Frisk Fisk 2025 Tromsø:

65. Balta F, Balta ZD, Akhan S (2019) Seasonal distribution of protozoan parasite infections in rainbow trout (Oncorhynchus mykiss) farms in the eastern Black Sea of Turkey. Bulletin of the European Association of Fish Pathologists 39(1): 31-39.

66. Bel’kova NL, Dzyuba EV, Sukhanova EV (2008) Molecular-genetic detection of a nonpathogenic genotype of Spironucleus barkhanus (Diplomonadida: Hexamitidae) in the black Baikal grayling (Thymallus arcticus baicalensis Dybowski, 1874). Biology Bulletin 35(2): 219-221.

67. Bjørland M, Torp K (2009) Spironucleosis in farmed Atlantic salmon (Salmo salar). MSc. Norwegian School of Veterinary Science;

68. Denikina N, Nebesnykh IA, Kondratov IG, Khanaev IV, Dzyuba EV (2018) Representatives of Diplomonadida in fishes of East Siberia. Limnology and Freshwater Biology 2018: 103-106.

69. Kristmundsson A, Richter SD (2009) Parasites of resident Arctic charr, Salvelinus alpinus, and brown trout, Salmo trutta, in two lakes in Iceland. Icel Agric Sci 22: 5-18.

70. Andersson KA (1964) Fisksjukdommar och fiskparasiter. In: Andersson KA, ed. Fiskar och Fiske i Norden. 3 ed. Bokförlaget Natur och Kultur; 695-710.

71. Buchmann K, Uldal A (1996) Temperature, pH and bile dependent in vitro cultivation of Hexamita salmonis from rainbow trout Oncorhynchus mykiss intestine. Diseases of Aquatic Organisms 24: 169-172.

72. Buchmann K, Uldal A, Lyholt HCK (1995) Parasite infections in Danish trout farms. Acta vet scand 36: 283-298.

73. Bylund G, Fagerholm H-P (1984) Fisksjukdommar. Yrkesutbildingsstyrelsen Statens Tryckericentral; 108.

74. Shulman BS, Ieshko EP (2005) Parasite fauna of Arctic charr (Salvelinus alpinus) and greyling (Thymallus thymallus) in some lakes from northern Finland. Lososevidnye Ryby Vostochnoi Fennoskandii, Petrozavodsk: 195-197.

75. Kirjusina M, Vismanis K (2007) Checklist of the parasites of fishes of Latvia. FAO Fisheries Technical Paper 369/3: 106 p.

76. Poynton SL (1986) Distribution of the flagellate Hexamita salmonis Moore, 1922 and the microsporidian Loma salmonae Putz, Hoffman and Dunbar, 1965 in brown trout, Salmo trutta L., and rainbow trout, Salmo gairdneri Richardson, in the River Itchen (U.K.) and three of its fish farms. J Fish Biol 29: 417-429.

77. Poynton SL, Fard MRS, Jenkins J, Ferguson HW (2004) Ultrastructure of Spironucleus salmonis n. comb. (formerly Octomitus salmonis sensu Moore 1922, Davis 1926, and Hexamita salmonis sensu Ferguson 1979), with a guide to Spironucleus species. Diseases of Aquatic Organisms 60: 49-64.

78. Lom J, Dyková I (1989) Protozoární paraziti uzitkovych ryb [Protozoan parasites of commercial fish]. Vydal. Cesky rybarsky svaz ve Statnim zemedelskem nakladatelstvi [Czech Fishermen's Association in the State Agricultural Publishing House]; 102.

79. Dyková I, Lom J (2007) Histopathology of protistan and myxozoan infections in fishes. Academia; 219.

80. Guz L, Puk K (2015) First molecular identification of Spironucleus salmonis (Diplomonadida) from diseased rainbow trout Oncorchynchus mykiss in Poland. Med Weter 71(8): 497-499.

81. Becker CD (1977) Flagellate parasites of fish. In: Kreier, ed. Parasitic Protozoa. Academic Press; 357-416.

82. Skenderovic I, Adrovic A, Jazic A, Zuko A, Hadzimustafic E (2020) Review of freshwater fish parasitofauna of Bosnia and Herzegovina. Biologia 76(2): (doi:10.2478/s11756-020-00565-0)

83. Imamovic V (1986) Parasites and parasitoses in the fish in some salmonid hatcheries in Bosnia-Hercegovina I. Ichthyobodiosis and hexamitosis. Veterinaria 35: 47-66.

84. Grupcheva GI, Golemansky VG, Lom J, Dykova I, Pavlaskova M (1986) Protozoan parasites of the fish in some Bulgarian reservoirs. III. Ichthyoparasiting fauna in the "Dospat" reservoir. Acta Zoologica Bulgarica 31: 37-41.

85. Busarova OU (2024) Parasitofauna of Dolly Varden Salvelinus malma complex in Kamchatka. The researchers of the aquatic biological resources of Kamchatka and the north-west part of the Pacifi Ocean 75: 22-52. (doi:10.15853/2072-8212.2024.75.22-52)

86. Konovalov SM (1975) Differentiation of local populations of sockeye salmon Oncorhynchus nerka (Walbaum). University of Washington, Publications in Fisheries, new series (Sagen, LV, transl) 6: 1-290.

87. Zaika VE (1965) The parasitofauna of fish in Lake Baikal. Izdatel’stvo "Nauka"; 106.

88. Barskaya YY, Ieshko EP (2005) Parasite faunas of salmonoids from the Paanajarvi -Oulanga lake-river system and its formation patterns. Lososevidnye Ryby Vostochnoi Fennoskandii. 13-22.

89. Petrushevskii GK, Pozdnyakova (Vikhrova) MN, Shul'man SS (1957) The parasites of fish from Braslav Lakes in Belorussia. In: Petrushevskii GK, ed. Parasites and diseases of fish. Otdel Rybnoi Promyshlennosti Gosplana RSFSR; 336-338. vol. Bulletin of the All/Union Scientific Research Institute of Lake and River Fisheries.

90. Vinnichenko LN, Zaika VE, Timofeev VA, Shtein GA, Shulman SS (1971) Parasitic Protozoa of fishes from the Amur river basin. Parazitologicheskii Sbornik Zoologicheskogo Instituta Akademii Nauk SSSR 25: 10-40.

91. Pazooki J, Masoumian M (2012) Synopsis of the parasites in Iranian freshwater fishes. Iranian Journal of Fisheries Sciences 11(3): 570-591.

92. Ogut H, Parlak R (2014) Hexamitiasis leads to lower metabolic rates in rainbow trout Oncorhynchus mykiss (Walbaum) juveniles. J Fish Dis 37: 1013-1020.

93. Timur G, Karatas S, Akayli T, Ercan MD, Yardimci RE (2009) A histopathological study of hexamitiasis in farmed rainbow trout (Oncorhynchus mykiss) fry in Turkey. Bulletin of the European Association of Fish Pathologists 29(3): 104-108.

94. Hoffmann GL (1999) Parasites of North American freshwater fishes. 2 ed. Comstock Publishing Associates; 539.

95. Hare GM, Frantsi C (1974) Abundance and potential pathology of parasites infecting salmonids in Canadian maritime hatcheries. Journal of the Fisheries Research Board of Canada 31: 1031-1036.

96. Love MS, Moser M (1983) A checklist of parasites of California, Oregon, and Washington marine and estuarine fishes. NOAA Technical Report NMFS SSRF 777: 1-576.

97. Wood JW (1979) Diseases of Pacific salmon; Their prevention and treatment. 3 ed. State of Washington, Department of Fisheries, Hatchery Division; 82.

98. Moore E (1923) The life-history of Octomitus salmonis, an intestinal flagellate of trout. Anat Rec 26: 358-359.

99. Davis HS (1926) Octomitus salmonis, a parasitic flagellate of trout. Bull US Bur Fish 42: 9-26.

100. Davis HS (1925) The intestinal protozoa of trout. T Am Fish Soc 5 (1924): 57-63.

101. Davis HS (1953) Culture and diseases of game fishes. Univ. California Press; 332.

102. Turovskij A (1985) Parasitofauna of fish in the southern Gulf of Finland. Finnish Fish Res 6: 106-111.

103. Sterud E, Poppe T, Bornø G (2002) Programkonferanse Havbruk og Villaks, Norges Forskningsråd; 46.

104. Sterud E, Poppe T, Bornø G (2003) Intracellular infection with Spironucleus barkhanus (Diplomonadida : Hexamitidae) in farmed Arctic char Salvelinus alpinus. Diseases of Aquatic Organisms 56: 155-161.

105. Sterud E, Poppe TT, Bornø G (2003) Systemic and intracellular infection with Spironucleus barkhanus in farmed Arctic char, Salvelinus alpinus. 6 ISAFP Bloemfontein, South Africa (Sixth International Symposium on fish Parasites, University of the Free State, Bloemfontein, South Africa): 31.

106. Lofnes A (2025) Spironucleus salmonicida – histopatologi og vevstropisme i ulike vertsarter. THESIS, MSc, BiO, UiB:

107. Poppe TT, Mo TA (1993) Systemic, granulomatous hexamitosis of farmed Atlantic salmon: Interaction with wild fish. Fisheries Research 17: 147-152.

108. Alfjorden A, Astvaldsson A, Jansson E, Svärd S (2019) Experimental challenge of Atlantic salmon (Salmo salar) with the diplomonad parasite Spironucleus salmonicida to characterize the infection cycle. http://wwwdiva-portalorg/smash/recordjsf?pid=diva2%3A1295066& :

109. Ferguson HW (1979) Scanning and transmission electron microscopical observations on Hexamita salmonis (Moore, 1922) related to mortalities in rainbow trout fry Salmo gairdneri Richardson. J Fish Dis 2: 57-67.

110. Millet COM, Williams CF, Hayes AJ, Hann AC, Cable J, Lloyd D (2013) Mitochondria-derived organelles in the diplomonad fish parasite Spironucleus vortens. Experimental Parasitology 135: 262–273.

111. Lloyd D, Chapman A, Ellis JE, Hillman K, Paget TA, Yarlett N, Williams AG (2021) Oxygen levels are key to understanding “anaerobic” protozoan pathogens with micro-aerophilic lifestyles. Advances in Microbial Physiology 79: 163-240.

112. Lloyd D, Millet CO, Williams CF, Hayes AJ, Pope SJA, Pope I, Borri P, Langbein W, Olsen LF, Isaacs MD, Lunding A (2020) Functional imaging of a model unicell: Spironucleus vortens as an anaerobic but aerotolerant flagellated protist. Advances in Microbial Physiology 76: 41-79.

113. Millet COM, Lloyd D, Coogan MP, Rumsey J, Cable J (2011) Carbohydrate and amino acid metabolism of Spironucleus vortens. Experimental Parasitology (129): 17–26.

114. Moroff T (1904) Beitrag zur Kenntnis einiger Flagellaten. Arch Protistenkd 3: 69-106.

115. Davis HS (1923) Observations on an intestinal flagellate of trout. Journal of Parasitology 9(3): 153-160.

116. Uzmann JR (1963) The Hexamita (=Octomitus) problem: a preliminary report. Progr Fish Cult 25(3): 141-143.

117. Morrison CM (1987) Histology of the Atlantic Cod, Gadus morhua: An Atlas. Part one. Digestive tract and associated organs. Can Spec Publ Fish Aquat Sci 98: 219 p.

118. Poynton SL, Morrison CM (1990) Morphology of diplomonad flagellates: Spironucleus torosa n. sp. from Atlantic cod Gadus morhua L., and haddock Melanogrammus aeglefinus (L.) and Hexamita salmonis Moore from brook trout Salvelinus fontinalis (Mitchill). J Protozool 37: 369-383.

119. Guo FC, Woo PTK (2004) Detection and quantification of Spironucleus barkhanus in experimentally infected Atlantic salmon Salmo salar. Diseases of Aquatic Organisms 61: 175-178.

120. Einszporn-Orecka T (1979) Flagellates Spironucleus anguillae sp. n. parasites of eel (Anguilla anguilla L.). Acta Protozoologica 18: 237-241.

121. Molnár K (1974) Data on the “octomitosis” (spironucleosis) of cyprinids and aquary fishes. Acta Vet Acad Sci Hungaricae 24: 99-106.

122. Ferguson HW, Moccia RD (1980) Disseminated hexamitiasis in Siamese fighting fish. Journal of the American Veterinary Medical Association 177: 854-857.

123. Poynton SL, Fraser W, Francis-Floyd R, Rutledge P, Reed P, Nerad TA (1995) Spironucleus vortens n. sp. from the freshwater angelfish Pterophyllum scalare: morphology and culture. J Eukaryot Microbiol 42: 731-742.

124. Amlacher E (1972) Taschenbuch der Fischkrankheiten für Veterinärmediziner und Biologen. Gustav Fischer Verlag; 378.

125. Mankhakhet S, Suanyuk N, Tantikitti C, Phromkunthong W, Kiriratnikom S, Lerssutthichawal T, Viriyapongsutee B (2012) Diplomonad flagellates of some ornamental fish cultured in Thailand. Songklanakarin J Sci Technol 34(5): 487-494.

126. Paull GC, Matthews RA (2001) Spironucleus vortens, a possible cause of hole-in-the-head disease in cichlids. Diseases of Aquatic Organisms 45: 197-202.

127. Mo TA, Poppe TT, Appleby C (1993) Kohabiteringsforsøk med fire ulike arter laksefisk og en encellet parasitt i slekten Hexamita . Norsk Veterinærtidsskrift 105: 349-353.

128. Kvamme BO, Mæhle S, Berg-Rolness H, Austgulen MH, Sengee A, Ghebretnsae DB, Nordbø J, Skår C, Penaranda MMD, Skaftnesmo KO, Karlsbakk E (2025) Utprøving av fem ulike Spironucleus salmonicida smittemodellar for post-smolt laks i sjøvatn. Rapport fra havforskningen 2025(25):

129. Poppe TT, Mo TA (1992) Hexamita - parasitten gir sykdom hos oppdrettslaks i sjø. Norsk Fiskeoppdrett 1992: 26-28.

130. Bruno D, Noguera P, Poppe TT (2013) A Colour Atlas of Salmonid Diseases. Springer.

131. Sterud E, Poppe TT, Larsen T, Iversen L (2002) Men Spironucleus var ikke død. Norsk Fiskeoppdrett : 38-40.

132. Markeng D (2001) Spironukleose i Finnmark. Aquavisa 1(3): 2-3.

133. Kyst.no (2022) Parasitt har gitt betydelige tap i form av dødelighet og destruksjon av fisk - FHF lyser nå ut midler. Kystno Tirsdag 18. oktober 2022 - 14:17:

134. Furuset A (2024) Parasitt kostet lakseselskapet 900 mill. IntraFish Publisert 22 februar 2024, kl 1102 :

135. Lie K-I, Wisløff H, Alarcon M, Nylund S (2022) Spironukleose hos atlantisk laks. Norsk Veterinærtidsskrift 134(6): 400-401.

136. Tjessem AV (2024) Upubliserte observasjoner 2024.

137. NVI (2024) Fiskehelserapporten 2023. Veterinærinstituttet rapportserie 2024(8a):

138. Karlsbakk E, Fjær MA, Moore LJ, Skaala Ø, Madhun AS (2020) Pukkellaks og villaks, patogener og parasitter - hva vet vi? Norsk Fiskeoppdrett 2020(1): 60-63.

139. Fjær MA (2019) Pukkellaks ( Oncorhynchus gorbuscha ) tatt på Vestlandet. - Hvilke parasitter og infeksjoner bærer de på? THESIS Univ Bergen, Dept Biosciences :

140. Johansen L-H, Brenne H (2024) Effekten av ulike desinfeksjonsstrategier på Spironucleus salmonicida . AP 2.1. Nofima Rapport 2024(25):

141. Poppe TT, Mo TA, Torgersen Y (1993) Effekt av ulike behandlingsmidler på en encellet parasitt i slekten Hexamita isolert fra oppdrettslaks. Norsk Veterinærtidsskrift 105: 835-838.

142. Kayis S, Ozcelep T, Capkin E, Altinok I (2009) Protozoan and metazoan parasites of cultured fish in Turkey and their applied treatments. The Israeli Journal of Aquaculture – Bamidgeh 61(2): 93-102.

143. Williams CF, Lloyd D, Poynton SL, Jorgensen A, Millet COM, Cable J (2011) Spironucleus species: Economically-important fish pathogens and enigmatic single-celled eukaryotes. Journal of Aquaculture, Research & Development 2011(S2): 13 p. (doi:10.4172/2155-9546.S2-002)

144. Williams CF, Lloyd D, Kolarich D, Alagesan K, Duchene M, Cable J, Williams D, Leitsch D (2012) Disrupted intracellular redox balance of the diplomonad fish parasite Spironucleus vortens by 5-nitroimidazoles and garlic-derived compounds. Veterinary Parasitology 190: 62– 73.

145. Williams CF, Vacca AR, Lloyd D, Coogan MP, Evans G, Graz M, Cable J (2016) The redox-active drug metronidazole and thiol-depleting garlic compounds act synergistically in the protist parasite Spironucleus vortens. Molecular & Biochemical Parasitology 206: 20–28.



Referanser, alfabetisk.

Aguilar-Diaz H, Carrero JC, Argüello-Garcia R, Laclette JP, Morales-Montor J. Cyst and encystment in protozoan parasites: optimal targets for new life-cycle interrupting strategies? Trends in Parasitology. 2011;27(10):450-458.

Alfjorden A. Experimental Spironucleus infections in Atlantic salmon (Salmo salar). Hidden secrets of the life cycle of Spironucleus salmonicida revealed. Thesis, MSc, Uppsala Universitet. 2018;

Alfjorden A, Astvaldsson A, Jansson E, Svärd S. Experimental challenge of Atlantic salmon (Salmo salar) with the diplomonad parasite Spironucleus salmonicida to characterize the infection cycle. http://wwwdiva-portalorg/smash/recordjsf?pid=diva2%3A1295066&. 2019;

Amlacher E. Taschenbuch der Fischkrankheiten für Veterinärmediziner und Biologen. Gustav Fischer Verlag; 1972:378.

Andersson KA. Fisksjukdommar och fiskparasiter. In: Andersson KA, ed. Fiskar och Fiske i Norden. 3 ed. Bokförlaget Natur och Kultur; 1964:695-710.

Ástvaldsson Á. Pathogenesis and cell biology of the salmon parasite Spironucleus salmonicida. THESIS, PhD, Uppsala University. 2019;

Ástvaldsson Á, Hultenby K, Svärd SG, Jerlström-Hultqvist J. Proximity staining using enzymatic protein tagging in diplomonads. mSphere. 2019;4(2):e00153-19.

Balta F, Balta ZD, Akhan S. Seasonal distribution of protozoan parasite infections in rainbow trout (Oncorhynchus mykiss) farms in the eastern Black Sea of Turkey. Bulletin of the European Association of Fish Pathologists. 2019;39(1):31-39.

Barskaya YY, Ieshko EP. Parasite faunas of salmonoids from the Paanajarvi -Oulanga lake-river system and its formation patterns. Lososevidnye Ryby Vostochnoi Fennoskandii. 2005:13-22.

Becker CD. Flagellate parasites of fish. In: Kreier, ed. Parasitic Protozoa. Academic Press; 1977:357-416.

Bel’kova NL, Dzyuba EV, Sukhanova EV. Molecular-genetic detection of a nonpathogenic genotype of Spironucleus barkhanus (Diplomonadida: Hexamitidae) in the black Baikal grayling (Thymallus arcticus baicalensis Dybowski, 1874). Biology Bulletin. 2008;35(2):219-221.

Benchimol M, De Souza W. The ultrastructure of Giardia during growth and differentiation. In: Lujan HD, Svärd S, eds. Giardia A Model Organism Springer. Springer; 2011:141-160:chap 9.

Bjørland M, Torp K. Spironucleosis in farmed Atlantic salmon (Salmo salar). MSc thesis NVH, 2009.

Brugerolle G. Contribution a l’étude cytologique et phylétique des diplozoaires (Zoomastigophorea, Diplozoa, Dangeard 1910). III. Etude ultrastructurale du genre Hexamita (Dujardin 1836). Protistologica. 1974;10:83-90.

Brugerolle G. Contribution a l’étude cytologique et phylétique des diplozoaires (Zoomastigophorea, Diplozoa, Dangeard 1910). VI. Charactères généraux des diplozoaires. Protistologica. 1975;11(1):111-118.

Brugerolle G. Flagellar and cytoskeletal systems in amitochondrial flagellates: Archamoeba, Metamonada and Parabasalia. Protoplasma. 1991;164:70-90.

Brugerolle G, Joyon L, Oktem N. Contribution a l’étude cytologique et phylétique des diplozoaires (Zoomastigophorea, Diplozoa, Dangeard 1910). II. Etude ultrastructurale du genre Spironucleus (Lavier 1936). Protistologica. 1973;9:495-502.

Brugerolle G, Kunstyr I, Senaud J, Friedhoff KT. Fine structure of trophozoites and cysts of the pathogenic diplomonad Spironucleus muris. Z Parasitekd. 1980;62:47-61.

Bruno D, Noguera P, Poppe TT. A Colour Atlas of Salmonid Diseases. Springer; 2013.

Buchmann K, Uldal A, Lyholt HCK. Parasite infections in Danish trout farms. Acta vet scand. 1995;36:283-298.

Buchmann K, Uldal A. Temperature, pH and bile dependent in vitro cultivation of Hexamita salmonis from rainbow trout Oncorhynchus mykiss intestine. Dis aquat Org. 1996;24:169-172.

Busarova OU. Parasitofauna of Dolly Varden Salvelinus malma complex in Kamchatka. The researchers of the aquatic biological resources of Kamchatka and the north-west part of the Pacifi Ocean. 2024;75:22-52. doi:10.15853/2072-8212.2024.75.22-52

Bylund G, Fagerholm H-P. Fisksjukdommar. Yrkesutbildingsstyrelsen Statens Tryckericentral; 1984:108.

Chapman JM. Factors influencing infectious agent communities and infection burden in free-ranging migratory adult salmonids across Canada. PhD Thesis, Carleton University, Ottawa, Ontario. 2020;

Davis HS. Culture and diseases of game fishes. Univ. California Press; 1953:332.

Davis HS. Observations on an intestinal flagellate of trout. Journal of Parasitology. 1923;9(3):153-160.

Davis HS. Octomitus salmonis, a parasitic flagellate of trout. Bull US Bur Fish. 1926;42:9-26.

Davis HS. The intestinal protozoa of trout. Trans Amer Fish Soc. 1925;5 (1924):57-63.

Denikina N, Kondratov I, Belkova N, Sokolov S. The phylogenetic position of Spironucleus sp. (Diplomonadida: Hexamitidae) from the Intestine of Chinese sleeper Perccottus glenii Dybowski, 1877 (Actinopterygii: Odontobutidae). Acta Parasitologica. 2019;64:347–351.

Denikina N, Nebesnykh I, Maikova O, Dzyuba E, Belkova N. Genetic diversity of Diplomonadida in fish of the genus Coregonus from Southeastern Siberia. Acta Parasitologica. 2016;61(2):299-306. doi:10.1515/ap-2016-0040

Denikina N, Nebesnykh IA, Kondratov IG, Khanaev IV, Dzyuba EV. Representatives of Diplomonadida in fishes of East Siberia. Limnology and Freshwater Biology. 2018;2018(2):103-106.

Dobell C. The discovery of the intestinal Protozoa of man. Proc R Soc Med. 1920;v.13(Sect Hist Med):1-15.

Dyková I, Lom J. Histopathology of protistan and myxozoan infections in fishes. Academia; 2007:219.

Einszporn-Orecka T. Flagellates Spironucleus anguillae sp. n. parasites of eel (Anguilla anguilla L.). Acta Protozoologica. 1979;18:237-241.

Fard MRS, Jørgensen A, Sterud E, Bleiss W, Poynton SL. Ultrastructure and molecular diagnosis of Spironucleus salmonis (Diplomonadida) from rainbow trout Oncorhynchus mykiss in Germany. Diseases of Aquatic Organisms. Mar 29 2007;75(1):37-50.

Ferguson HW, Moccia RD. Disseminated hexamitiasis in Siamese fighting fish. Journal of the American Veterinary Medical Association. 1980;177:854-857.

Ferguson HW. Scanning and transmission electron microscopical observations on Hexamita salmonis (Moore, 1922) related to mortalities in rainbow trout fry Salmo gairdneri Richardson. J Fish Dis. 1979;2:57-67.

Fjær MA. Pukkellaks (Oncorhynchus gorbuscha) tatt på Vestlandet. - Hvilke parasitter og infeksjoner bærer de på? MSc thesis, Univ Bergen, Dept Biosciences. 2019

Furuset A. Parasitt kostet lakseselskapet 900 mill. IntraFish Publisert 22 februar 2024, kl 1102. 2024;

Grupcheva GI, Golemansky VG, Lom J, Dykova I, Pavlaskova M. Protozoan parasites of the fish in some Bulgarian reservoirs. III. Ichthyoparasiting fauna in the "Dospat" reservoir. Acta Zool Bulg. 1986;31:37-41.

Guo FC. Spironucleus spp. and experimental spironucleosis in salmonids. University of Guelph; 2006.

Guo FC, Woo PTK. Detection and quantification of Spironucleus barkhanus in experimentally infected Atlantic salmon Salmo salar. Diseases of Aquatic Organisms. 2004;61:175-178.

Guo FC, Woo PTK. Experimental infections of Atlantic salmon Salmo salar with Spironucleus barkhanus. Diseases of Aquatic Organisms. 2004;61:59-66.

Guz L, Puk K. First molecular identification of Spironucleus salmonis (Diplomonadida) from diseased rainbow trout Oncorchynchus mykiss in Poland. Med Weter. 2015;71(8):497-499.

Hare GM, Frantsi C. Abundance and potential pathology of parasites infecting salmonids in Canadian maritime hatcheries. J Fish Res Bd Can. 1974;31:1031-1036.

Helsø M. Miljøoverlevelse hos Spironucleus salmonicida - parasitten som forårsaker systemisk spironukleose hos oppdrettslaks. MSc Thesis, BiO, Univ Bergen, . 2024;

Hoffmann GL. Parasites of North American freshwater fishes. 2 ed. Comstock Publishing Associates; 1999:539.

Imamovic V. Parasites and parasitoses in the fish in some salmonid hatcheries in Bosnia-Hercegovina I. Ichthyobodiosis and hexamitosis. Veterinaria. 1986;35:47-66.

Jackson GA, Livingston RS, Riley LK, Livingston BA, Franklin CL. Development of a PCR assay for the detection of Spironucleus muris. Journal of the American Association for Laboratory Animal Science. 2013;52(2):165-170.

Jerlström-Hultqvist Jea. Hydrogenosomes in the diplomonad Spironucleus salmonicida. Nature Communications. 2013;4:2493:9 p. doi:DOI: 10.1038/ncomms3493

Johansen L-H, Brenne H. Effekten av ulike desinfeksjonsstrategier på Spironucleus salmonicida. AP 2.1. Nofima Rapport. 2024;2024(25)

Jørgensen A, Alfjorden A, Henriksen K, Sterud E. Phylogenetic analysis of the SSU rRNA gene from the piscine diplomonad Spironucleus torosus (Diplomonadida : Hexamitinae). Folia Parasitologica. 2007;54:277-282.

Jørgensen A, Sterud E. The marine pathogenic genotype of Spironucleus barkhanus from farmed salmonids redescribed as Spironucleus salmonicida n. sp. J Eukaryot Microbiol. 2006;53:531-541.

Jørgensen A, Sterud E. Phylogeny of Spironucleus (Eopharyngia : Diplomonadida : Hexamitinae). Protist. 2007;158:247-254.

Jørgensen A, Torp K, Bjørland MA, Poppe TT. Wild Arctic char Salvelinus alpinus and trout Salmo trutta: hosts and reservoir of the salmonid pathogen Spironucleus salmonicida (Diplomonadida; Hexamitidae). Diseases of Aquatic Organisms. 2011;97(1):57-63. doi:Doi 10.3354/Dao02404

Karlsbakk E, Fjær MA, Moore LJ, Skaala Ø, Madhun AS. Pukkellaks og villaks, patogener og parasitter - hva vet vi? Norsk Fiskeoppdrett. 2020;2020(1):60-63.

Karlsbakk E, Sandlund N, Austgulen MH, et al. Verter og vektorer i sjø for Spironucleus salmonicida, mikroparasitten som forårsaker systemisk spironucleose i oppdrettslaks. Abstract, Frisk Fisk 2025 Tromsø. 2025;

Kayis S, Ozcelep T, Capkin E, Altinok I. Protozoan and metazoan parasites of cultured fish in Turkey and their applied treatments. The Israeli Journal of Aquaculture – Bamidgeh. 2009;61(2):93-102.

Kent ML, Ellis J, Fournie JW, Dawe SC, Bagshaw JW, Whitaker DJ. Systemic hexamitid (Protozoa: Diplomonadida) infection in seawater pen-reared chinook salmon Oncorhynchus tshawytscha. Dis Aquat Org. 1992;14:81-89.

Kent ML. Protozoa and Myxozoa. In: Kent ML, Poppe TT, eds. Diseases of seawater netpen-reared salmonid fishes. Fisheries & Oceans; 1998:49-67.

Kirjusina M, Vismanis K. Checklist of the parasites of fishes of Latvia. FAO Fisheries Technical Paper. 2007;369/3:106 p.

Konovalov SM. Differentiation of local populations of sockeye salmon Oncorhynchus nerka (Walbaum). University of Washington, Publications in Fisheries, new series (Sagen, LV, transl). 1975;6:1-290.

Kristmundsson A, Richter SD. Parasites of resident Arctic charr, Salvelinus alpinus, and brown trout, Salmo trutta, in two lakes in Iceland. Icel Agric Sci. 2009;22:5-18.

Kulda J, Lom J. Remarks on the diplomastigine flagellates from the intestine of fishes. Parasitology. 1964;54:753-762.

Kunstyr I. Infectious form of Spironucleus (Hexamita) muris: banded cysts. Laboratory Animals. 1977;11:185-188.

Kvamme BO, Mæhle S, Berg-Rolness H, et al. Utprøving av fem ulike Spironucleus salmonicida smittemodellar for post-smolt laks i sjøvatn. Rapport fra havforskningen. 2025;2025(25)

Kyst.no. Parasitt har gitt betydelige tap i form av dødelighet og destruksjon av fisk - FHF lyser nå ut midler. Kyst.no. Tirsdag 18. oktober 2022 - 14:17

Lavier G. Sur la structure des Flagellés du genre Hexamita Duj. C R Soc Biol. 1936;121:1177-1181.

Lavier G. Sur quelques flagelles intestinaux de Poissons marins. Ann Parasitol. 1936;14(3):278-289.

Leitsch D, Williams CF, Hrdy I. Redox pathways as drug targets in microaerophilic parasites. Trends in Parasitology. 2018;34(7):576-586.

Lie K-I, Wisløff H, Alarcon M, Nylund S. Spironukleose hos atlantisk laks. Norsk Veterinærtidsskrift. 2022;134(6):400-401.

Lloyd D, Chapman A, Ellis JE, et al. Oxygen levels are key to understanding “anaerobic” protozoan pathogens with micro-aerophilic lifestyles. Advances in Microbial Physiology. 2021;79:163-240.

Lloyd D, Millet CO, Williams CF, et al. Functional imaging of a model unicell: Spironucleus vortens as an anaerobic but aerotolerant flagellated protist. Advances in Microbial Physiology. 2020;76:41-79.

Lloyd D, Williams CF. Comparative biochemistry of Giardia, Hexamita and Spironucleus: Enigmatic diplomonads. Molecular & Biochemical Parasitology. 2014;197:43–49.

Lofnes A. Spironucleus salmonicida – histopatologi og vevstropisme i ulike vertsarter. MSc thesis, BiO, UiB. 2025;

Lom J, Dyková I. Protozoan parasites of fishes. vol 26. Developments in Aquaculture and Fisheries Science. Elsevier; 1992:315.

Lom J, Dyková I. Protozoární paraziti uzitkovych ryb [Protozoan parasites of commercial fish]. Vydal. Cesky rybarsky svaz ve Statnim zemedelskem nakladatelstvi [Czech Fishermen's Association in the State Agricultural Publishing House]; 1989:102.

Love MS, Moser M. A checklist of parasites of California, Oregon, and Washington marine and estuarine fishes. NOAA Technical Report NMFS SSRF. 1983;777:1-576.

Mankhakhet Sea. Diplomonad flagellates of some ornamental fish cultured in Thailand. Songklanakarin J Sci Technol. 2012;34(5):487-494.

Markeng D. Spironukleose i Finnmark. Aquavisa. 2001;1(3):2-3.

Miller KMea, Gardner IA, Vanderstichel R, et al. Report on the performance evaluation of the Fluidigm BioMark platform for high-throughput microbe monitoring in salmon. Canadian Science Advisory Secretariat (CSAS), Research Document 2016/038, Pacific Region. 2016;2016(038)

Millet C. Growth, metabolism, ultrastructure and chemotherapy of Spironucleus vortens. PhD Thesis, Cardiff University. 2009;

Millet COM, Lloyd D, Coogan MP, Rumsey J, Cable J. Carbohydrate and amino acid metabolism of Spironucleus vortens. Experimental Parasitology. 2011;(129):17–26.

Millet COM, Williams CF, Hayes AJ, Hann AC, Cable J, Lloyd D. Mitochondria-derived organelles in the diplomonad fish parasite Spironucleus vortens. Experimental Parasitology. 2013;135:262–273.

Mizuno K, Urawa S, Katsumata Y, Morishita T, Minowa Y, Ban M. Quantitative analysis of diplomonad flagellate Spironucleus salmonis infection in intestines of hatchery and wild salmonid fishes in Hokkaido. Fish Pathology. 2020;55(3):61-70. doi:doi.org/10.3147/jsfp.55.61

Mizuno S, Urawa S, Katsumata Y, Morishita T, Ban M. Ultrastructural and molecular phylogenetic identification of the diplomonad flagellate Spironucleus salmonis infecting hatchery-reared salmonid fishes in Hokkaido. Fish Pathol. 2020;55(1):8-17.

Mo TA, Poppe TT. Hexamitose i nordnorske oppdrettsanlegg: en tilfeldighet eller et nytt alvorlig problem. Norsk Fiskeoppdrett. 1992;(11A):48-50.

Mo TA, Poppe TT, Appleby C. Kohabiteringsforsøk med fire ulike arter laksefisk og en encellet parasitt i slekten Hexamita. Norsk Veterinærtidsskrift. 1993;105(3):349-353.

Mo TA, Poppe TT, Iversen L. Systemic hexamitosis in salt-water reared Atlantic salmon (Salmo salar L.). Bull Eur Ass Fish Pathol. 1990;10(3):69-70.

Mo TA [Moe TA, lapsus), Poppe T, Håstein T. Encellede parasitter (Protozoa). In: Poppe TT, ed. Fiskehelse Sykdommer, behandling, forebygging. John Griegs Forlag; 1990:228-239.

Molnár K. Data on the “octomitosis” (spironucleosis) of cyprinids and aquary fishes. Acta Vet Acad Sci Hungaricae. 1974;24:99-106.

Moore E. Octomitus salmonis, a new species of intestinal parasite in trout. Trans Am Fish Soc. 1922;52:74-97.

Moore E. The life-history of Octomitus salmonis, an intestinal flagellate of trout. Anat Rec. 1923;26:358-359.

Moroff T. Beitrag zur Kenntnis einiger Flagellaten. Arch Protistenkd. 1904;3:69-106.

Morrison CM. Histology of the Atlantic Cod, Gadus morhua: An Atlas. Part one. Digestive tract and associated organs. Can Spec Publ Fish Aquat Sci 1987;98:219 p.

NVI. Fiskehelserapporten 2022. Veterinærinstituttet rapportserie. 2023;2023(5a)

NVI. Fiskehelserapporten 2023. Veterinærinstituttet rapportserie. 2024;2024(8a)

Ogut H, Parlak R. Hexamitiasis leads to lower metabolic rates in rainbow trout Oncorhynchus mykiss (Walbaum) juveniles. J Fish Dis. 2014;37:1013-1020.

Paull GC, Matthews RA. Spironucleus vortens, a possible cause of hole-in-the-head disease in cichlids. Diseases of Aquatic Organisms. 2001;45:197-202.

Pazooki J, Masoumian M. Synopsis of the parasites in Iranian freshwater fishes. Iranian Journal of Fisheries Sciences. 2012;11(3):570-591.

Petrushevskii GK, Pozdnyakova (Vikhrova) MN, Shul'man SS. The parasites of fish from Braslav Lakes in Belorussia. In: Petrushevskii GK, ed. Parasites and diseases of fish. Otdel Rybnoi Promyshlennosti Gosplana RSFSR; 1957:336-338. vol. Bulletin of the All/Union Scientific Research Institute of Lake and River Fisheries.

Poppe TT, Mo TA, Iversen L. Disseminated hexamitosis in sea-caged Atlantic salmon Salmo salar. Dis Aquat Org. 1992;14:91-97.

Poppe TT, Mo TA, Torgersen Y. Effekt av ulike behandlingsmidler på en encellet parasitt i slekten Hexamita isolert fra oppdrettslaks. Norsk Veterinærtidsskrift. 1993;105:835-838.

Poppe TT, Mo TA. Hexamita - parasitten gir sykdom hos oppdrettslaks i sjø. Norsk Fiskeoppdrett. 1992;1992(4):26-28.

Poppe TT, Mo TA. Systemic, granulomatous hexamitosis of farmed Atlantic salmon: Interaction with wild fish. Fisheries Research. 1993;17:147-152.

Poynton SL. Distribution of the flagellate Hexamita salmonis Moore, 1922 and the microsporidian Loma salmonae Putz, Hoffman and Dunbar, 1965 in brown trout, Salmo trutta L., and rainbow trout, Salmo gairdneri Richardson, in the River Itchen (U.K.) and three of its fish farms. J Fish Biol. 1986;29:417-429.

Poynton SL, Fard MRS, Jenkins J, Ferguson HW. Ultrastructure of Spironucleus salmonis n. comb. (formerly Octomitus salmonis sensu Moore 1922, Davis 1926, and Hexamita salmonis sensu Ferguson 1979), with a guide to Spironucleus species. Diseases of Aquatic Organisms. 2004;60:49-64.

Poynton SL, Fraser W, Francis-Floyd R, Rutledge P, Reed P, Nerad TA. Spironucleus vortens n. sp. from the freshwater angelfish Pterophyllum scalare: morphology and culture. J Euk Microbiol. 1995;42(6):731-742.

Poynton SL, Morrison CM. Morphology of diplomonad flagellates: Spironucleus torosa n. sp. from Atlantic cod Gadus morhua L., and haddock Melanogrammus aeglefinus (L.) and Hexamita salmonis Moore from brook trout Salvelinus fontinalis (Mitchill). J Protozool. 1990;37(5):369-383.

Poynton SL, Sterud E. Guidelines for species descriptions of diplomonad flagellates from fish. Journal of Fish Diseases. 2002;25:15-31.

Roxström-Lindquist K, Jerlström-Hultqvist J, Jørgensen A, Troell K, Svärd SG, Andersson JO. Large genomic differences between the morphologically indistinguishable diplomonads Spironucleus barkhanus and Spironucleus salmonicida. BMC Genomics. 2010;11(258)

Schmidt W. Untersuchungen über Octomitus intestinalis truttae. Arch Protistenkunde. 1920;40:253-289.

Seligo A. Untersuchungen über Flagellaten. Beiträge zur Biologie der Pflanzen. 1887;4(2):145-180.

Shulman BS, Ieshko EP. Parasite fauna of Arctic charr (Salvelinus alpinus) and greyling (Thymallus thymallus) in some lakes from northern Finland. Lososevidnye Ryby Vostochnoi Fennoskandii, Petrozavodsk. 2005:195-197.

Skenderovic I, Adrovic A, Jazic A, Zuko A, Hadzimustafic E. Review of freshwater fish parasitofauna of Bosnia and Herzegovina. Biologia. 2020;doi:https://doi.org/10.2478/s11756-020-00565-0

Sommerhaug E. Kultivering av mikroparasitten Hexamita sp. in vitro og in vivo i atlantisk laks (Salmo salar), og påvisning av antistoffaktivitet mot parasitten i atlantisk laks. cand. scient. Tromsø; 1995.

Stairs CW et al. Oxygen induces the expression of invasion and stress response genes in the anaerobic salmon parasite Spironucleus salmonicida. BMC Biology. 2019;17:19

Sterud E, Poppe T, Bornø G. Intracellular infection with Spironucleus barkhanus (Diplomonadida : Hexamitidae) in farmed Arctic char Salvelinus alpinus. Diseases of Aquatic Organisms. 2003;56:155-161.

Sterud E, Poppe T, Bornø G. Systemisk infeksjon med Spironucleus barkhanus hos sjørøye i oppdrett. Norges Forskningsråd; 2002:46.

Sterud E, Poppe TT, Bornø G. Systemic and intracellular infection with Spironucleus barkhanus in farmed Arctic char, Salvelinus alpinus. 6 ISAFP Bloemfontein, South Africa (Sixth International Symposium on fish Parasites, University of the Free State, Bloemfontein, South Africa). 2003:31.

Sterud E, Poppe TT, Larsen T, Iversen L. Men Spironucleus var ikke død. Norsk Fiskeoppdrett. 2002;Kyst.no 13/06/2002 (?):38-40.

Timur G, Karatas S, Akayli T, Ercan MD, Yardimci RE. A histopathological study of hexamitiasis in farmed rainbow trout (Oncorhynchus mykiss) fry in Turkey. Bulletin of the European Association of Fish Pathologists. 2009;29(3):104-108.

Tojo JL, Santamarina MT. Oral pharmacological treatments for parasitic diseases of rainbow trout Oncorhynchus mykiss. I: Hexamita salmonis. Dis Aquat Org. 1998;33:51-56.

Turovskij A. Parasitofauna of fish in the southern Gulf of Finland. Finnish Fish Res. 1985;6:106-111.

Uldal A. Life cycle observations on Hexamita salmonis from rainbow trout intestine. In vitro studies. Bull Eur Ass Fish Pathol. 1996;16(4):112-114.

Uzmann JR. The Hexamita (=Octomitus) problem: a preliminary report. Progr Fish Cult. 1963;25(3):141-143.

Uzmann JR, Hayduk SH. In vitro culture of the flagellate protozoan Hexamita salmonis. Science. 1963;140:290-292.

Uzmann JR, Paulik GJ, Hayduk SH. Experimental hexamitiasis in juvenile coho salmon (Oncorhynchus kisutch) and steelhead trout (Salmo gairdneri). T Am Fish Soc. 1965;94(1):53-61.

Vickerman K. Phylum Zoomastigina Class Diplomonadida. In: Margulis L, Corliss JO, Melkonian M, Chapman DJ, eds. Handbook of Protoctista: The Structure, Cultivation, Habitats and Life Histories of the Eukaryotic Microorganisms and their Descendants. Jones and Bartlett Publishers; 1990:200-210.

Vinnichenko LN, Zaika VE, Timofeev VA, Shtein GA, Shulman SS. Parasitic Protozoa of fishes from the Amur river basin. Parazitol Sbornik. 1971;25:10-40.

Williams CF. Life cycle, biochemistry and chemotherapy of Spironucleus vortens. Thesis, PhD, School of Biosciences, Cardiff University. 2013;

Williams CF, Lloyd D, Kolarich D, et al. Disrupted intracellular redox balance of the diplomonad fish parasite Spironucleus vortens by 5-nitroimidazoles and garlic-derived compounds. Veterinary Parasitology. 2012;190:62– 73.

Williams CF, Lloyd D, Poynton SL, Jorgensen A, Millet COM, Cable J. Spironucleus species: Economically-important fish pathogens and enigmatic single-celled eukaryotes. Journal of Aquaculture, Research & Development. 2011;2011(S2):13 p. doi:10.4172/2155-9546.S2-002

Williams CF, Vacca AR, Lloyd D, et al. The redox-active drug metronidazole and thiol-depleting garlic compounds act synergistically in the protist parasite Spironucleus vortens. Molecular & Biochemical Parasitology. 2016;206:20–28.

Williams CF, Vacca AR, Lloyd D, Schelkle B, Cable J. Non-invasive investigation of Spironucleus vortens transmission in freshwater angelfish Pterophyllum scalare. Diseases of Aquatic Organisms. Sep 3 2013;105(3):211-223. doi:Doi 10.3354/Dao02618

Williams CF, Yarlett N, Aon MA, Lloyd D. Antioxidant defences of Spironucleus vortens: Glutathione is the major non-protein thiol. Molecular & Biochemical Parasitology. 2014;196:45–52.

Wiśniewska MM, Salomaki ED, Silberman JD, et al. Expanded gene and taxon sampling of diplomonads shows multiple switches to parasitic and free-living lifestyle. BMC Biology. 2024;22:217doi:10.1186/s12915-024-02013-w

Woo PTK, Poynton SL. Diplomonadida, Kinetoplastida and Amoebida (Phylum Sarcomastigophora). In: Woo PTK, ed. Fish Diseases and Disorders Vol I Protozoan and metazoan infections. CAB International; 1995:27-96.

Wood AM, Smith HV. Spironucleosis (Hexamitiasis, Hexamitosis) in the ring-necked pheasant (Phasianus colchicus): Detection of cysts and description of Spironucleus meleagridis in stained smears. Avian Diseases. 2005;49(1):138-143.

Wood JW. Diseases of Pacific salmon; Their prevention and treatment. 3 ed. State of Washington, Department of Fisheries, Hatchery Division; 1979:82.

Xu F, Jerlström-Hultqvist J, Einarsson E, Astvaldsson A, Svärd SG, Andersson JO. The genome of Spironucleus salmonicida highlights a fish pathogen adapted to fluctuating environments. PLoS Genet. 2014;10(2):e1004053. doi:doi:10.1371/journal.pgen.1004053

Xu F, Jiménez-González A, Kurt Z, Ástvaldsson Á, Andersson JO, Svärd SG. A chromosome-scale reference genome for Spironucleus salmonicida. Scientific Data. 2022;9:585doi:10.1038/s41597-022-01703-w

Zaika VE. The parasitofauna of fish in Lake Baikal. Izdatel’stvo "Nauka"; 1965:106.

1